Skip to main content

Proteasome 19S 10B Antibody (OTI1G6) - Azide and BSA Free

Novus Biologicals, part of Bio-Techne | Catalog # NBP2-73627

Novus Biologicals, part of Bio-Techne

Key Product Details

Species Reactivity

Human, Mouse, Rat, Canine, Monkey, Primate

Applications

Immunohistochemistry, Immunohistochemistry-Paraffin, Western Blot, Immunocytochemistry/ Immunofluorescence

Label

Unconjugated

Antibody Source

Monoclonal Mouse IgG2A Clone # OTI1G6

Format

Azide and BSA Free

Concentration

LYOPH mg/ml

Product Specifications

Immunogen

Full length human recombinant protein of human PSMD2(NP_002799) produced in HEK293T cell.

Reactivity Notes

Please note that this antibody is reactive to Mouse and derived from the same host, Mouse. Mouse-On-Mouse blocking reagent may be needed for IHC and ICC experiments to reduce high background signal. You can find these reagents under catalog numbers PK-2200-NB and MP-2400-NB. Please contact Technical Support if you have any questions.

Clonality

Monoclonal

Host

Mouse

Isotype

IgG2A

Theoretical MW

100 kDa.
Disclaimer note: The observed molecular weight of the protein may vary from the listed predicted molecular weight due to post translational modifications, post translation cleavages, relative charges, and other experimental factors.

Description

Novus Biologicals Mouse Proteasome 19S 10B Antibody (OTI1G6) - Azide and BSA Free (NBP2-00990) is a monoclonal antibody validated for use in IHC, WB and ICC/IF. All Novus Biologicals antibodies are covered by our 100% guarantee.

Scientific Data Images for Proteasome 19S 10B Antibody (OTI1G6) - Azide and BSA Free

Western Blot: Proteasome 19S 10B Antibody (OTI1G6)Azide and BSA Free [NBP2-73627]

Western Blot: Proteasome 19S 10B Antibody (OTI1G6)Azide and BSA Free [NBP2-73627]

Western Blot: Proteasome 19S 10B Antibody (OTI1G6) - Azide and BSA Free [NBP2-73627] - HEK293T cells were transfected with the pCMV6-ENTRY control (Left lane) or pCMV6-ENTRY Proteasome 19S 10B (Right lane) cDNA for 48 hrs and lysed. Equivalent amounts of cell lysates (5 ug per lane) were separated by SDS-PAGE and immunoblotted with anti-Pro
Immunocytochemistry/ Immunofluorescence: Proteasome 19S 10B Antibody (OTI1G6) - Azide and BSA Free [NBP2-73627]

Immunocytochemistry/ Immunofluorescence: Proteasome 19S 10B Antibody (OTI1G6) - Azide and BSA Free [NBP2-73627]

Immunocytochemistry/Immunofluorescence: Proteasome 19S 10B Antibody (OTI1G6) - Azide and BSA Free [NBP2-73627] - Staining of COS7 cells transiently transfected by pCMV6-ENTRY Proteasome 19S 10B.
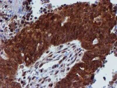
Immunohistochemistry: Proteasome 19S 10B Antibody (OTI1G6) - Azide and BSA Free [NBP2-73627]

Immunohistochemistry: Proteasome 19S 10B Antibody (OTI1G6) - Azide and BSA Free [NBP2-73627]

Immunohistochemistry: Proteasome 19S 10B Antibody (OTI1G6) - Azide and BSA Free [NBP2-73627] - Staining of paraffin-embedded Human Kidney tissue using anti-Proteasome 19S 10B mouse monoclonal antibody.

Applications for Proteasome 19S 10B Antibody (OTI1G6) - Azide and BSA Free

Application
Recommended Usage

Immunocytochemistry/ Immunofluorescence

1:100

Immunohistochemistry

1:150

Western Blot

1:500-2000

Formulation, Preparation, and Storage

Purification

Immunogen affinity purified

Reconstitution

we recommend adding 100uL distilled water to a final antibody concentration of about 1 mg/mL. To use this carrier-free antibody for conjugation experiment, we strongly recommend performing another round of desalting process.

Formulation

Lyophilized from PBS (pH 7.3) with 8% Trehalose

Format

Azide and BSA Free

Preservative

No Preservative

Concentration

LYOPH mg/ml

Shipping

The product is shipped with polar packs. Upon receipt, store it immediately at the temperature recommended below.

Stability & Storage

Store at -20C. Avoid freeze-thaw cycles.

Background: Proteasome 19S 10B

Proteolytic degradation is critical to the maintenance of appropriate levels of short-lived and regulatory proteins as important and diverse as those involved in cellular metabolism, heat shock and stress response, antigen presentation, modulation of cell surface receptors and ion channels, cell cycle regulation, transcription and signalling factors. The ubiquitin-proteasome pathway deconstructs most proteins in the eukaryotic cell cytosol and nucleus. Others are degraded via the vacuolar pathway which includes endosomes, lysosomes and the endoplasmic reticulum. The 26S proteasome is an ATP-dependent, multi-subunit (~31), barrel-shaped molecular machine with an apparent molecular weight of ~2.5 MDa. It consists of a 20S proteolytic core complex which is crowned at one or both ends by 19S regulatory subunit complexes. The 19S regulatory subunits recognize ubiquitinated proteins and play an essential role in unfolding and translocating targets into the lumen of the 20S subunit. An enzymatic cascade is responsible for the attachment of multiple ubiquitin molecules to lysine residues of proteins targeted for degradation. Several genetic diseases are associated with defects in the ubiquitin-proteasome pathway. Some examples of affected proteins include those linked to cystic fibrosis, Angelman's syndrome and Liddle syndrome.

Alternate Names

26S proteasome regulatory subunit RPN1, 26S proteasome regulatory subunit S2, MGC14274,55.11 protein, P97, proteasome (prosome, macropain) 26S subunit, non-ATPase, 2, Protein 55.11, Rpn1, S226S proteasome non-ATPase regulatory subunit 2, TNFR-associated protein 2, TRAP226S proteasome subunit p97, tumor necrosis factor receptor-associated protein 2, Tumor necrosis factor type 1 receptor-associated protein 2

Gene Symbol

PSMD2

Additional Proteasome 19S 10B Products

Product Documents for Proteasome 19S 10B Antibody (OTI1G6) - Azide and BSA Free

Certificate of Analysis

To download a Certificate of Analysis, please enter a lot number in the search box below.

Product Specific Notices for Proteasome 19S 10B Antibody (OTI1G6) - Azide and BSA Free

This product is for research use only and is not approved for use in humans or in clinical diagnosis. Primary Antibodies are guaranteed for 1 year from date of receipt.

Loading...
Loading...
Loading...
Loading...
Loading...