Skip to main content

Proteasome 20S alpha 6 Antibody (OTI4C9) - Azide and BSA Free

Novus Biologicals, part of Bio-Techne | Catalog # NBP2-73637

Novus Biologicals, part of Bio-Techne

Key Product Details

Species Reactivity

Human, Mouse, Rat, Canine, Monkey, Primate

Applications

Immunohistochemistry, Immunohistochemistry-Paraffin, Western Blot, Flow Cytometry, CyTOF-ready

Label

Unconjugated

Antibody Source

Monoclonal Mouse IgG2B Clone # OTI4C9

Format

Azide and BSA Free

Concentration

LYOPH mg/ml

Product Specifications

Immunogen

Full length human recombinant protein of human PSMA6 (NP_002782) produced in E.coli.

Reactivity Notes

Please note that this antibody is reactive to Mouse and derived from the same host, Mouse. Mouse-On-Mouse blocking reagent may be needed for IHC and ICC experiments to reduce high background signal. You can find these reagents under catalog numbers PK-2200-NB and MP-2400-NB. Please contact Technical Support if you have any questions.

Clonality

Monoclonal

Host

Mouse

Isotype

IgG2B

Theoretical MW

27.2 kDa.
Disclaimer note: The observed molecular weight of the protein may vary from the listed predicted molecular weight due to post translational modifications, post translation cleavages, relative charges, and other experimental factors.

Description

Novus Biologicals Mouse Proteasome 20S alpha 6 Antibody (OTI4C9) - Azide and BSA Free (NBP2-03836) is a monoclonal antibody validated for use in IHC, WB and Flow. All Novus Biologicals antibodies are covered by our 100% guarantee.

Scientific Data Images for Proteasome 20S alpha 6 Antibody (OTI4C9) - Azide and BSA Free

Western Blot: Proteasome 20S alpha 6 Antibody (OTI4C9)Azide and BSA Free [NBP2-73637]

Western Blot: Proteasome 20S alpha 6 Antibody (OTI4C9)Azide and BSA Free [NBP2-73637]

Western Blot: Proteasome 20S alpha 6 Antibody (OTI4C9) - Azide and BSA Free [NBP2-73637] - HEK293T cells were transfected with the pCMV6-ENTRY control (Left lane) or pCMV6-ENTRY Proteasome 20S alpha 6 (Right lane) cDNA for 48 hrs and lysed. Equivalent amounts of cell lysates (5 ug per lane) were separated by SDS-PAGE and immunoblotted with anti
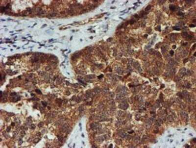
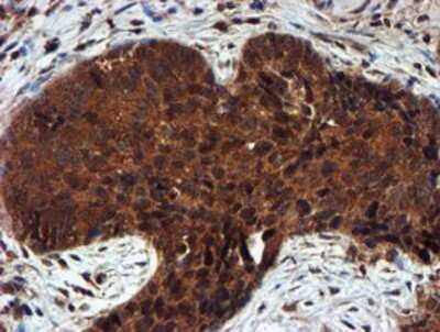
Immunohistochemistry: Proteasome 20S alpha 6 Antibody (OTI4C9) - Azide and BSA Free [NBP2-73637]

Immunohistochemistry: Proteasome 20S alpha 6 Antibody (OTI4C9) - Azide and BSA Free [NBP2-73637]

Immunohistochemistry: Proteasome 20S alpha 6 Antibody (OTI4C9) - Azide and BSA Free [NBP2-73637] - Staining of paraffin-embedded Human Kidney tissue using anti-Proteasome 20S alpha 6 mouse monoclonal antibody.
Flow Cytometry: Proteasome 20S alpha 6 Antibody (OTI4C9) - Azide and BSA Free [NBP2-73637]

Flow Cytometry: Proteasome 20S alpha 6 Antibody (OTI4C9) - Azide and BSA Free [NBP2-73637]

Flow Cytometry: Proteasome 20S alpha 6 Antibody (OTI4C9) - Azide and BSA Free [NBP2-73637] - HEK293T cells transfected with either overexpression plasmid (Red) or empty vector control plasmid (Blue) were immunostaining by anti-Proteasome 20S alpha 6 antibody, and then analyzed by flow cytometry.

Applications for Proteasome 20S alpha 6 Antibody (OTI4C9) - Azide and BSA Free

Application
Recommended Usage

Flow Cytometry

1:100

Immunohistochemistry

1:150

Western Blot

1:500-2000

Formulation, Preparation, and Storage

Purification

Immunogen affinity purified

Reconstitution

we recommend adding 100uL distilled water to a final antibody concentration of about 1 mg/mL. To use this carrier-free antibody for conjugation experiment, we strongly recommend performing another round of desalting process.

Formulation

Lyophilized from PBS (pH 7.3) with 8% Trehalose

Format

Azide and BSA Free

Preservative

No Preservative

Concentration

LYOPH mg/ml

Shipping

The product is shipped with polar packs. Upon receipt, store it immediately at the temperature recommended below.

Stability & Storage

Store at -20C. Avoid freeze-thaw cycles.

Background: Proteasome 20S alpha 6

The proteasome is a multicatalytic proteinase complex with a highly ordered ring-shaped 20S core structure. The core structure is composed of 4 rings of 28 non-identical subunits; 2 rings are composed of 7 alpha subunits and 2 rings are composed of 7 beta subunits. Proteasomes are distributed throughout eukaryotic cells at a high concentration and cleave peptides in an ATP/ubiquitin-dependent process in a non-lysosomal pathway. An essential function of a modified proteasome, the immunoproteasome, is the processing of class I MHC peptides. This gene encodes a member of the peptidase T1A family, that is a 20S core alpha subunit. A pseudogene has been identified on the Y chromosome.

Long Name

Proteasome subunit alpha type-6

Alternate Names

p27K, PROS-27, PROS27, PSMA6

Gene Symbol

PSMA6

Additional Proteasome 20S alpha 6 Products

Product Documents for Proteasome 20S alpha 6 Antibody (OTI4C9) - Azide and BSA Free

Certificate of Analysis

To download a Certificate of Analysis, please enter a lot number in the search box below.

Product Specific Notices for Proteasome 20S alpha 6 Antibody (OTI4C9) - Azide and BSA Free

This product is for research use only and is not approved for use in humans or in clinical diagnosis. Primary Antibodies are guaranteed for 1 year from date of receipt.

Loading...
Loading...
Loading...
Loading...
Loading...
Loading...