Skip to main content

Prostaglandin E Synthase Antibody - BSA Free

Novus Biologicals, part of Bio-Techne | Catalog # NBP1-87852

Novus Biologicals, part of Bio-Techne
Catalog #
Availability
Size / Price
Qty
Loading...
NBP1-87852
NBP1-87852-25ul

Key Product Details

Validated by

Orthogonal Validation

Species Reactivity

Validated:

Human, Mouse

Cited:

Human, Mouse

Predicted:

Rat (91%). Backed by our 100% Guarantee.

Applications

Validated:

Immunohistochemistry, Immunohistochemistry-Paraffin, Immunocytochemistry/ Immunofluorescence

Cited:

Immunohistochemistry-Paraffin, IF/IHC

Label

Unconjugated

Antibody Source

Polyclonal Rabbit IgG

Format

BSA Free

Concentration

Concentrations vary lot to lot. See vial label for concentration. If unlisted please contact technical services.

Product Specifications

Immunogen

This antibody was developed against Recombinant Protein corresponding to amino acids: ITGQVRLRKKAFANPEDALRHGGPQYCRSDPDVERCLRAPRNDM

Reactivity Notes

Mouse reactivity reported in scientific literature (PMID: 27102561).

Clonality

Polyclonal

Host

Rabbit

Isotype

IgG

Description

Novus Biologicals Rabbit Prostaglandin E Synthase Antibody - BSA Free (NBP1-87852) is a polyclonal antibody validated for use in IHC and ICC/IF. Anti-Prostaglandin E Synthase Antibody: Cited in 6 publications. All Novus Biologicals antibodies are covered by our 100% guarantee.

Scientific Data Images for Prostaglandin E Synthase Antibody - BSA Free

Immunohistochemistry-Paraffin: Prostaglandin E Synthase Antibody [NBP1-87852]

Immunohistochemistry-Paraffin: Prostaglandin E Synthase Antibody [NBP1-87852]

Immunohistochemistry-Paraffin: Prostaglandin E Synthase Antibody [NBP1-87852] - Analysis in human seminal vesicle and pancreas tissues. Corresponding Prostaglandin E Synthase RNA-seq data are presented for the same tissues.
Immunohistochemistry-Paraffin: Prostaglandin E Synthase Antibody [NBP1-87852]

Immunohistochemistry-Paraffin: Prostaglandin E Synthase Antibody [NBP1-87852]

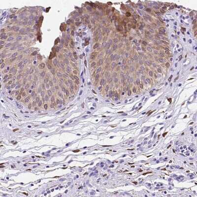
Immunohistochemistry-Paraffin: Prostaglandin E Synthase Antibody [NBP1-87852] - Staining of human urinary bladder shows moderate cytoplasmic positivity in urothelial cells.
Immunohistochemistry-Paraffin: Prostaglandin E Synthase Antibody [NBP1-87852]

Immunohistochemistry-Paraffin: Prostaglandin E Synthase Antibody [NBP1-87852]

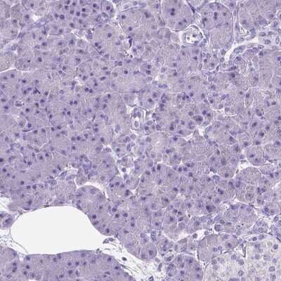
Immunohistochemistry-Paraffin: Prostaglandin E Synthase Antibody [NBP1-87852] - Staining of human pancreas shows no positivity in exocrine glandular cells as expected.

Applications for Prostaglandin E Synthase Antibody - BSA Free

Application
Recommended Usage

Immunocytochemistry/ Immunofluorescence

0.25-2 ug/ml

Immunohistochemistry

1:200 - 1:500

Immunohistochemistry-Paraffin

1:200 - 1:500
Application Notes
For IHC-Paraffin, HIER pH 6 retrieval is recommended. ICC/IF Fixation Permeabilization: Use PFA/Triton X-100.

Formulation, Preparation, and Storage

Purification

Affinity purified

Formulation

PBS (pH 7.2) and 40% Glycerol

Format

BSA Free

Preservative

0.02% Sodium Azide

Concentration

Concentrations vary lot to lot. See vial label for concentration. If unlisted please contact technical services.

Shipping

The product is shipped with polar packs. Upon receipt, store it immediately at the temperature recommended below.

Stability & Storage

Store at 4C short term. Aliquot and store at -20C long term. Avoid freeze-thaw cycles.

Background: Prostaglandin E Synthase

Prostaglandin E Synthase is encoded by this gene is a glutathione-dependent prostaglandin E synthase. The expression of this gene has been shown to be induced by proinflammatory cytokine interleukin 1 beta (IL1B). Its expression can also be induced by tumor suppressor protein TP53, and may be involved in TP53 induced apoptosis. Knockout studies in mice suggest that this gene may contribute to the pathogenesis of collagen-induced arthritis and mediate acute pain during inflammatory responses. [provided by RefSeq]

Long Name

Prostaglandin E synthase

Alternate Names

EC 5.3.99.3, MGST1-L1, MGST1L1, MPGES-1, MPGES1, PGES, PIG12, PTGES

Gene Symbol

PTGES

Additional Prostaglandin E Synthase Products

Product Documents for Prostaglandin E Synthase Antibody - BSA Free

Certificate of Analysis

To download a Certificate of Analysis, please enter a lot number in the search box below.

Product Specific Notices for Prostaglandin E Synthase Antibody - BSA Free

This product is for research use only and is not approved for use in humans or in clinical diagnosis. Primary Antibodies are guaranteed for 1 year from date of receipt.

Loading...
Loading...
Loading...
Loading...