Skip to main content

Proprotein convertase PC4 Antibody - BSA Free

Novus Biologicals, part of Bio-Techne | Catalog # NBP1-88010

Novus Biologicals, part of Bio-Techne
Catalog #
Availability
Size / Price
Qty
Loading...
NBP1-88010-25ul
NBP1-88010

Key Product Details

Species Reactivity

Human

Applications

Immunohistochemistry, Immunohistochemistry-Paraffin

Label

Unconjugated

Antibody Source

Polyclonal Rabbit IgG

Format

BSA Free

Concentration

Concentrations vary lot to lot. See vial label for concentration. If unlisted please contact technical services.

Product Specifications

Immunogen

This antibody was developed against Recombinant Protein corresponding to amino acids: ENKGYYFNTGTLYRYTLLLYGTAEDMTARPTGPQVTSSACVQRDTEGLCQACDGPAYILGQLCLAYCPPRFFNHTRLVTAGPGHTAAPALRVCSSCHASCYTCRGGSPRDCTSCPPSSTLDQQQGSCMGPT

Clonality

Polyclonal

Host

Rabbit

Isotype

IgG

Description

Novus Biologicals Rabbit Proprotein convertase PC4 Antibody - BSA Free (NBP1-88010) is a polyclonal antibody validated for use in IHC. Anti-Proprotein convertase PC4 Antibody: Cited in 1 publication. All Novus Biologicals antibodies are covered by our 100% guarantee.

Scientific Data Images for Proprotein convertase PC4 Antibody - BSA Free

Proprotein convertase PC4 Antibody - BSA Free Immunohistochemistry-Paraffin: Proprotein convertase PC4 Antibody - BSA Free [NBP1-88010]

Immunohistochemistry-Paraffin: Proprotein convertase PC4 Antibody - BSA Free [NBP1-88010]

Staining of human skeletal muscle shows no positivity in myocytes as expected.
Proprotein convertase PC4 Antibody - BSA Free Immunohistochemistry-Paraffin: Proprotein convertase PC4 Antibody - BSA Free [NBP1-88010]

Immunohistochemistry-Paraffin: Proprotein convertase PC4 Antibody - BSA Free [NBP1-88010]

Staining of human fallopian tube shows moderate granular cytoplasmic positivity in glandular cells.
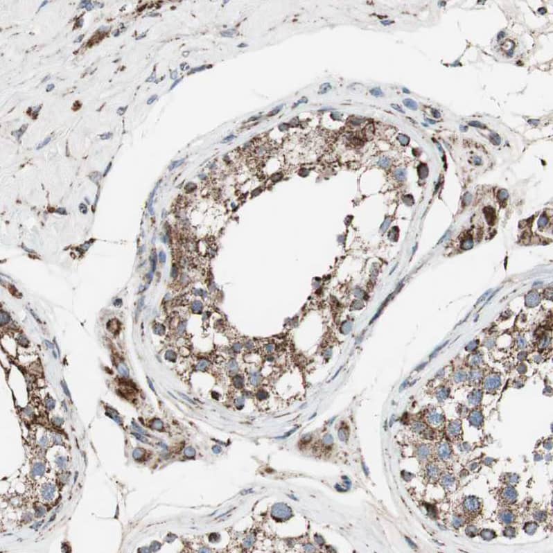
Proprotein convertase PC4 Antibody - BSA Free Immunohistochemistry-Paraffin: Proprotein convertase PC4 Antibody - BSA Free [NBP1-88010]

Immunohistochemistry-Paraffin: Proprotein convertase PC4 Antibody - BSA Free [NBP1-88010]

Staining of human testis shows moderate granular cytoplasmic positivity in cells in seminiferous ducts and Leydig cells.

Applications for Proprotein convertase PC4 Antibody - BSA Free

Application
Recommended Usage

Immunohistochemistry

1:20 - 1:50

Immunohistochemistry-Paraffin

1:20 - 1:50
Application Notes
For IHC-Paraffin, HIER pH 6 retrieval is recommended.

Formulation, Preparation, and Storage

Purification

Affinity purified

Formulation

PBS (pH 7.2) and 40% Glycerol

Format

BSA Free

Preservative

0.02% Sodium Azide

Concentration

Concentrations vary lot to lot. See vial label for concentration. If unlisted please contact technical services.

Shipping

The product is shipped with polar packs. Upon receipt, store it immediately at the temperature recommended below.

Stability & Storage

Store at 4C short term. Aliquot and store at -20C long term. Avoid freeze-thaw cycles.

Background: Proprotein Convertase 4/PCSK4

Proprotein convertase PC4 also known as Proprotein convertase subtilisin/kexin type 4, has 2 isoforms, a 775 amino acid long isoform that is 83 kDa and a short 242 amino acid isoform that is 26 kDa, has placenta tissue specificity and membrane subcellular location, plays a critical role in reproduction and processes multiple prohormones including pro-pituitary adenylate cyclase-activating protein (proPACAP) and pro-insulin-like growth factor, in transcriptional coactivation, and may be involved in stabilizing the multiprotein transcription complex. Current research is being performed on the following diseases and disorders: dna topoisomerase I, pharyngitis, thyroiditis, and lymphoma. This protein has also shown to have interactions with SOCS1 and IGF2 in biological processes such as proteolysis, binding of sperm to zona pellucida, acrosome reaction, fertilization, and sperm capacitation.

Long Name

Proprotein Convertase Subtilisin/Kexin Type 4

Alternate Names

DKFZp434B217, MGC34749, PC4, SPC5

Gene Symbol

PCSK4

Additional Proprotein Convertase 4/PCSK4 Products

Product Documents for Proprotein convertase PC4 Antibody - BSA Free

Certificate of Analysis

To download a Certificate of Analysis, please enter a lot number in the search box below.

Product Specific Notices for Proprotein convertase PC4 Antibody - BSA Free

This product is for research use only and is not approved for use in humans or in clinical diagnosis. Primary Antibodies are guaranteed for 1 year from date of receipt.

Loading...
Loading...
Loading...
Loading...