Skip to main content

Progesterone R/NR3C3 Antibody - BSA Free

Novus Biologicals, part of Bio-Techne | Catalog # NBP1-87774

Novus Biologicals, part of Bio-Techne
Catalog #
Availability
Size / Price
Qty
Loading...
NBP1-87774
NBP1-87774-25ul

Key Product Details

Validated by

Independent Antibodies

Species Reactivity

Human

Applications

Immunohistochemistry, Immunohistochemistry-Paraffin

Label

Unconjugated

Antibody Source

Polyclonal Rabbit IgG

Format

BSA Free

Concentration

Concentrations vary lot to lot. See vial label for concentration. If unlisted please contact technical services.

Product Specifications

Immunogen

This antibody was developed against Recombinant Protein corresponding to amino acids: RVVRALDAVALPQPVGVPNESQALSQRFTFSPGQDIQLIPPLINLLMSIEPDVIYAGHDNTKPDTSSSLLTSLNQLGERQLLSVVKWSKS

Reactivity Notes

Immunogen displays the following percentage of sequence identity for non-tested species: Mouse (88%), Rat (88%). Reactivity reported in scientific literature (PMID: 23555992)

Localization

Nucleus

Clonality

Polyclonal

Host

Rabbit

Isotype

IgG

Scientific Data Images for Progesterone R/NR3C3 Antibody - BSA Free

Immunohistochemistry-Paraffin: Progesterone R/NR3C3 Antibody [NBP1-87774]

Immunohistochemistry-Paraffin: Progesterone R/NR3C3 Antibody [NBP1-87774]

Immunohistochemistry-Paraffin: Progesterone R/NR3C3 Antibody [NBP1-87774] - Analysis in human endometrium and tonsil tissues using NBP1-87774 antibody. Corresponding PGR RNA-seq data are presented for the same tissues.
Immunohistochemistry-Paraffin: Progesterone R/NR3C3 Antibody [NBP1-87774]

Immunohistochemistry-Paraffin: Progesterone R/NR3C3 Antibody [NBP1-87774]

Immunohistochemistry-Paraffin: Progesterone R/NR3C3 Antibody [NBP1-87774] - Staining of human endometrium shows strong nuclear positivity in glandular cells.
Immunohistochemistry-Paraffin: Progesterone R/NR3C3 Antibody [NBP1-87774]

Immunohistochemistry-Paraffin: Progesterone R/NR3C3 Antibody [NBP1-87774]

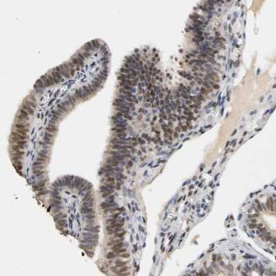
Immunohistochemistry-Paraffin: Progesterone R/NR3C3 Antibody [NBP1-87774] - Staining of human fallopian tube shows moderate nuclear positivity in glandular cells.

Applications for Progesterone R/NR3C3 Antibody - BSA Free

Application
Recommended Usage

Immunohistochemistry

1:200 - 1:500

Immunohistochemistry-Paraffin

1:200 - 1:500
Application Notes
For IHC-Paraffin, HIER pH 6 retrieval is recommended.

Formulation, Preparation, and Storage

Purification

Affinity purified

Formulation

PBS (pH 7.2) and 40% Glycerol

Format

BSA Free

Preservative

0.02% Sodium Azide

Concentration

Concentrations vary lot to lot. See vial label for concentration. If unlisted please contact technical services.

Shipping

The product is shipped with polar packs. Upon receipt, store it immediately at the temperature recommended below.

Stability & Storage

Store at 4C short term. Aliquot and store at -20C long term. Avoid freeze-thaw cycles.

Background: Progesterone R/NR3C3

The human Progesterone Receptor (PgR) is a member of the steroid family of nuclear receptors. PgR is found as a 120 kDa protein (Form B) or a 94 kDa protein (Form A) due to the use of alternative translation initiation sites. In its inactive state, PgR forms a multiprotein complex which includes heat shock proteins and immunophins. Upon binding of progesterone hormone to its receptor, there is a conformational change that allows dimerization and binding of the receptor to progesterone response elements (PRE) sequences, resulting in activated transcription.

Long Name

Progesterone Receptor

Alternate Names

NR3C3, PGR, ProgesteroneR

Entrez Gene IDs

5241 (Human)

Gene Symbol

PGR

UniProt

Additional Progesterone R/NR3C3 Products

Product Documents for Progesterone R/NR3C3 Antibody - BSA Free

Certificate of Analysis

To download a Certificate of Analysis, please enter a lot number in the search box below.

Product Specific Notices for Progesterone R/NR3C3 Antibody - BSA Free

This product is for research use only and is not approved for use in humans or in clinical diagnosis. Primary Antibodies are guaranteed for 1 year from date of receipt.

Loading...
Loading...
Loading...
Loading...
Loading...