Prohibitin Antibody (PHB/1881)
Novus Biologicals, part of Bio-Techne | Catalog # NBP3-07816
Conjugate
Catalog #
Forumulation
Catalog #
Key Product Details
Species Reactivity
Human
Applications
Immunohistochemistry-Paraffin, Western Blot
Label
Unconjugated
Antibody Source
Monoclonal Mouse IgG2c Kappa Clone # PHB/1881
Concentration
0.2 mg/ml
Product Specifications
Immunogen
Recombinant human Prohibitin protein fragment (aa167-261) (exact sequence is proprietary) (Uniprot: P35232)
Localization
Cytoplasmic (Mitochondria)
Marker
Mitochondrial Marker
Clonality
Monoclonal
Host
Mouse
Isotype
IgG2c Kappa
Theoretical MW
30 kDa.
Disclaimer note: The observed molecular weight of the protein may vary from the listed predicted molecular weight due to post translational modifications, post translation cleavages, relative charges, and other experimental factors.
Disclaimer note: The observed molecular weight of the protein may vary from the listed predicted molecular weight due to post translational modifications, post translation cleavages, relative charges, and other experimental factors.
Description
200ug/ml of antibody purified from Bioreactor Concentrate by Protein A or G. Prepared in 10 mM PBS with 0.05% BSA & 0.05% azide. Also available WITHOUT BSA & azide at 1.0 mg/ml. (NBP3-08686)
Antibody with azide - store at 2 to 8C. Antibody without azide - store at -20 to -80C.
Antibody with azide - store at 2 to 8C. Antibody without azide - store at -20 to -80C.
Scientific Data Images for Prohibitin Antibody (PHB/1881)
Western Blot: Prohibitin Antibody (PHB/1881) [NBP3-07816]
Western Blot: Prohibitin Antibody (PHB/1881) [NBP3-07816] - Western Blot Analysis of human liver tissue lysate using Prohibitin Mouse Monoclonal Antibody (PHB/1881).Immunohistochemistry-Paraffin: Prohibitin Antibody (PHB/1881) [NBP3-07816]
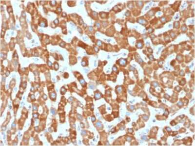
Immunohistochemistry-Paraffin: Prohibitin Antibody (PHB/1881) [NBP3-07816] - Formalin-fixed, paraffin-embedded human Liver stained with Prohibitin Mouse Monoclonal Antibody (PHB/1881).Western Blot: Prohibitin Antibody (PHB/1881) [NBP3-07816]
Western Blot: Prohibitin Antibody (PHB/1881) [NBP3-07816] - Western Blot Analysis of human Ramos, HEK293, K562, Jurkat & HepG2 cells using Prohibitin Mouse Monoclonal Antibody (PHB/1881).Applications for Prohibitin Antibody (PHB/1881)
Application
Recommended Usage
Immunohistochemistry-Paraffin
1-2 ug/ml
Western Blot
1-2 ug/ml
Application Notes
Immunohistochemistry (Formalin-fixed): 1-2ug/ml for 30 minutes at RT. Staining of formalin-fixed tissues requires heating tissue sections in 10mM Tris with 1mM EDTA, pH 9.0, for 45 min at 95C followed by cooling at RT for 20 minutes.
Optimal dilution for a specific application should be determined.
Optimal dilution for a specific application should be determined.
Formulation, Preparation, and Storage
Purification
Protein A or G purified
Formulation
10 mM PBS with 0.05% BSA
Preservative
0.05% Sodium Azide
Concentration
0.2 mg/ml
Shipping
The product is shipped with polar packs. Upon receipt, store it immediately at the temperature recommended below.
Stability & Storage
Store at 4C.
Background: Prohibitin
Additional Prohibitin Products
Product Documents for Prohibitin Antibody (PHB/1881)
Product Specific Notices for Prohibitin Antibody (PHB/1881)
This product is for research use only and is not approved for use in humans or in clinical diagnosis. Primary Antibodies are guaranteed for 1 year from date of receipt.
Loading...
Loading...
Loading...
Loading...