Skip to main content

Proprotein convertase PC4 Antibody - BSA Free

Novus Biologicals, part of Bio-Techne | Catalog # NBP3-47406

Novus Biologicals, part of Bio-Techne
Catalog #
Availability
Size / Price
Qty
Loading...
NBP3-47406

Key Product Details

Species Reactivity

Human, Mouse

Applications

ELISA, Immunohistochemistry, Western Blot

Label

Unconjugated

Antibody Source

Polyclonal Rabbit IgG

Format

BSA Free

Concentration

Please see the vial label for concentration. If unlisted please contact technical services.

Product Specifications

Immunogen

proprotein convertase subtilisin/kexin type 4. (Uniprot# Q6UW60)

Clonality

Polyclonal

Host

Rabbit

Isotype

IgG

Description

Novus Biologicals Rabbit Proprotein convertase PC4 Antibody - BSA Free (NBP3-47406) is a polyclonal antibody validated for use in IHC, WB and ELISA. All Novus Biologicals antibodies are covered by our 100% guarantee.

Scientific Data Images for Proprotein convertase PC4 Antibody - BSA Free

Proprotein convertase PC4 Antibody - BSA Free

Western Blot: Proprotein convertase PC4 Antibody - BSA Free [NBP3-47406] -

Western Blot: Proprotein convertase PC4 Antibody - BSA Free [NBP3-47406] - Hela cells were subjected to SDS PAGE followed by western blot with (Proprotein convertase PC4 antibody) at dilution of 1:1000
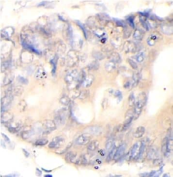
Proprotein convertase PC4 Antibody - BSA Free

Immunohistochemistry: Proprotein convertase PC4 Antibody - BSA Free [NBP3-47406] -

Immunohistochemistry: Proprotein convertase PC4 Antibody - BSA Free [NBP3-47406] - Immunohistochemistry of paraffin-embedded human colon cancer using (Proprotein convertase PC4 antibody) at dilution of 1:100

Applications for Proprotein convertase PC4 Antibody - BSA Free

Application
Recommended Usage

Immunohistochemistry

1:20-1:200

Western Blot

1:500-1:2000
Application Notes
Theoretical Molecular Weight is 26 kDa, 72 kDa

Formulation, Preparation, and Storage

Purification

Immunogen affinity purified

Formulation

PBS, 50% Glycerol, pH (7.3)

Format

BSA Free

Preservative

0.02% Sodium Azide

Concentration

Please see the vial label for concentration. If unlisted please contact technical services.

Shipping

The product is shipped with polar packs. Upon receipt, store it immediately at the temperature recommended below.

Stability & Storage

Store at -20C. Avoid freeze-thaw cycles.

Background: Proprotein Convertase 4/PCSK4

Proprotein convertase PC4 also known as Proprotein convertase subtilisin/kexin type 4, has 2 isoforms, a 775 amino acid long isoform that is 83 kDa and a short 242 amino acid isoform that is 26 kDa, has placenta tissue specificity and membrane subcellular location, plays a critical role in reproduction and processes multiple prohormones including pro-pituitary adenylate cyclase-activating protein (proPACAP) and pro-insulin-like growth factor, in transcriptional coactivation, and may be involved in stabilizing the multiprotein transcription complex. Current research is being performed on the following diseases and disorders: dna topoisomerase I, pharyngitis, thyroiditis, and lymphoma. This protein has also shown to have interactions with SOCS1 and IGF2 in biological processes such as proteolysis, binding of sperm to zona pellucida, acrosome reaction, fertilization, and sperm capacitation.

Long Name

Proprotein Convertase Subtilisin/Kexin Type 4

Alternate Names

DKFZp434B217, MGC34749, PC4, SPC5

Gene Symbol

PCSK4

Additional Proprotein Convertase 4/PCSK4 Products

Product Documents for Proprotein convertase PC4 Antibody - BSA Free

Certificate of Analysis

To download a Certificate of Analysis, please enter a lot number in the search box below.

Product Specific Notices for Proprotein convertase PC4 Antibody - BSA Free

This product is for research use only and is not approved for use in humans or in clinical diagnosis. Primary Antibodies are guaranteed for 1 year from date of receipt.

Loading...
Loading...
Loading...
Loading...