Skip to main content

Protein Disulfide Isomerase/P4HB Antibody (RL90)

Novus Biologicals, part of Bio-Techne | Catalog # NB300-517

Novus Biologicals, part of Bio-Techne
Catalog #
Availability
Size / Price
Qty
Loading...
NB300-517

Key Product Details

Validated by

Knockout/Knockdown

Species Reactivity

Validated:

Human, Mouse, Rat, Porcine, Bovine, Hamster, Monkey, Primate, Rabbit

Cited:

Human, Mouse, Rat, Primate, Primate - Macaca mulatta (Rhesus Macaque)

Applications

Validated:

Immunohistochemistry, Immunohistochemistry-Paraffin, Immunohistochemistry-Frozen, Immunomicroscopy, Western Blot, ELISA, Block/Neutralize, Flow Cytometry, Immunocytochemistry/ Immunofluorescence, Immunoprecipitation, Knockdown Validated

Cited:

Immunohistochemistry-Paraffin, Western Blot, Block/Neutralize, Flow Cytometry, Immunocytochemistry/ Immunofluorescence, IF/IHC

Label

Unconjugated

Antibody Source

Monoclonal Mouse IgG2A Clone # RL90

Concentration

1 mg/ml

Product Specifications

Immunogen

Purified rat Protein Disulfide Isomerase/P4HB protein.

Reactivity Notes

Rabbit reactivity reported in scientific literature (PMID: 16150729). Bovine (PMID: 14592831). Primate (PMID: 20667829). Monkey reactivity reported in scientific literature (PMID: 27487388). Please note that this antibody is reactive to Mouse and derived from the same host, Mouse. Additional Mouse on Mouse blocking steps may be required for IHC and ICC experiments. Please contact Technical Support for more information.

Specificity

NB300-517 detects Protein Disulfide Isomerase/P4HB from human, rat, porcine and mouse tissues as well as hamster cells.

Marker

Endoplasmic Reticulum Marker

Clonality

Monoclonal

Host

Mouse

Isotype

IgG2A

Scientific Data Images for Protein Disulfide Isomerase/P4HB Antibody (RL90)

Western Blot: Protein Disulfide Isomerase/P4HB Antibody (RL90) [NB300-517]

Western Blot: Protein Disulfide Isomerase/P4HB Antibody (RL90) [NB300-517]

Western Blot: Protein Disulfide Isomerase/P4HB Antibody (RL90) [NB300-517] - Analysis of Protein Disulfide Isomerase/P4HB was performed by loading 25 ug of HepG2 (Lane 1), Hela (Lane 2) and NIH-3T3 (Lane 3) cell lysates.
Immunocytochemistry/ Immunofluorescence: Protein Disulfide Isomerase/P4HB Antibody (RL90) [NB300-517]

Immunocytochemistry/ Immunofluorescence: Protein Disulfide Isomerase/P4HB Antibody (RL90) [NB300-517]

Immunocytochemistry/Immunofluorescence: Protein Disulfide Isomerase/P4HB Antibody (RL90) [NB300-517] - Staining of Phalloidin (purple) and PDI (green) in NIH 3T3 cells. Formalin fixed cells were permeabilized with 0.1% Triton X-100 in PBS for 10 minutes at room temperature and blocked with 2% BSA in PBS + 0.1% Triton X-100 for 30 minutes at room temperature. Cells were probed with a Protein Disulfide Isomerase/P4HB monoclonal antibody at a dilution of 1:75 for at least 1 hour at room temperature, washed with PBS, and incubated with DyLight 488 goat anti-mouse IgG secondary antibody at a dilution of 1:250 for 30 minutes at room temperature. Actin was stained with DyLight 650 Phalloidin at a dilution of 1:120 (2.5 units/ml final concentration) and nuclei (blue) were stained with Hoechst at a concentration of 1ug/ml for 30 minutes.
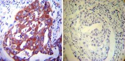
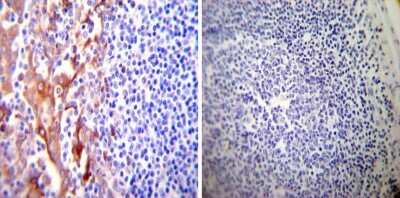
Immunohistochemistry-Paraffin: Protein Disulfide Isomerase/P4HB Antibody (RL90) [NB300-517]

Immunohistochemistry-Paraffin: Protein Disulfide Isomerase/P4HB Antibody (RL90) [NB300-517]

Immunohistochemistry-Paraffin: Protein Disulfide Isomerase/P4HB Antibody (RL90) [NB300-517] - Both normal and cancer biopsies of deparaffinized Human colon tissue tissues.

Applications for Protein Disulfide Isomerase/P4HB Antibody (RL90)

Application
Recommended Usage

ELISA

1:100 - 1:2000

Flow Cytometry

1:10 - 1:1000

Immunocytochemistry/ Immunofluorescence

1:100

Immunohistochemistry

1:10 - 1:500

Immunohistochemistry-Frozen

1:100

Immunohistochemistry-Paraffin

1:100

Immunomicroscopy

1:10 - 1:500

Immunoprecipitation

1:10 - 1:500

Western Blot

1:1000
Application Notes
IHC usage was reported in scientific literature (see Tanaka S, et al). ELISA assay reported in literature (see Kaetzel CS, et al). Flow Cytometry usage was reported in scientific literature (see Ryser HJ, et al). Blocking/Neutralization usage was reported in the literature (PMID:12791669 and PMID: 22013897)

Reviewed Applications

Read 3 reviews rated 5 using NB300-517 in the following applications:

Formulation, Preparation, and Storage

Purification

Protein A purified

Formulation

PBS with 1 mg/ml BSA

Preservative

0.05% Sodium Azide

Concentration

1 mg/ml

Shipping

The product is shipped with polar packs. Upon receipt, store it immediately at the temperature recommended below.

Stability & Storage

Store at -20C. Avoid freeze-thaw cycles.

Background: Protein Disulfide Isomerase/P4HB

P4HB, the beta subunit of prolyl 4-hydroxylase, a highly abundant member of the PDI family. P4HB is a multifunctional enzyme, involved in hydroxylation of prolyl residues in preprocollagen, as well as continual rearrangement of disulfide bonds. Other known functions include its ability to act as a chaperone that inhibits aggregation of misfolded proteins in a concentration-dependent manner, its ability to bind thyroid hormone, its role in both the influx and efflux of S-nitrosothiol-bound nitric oxide, and its function as a subunit of the microsomal triglyceride transfer protein complex.

Long Name

Proline 4-Hydroxylase, Beta Polypeptide

Alternate Names

DSI, ERBA2L, GIT, PDI, PDIA1, PO4DB, PO4HB, PROHB, Thbp

Gene Symbol

P4HB

Additional Protein Disulfide Isomerase/P4HB Products

Product Documents for Protein Disulfide Isomerase/P4HB Antibody (RL90)

Certificate of Analysis

To download a Certificate of Analysis, please enter a lot number in the search box below.

Product Specific Notices for Protein Disulfide Isomerase/P4HB Antibody (RL90)

This product is for research use only and is not approved for use in humans or in clinical diagnosis. Primary Antibodies are guaranteed for 1 year from date of receipt.

Loading...
Loading...
Loading...
Loading...
Loading...
Loading...