Skip to main content

Protein Kinase A regulatory subunit I alpha Antibody (OTI6C7)

Novus Biologicals, part of Bio-Techne | Catalog # NBP1-47935

Novus Biologicals, part of Bio-Techne
Catalog #
Availability
Size / Price
Qty
Loading...
NBP1-47935

Key Product Details

Species Reactivity

Validated:

Human, Mouse, Rat

Cited:

Human

Applications

Validated:

Immunohistochemistry, Immunohistochemistry-Paraffin, Western Blot, Immunocytochemistry/ Immunofluorescence

Cited:

Western Blot

Label

Unconjugated

Antibody Source

Monoclonal Mouse IgG1 Clone # OTI6C7

Concentration

1 mg/ml

Product Specifications

Immunogen

Full-length protein expressed in 293T cell transfected with human PRKAR1A expression vector

Reactivity Notes

Please note that this antibody is reactive to Mouse and derived from the same host, Mouse. Mouse-On-Mouse blocking reagent may be needed for IHC and ICC experiments to reduce high background signal. You can find these reagents under catalog numbers PK-2200-NB and MP-2400-NB. Please contact Technical Support if you have any questions.

Specificity

This antibody is specific for Homo sapiens protein kinase, cAMP-dependent, regulatory, type I, alpha (tissue specific extinguisher 1) (PRKAR1A), transcript variant 3.

Clonality

Monoclonal

Host

Mouse

Isotype

IgG1

Theoretical MW

43 kDa.
Disclaimer note: The observed molecular weight of the protein may vary from the listed predicted molecular weight due to post translational modifications, post translation cleavages, relative charges, and other experimental factors.

Description

Novus Biologicals Mouse Protein Kinase A regulatory subunit I alpha Antibody (OTI6C7) (NBP1-47935) is a monoclonal antibody validated for use in IHC, WB and ICC/IF. Anti-Protein Kinase A regulatory subunit I alpha Antibody: Cited in 1 publication. All Novus Biologicals antibodies are covered by our 100% guarantee.

Scientific Data Images for Protein Kinase A regulatory subunit I alpha Antibody (OTI6C7)

Western Blot: Protein Kinase A regulatory subunit I alpha Antibody (6C7) [NBP1-47935] Analysis of extracts (35ug) from 9 different cell lines by using anti-Protein Kinase A regulatory subunit I alpha monoclonal antibody.
Immunocytochemistry/ Immunofluorescence: Protein Kinase A regulatory subunit I alpha Antibody (OTI6C7) [NBP1-47935]

Immunocytochemistry/ Immunofluorescence: Protein Kinase A regulatory subunit I alpha Antibody (OTI6C7) [NBP1-47935]

Immunocytochemistry/Immunofluorescence: Protein Kinase A regulatory subunit I alpha Antibody (OTI6C7) [NBP1-47935] - Staining of COS7 cells transiently transfected by pCMV6-ENTRY Protein Kinase A regulatory subunit I alpha.
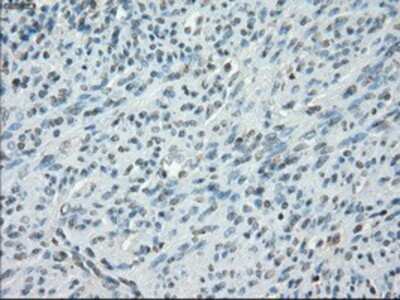
Immunohistochemistry-Paraffin: Protein Kinase A regulatory subunit I alpha Antibody (OTI6C7) [NBP1-47935]

Immunohistochemistry-Paraffin: Protein Kinase A regulatory subunit I alpha Antibody (OTI6C7) [NBP1-47935]

Immunohistochemistry-Paraffin: Protein Kinase A regulatory subunit I alpha Antibody (OTI6C7) [NBP1-47935] - Staining of paraffin-embedded carcinoma of bladder tissue (Heat-induced epitope retrieval by 10mM citric buffer, pH6.0, 100C for 10min, Dilution 1:50).

Applications for Protein Kinase A regulatory subunit I alpha Antibody (OTI6C7)

Application
Recommended Usage

Immunocytochemistry/ Immunofluorescence

1:100

Immunohistochemistry

1:50

Immunohistochemistry-Paraffin

1:50

Western Blot

1:2000

Reviewed Applications

Read 1 review rated 5 using NBP1-47935 in the following applications:

Formulation, Preparation, and Storage

Purification

Immunogen affinity purified

Formulation

PBS (pH 7.3), 1.0% BSA and 50% Glycerol

Preservative

0.02% Sodium Azide

Concentration

1 mg/ml

Shipping

The product is shipped with polar packs. Upon receipt, store it immediately at the temperature recommended below.

Stability & Storage

Store at -20C. Avoid freeze-thaw cycles.

Background: Protein Kinase A regulatory subunit I alpha

cAMP is a signaling molecule important for a variety of cellular functions. cAMP exerts its effects by activating the cAMP-dependent protein kinase, which transduces the signal through phosphorylation of different target proteins. The inactive kinase holoenzyme is a tetramer composed of two regulatory and two catalytic subunits. cAMP causes the dissociation of the inactive holoenzyme into a dimer of regulatory subunits bound to four cAMP and two free monomeric catalytic subunits. Four different regulatory subunits and three catalytic subunits have been identified in humans. This gene encodes one of the regulatory subunits. This protein was found to be a tissue-specific extinguisher that down-regulates the expression of seven liver genes in hepatoma x fibroblast hybrids. Mutations in this gene cause Carney complex (CNC). This gene can fuse to the RET protooncogene by gene rearrangement and form the thyroid tumor-specific chimeric oncogene known as PTC2. A nonconventional nuclear localization sequence (NLS) has been found for this protein which suggests a role in DNA replication via the protein serving as a nuclear transport protein for the second subunit of the Replication Factor C (RFC40). Three alternatively spliced transcript variants encoding the same protein have been observed

Long Name

cAMP-dependent protein kinase type I-alpha regulatory subunit

Alternate Names

PRKAR1, PRKAR1A, TSE1

Entrez Gene IDs

5573 (Human)

Gene Symbol

PRKAR1A

Additional Protein Kinase A regulatory subunit I alpha Products

Product Documents for Protein Kinase A regulatory subunit I alpha Antibody (OTI6C7)

Certificate of Analysis

To download a Certificate of Analysis, please enter a lot number in the search box below.

Product Specific Notices for Protein Kinase A regulatory subunit I alpha Antibody (OTI6C7)

This product is for research use only and is not approved for use in humans or in clinical diagnosis. Primary Antibodies are guaranteed for 1 year from date of receipt.

Loading...
Loading...
Loading...
Loading...