Skip to main content

PRMT6 Antibody - Azide and BSA Free

Novus Biologicals, part of Bio-Techne | Catalog # NBP2-98848

Novus Biologicals, part of Bio-Techne

Key Product Details

Species Reactivity

Human

Applications

Immunohistochemistry, Immunohistochemistry-Paraffin, Immunocytochemistry/ Immunofluorescence

Label

Unconjugated

Antibody Source

Polyclonal Rabbit IgG

Format

Azide and BSA Free

Concentration

Please see the vial label for concentration. If unlisted please contact technical services.

Product Specifications

Immunogen

Produced in rabbits immunized with a synthetic peptide corresponding to the N-terminus of the Human PRMT6.

Clonality

Polyclonal

Host

Rabbit

Isotype

IgG

Description

This antibody can be stored at 2C to 8C for one month without detectable loss of activity. Antibody products are stable for twelve months from date of receipt when stored at -20C to -80C. Avoid repeated freeze-thaw cycles.

Scientific Data Images for PRMT6 Antibody - Azide and BSA Free

Immunohistochemistry-Paraffin: PRMT6 Antibody [NBP2-98848]

Immunohistochemistry-Paraffin: PRMT6 Antibody [NBP2-98848]

Immunohistochemistry-Paraffin: PRMT6 Antibody [NBP2-98848] - Immunochemical staining of human PRMT6 in human colon carcinoma with rabbit polyclonal antibody (1:1000, formalin-fixed paraffin embedded sections).
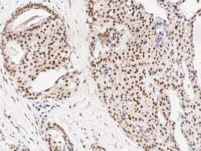
Immunohistochemistry-Paraffin: PRMT6 Antibody [NBP2-98848]

Immunohistochemistry-Paraffin: PRMT6 Antibody [NBP2-98848]

Immunohistochemistry-Paraffin: PRMT6 Antibody [NBP2-98848] - Immunochemical staining of human PRMT6 in human breast carcinoma with rabbit polyclonal antibody (1:1000, formalin-fixed paraffin embedded sections).
PRMT6 Antibody - Azide and BSA Free

Immunocytochemistry/Immunofluorescence: PRMT6 Antibody [NBP2-98848] -

Immunocytochemistry/Immunofluorescence: PRMT6 Antibody [NBP2-98848] - Immunofluorescence staining of PRMT6 in Hela cells. Cells were fixed with 4% PFA, permeabilzed with 0.3% Triton X-100 in PBS, blocked with 10% serum, and incubated with NBP2-98848 antibody (1:1000) at 4C overnight. Then cells were stained with the Alexa Fluor(R)488-conjugated Goat Anti-rabbit IgG secondary antibody (green).Positive staining was localized to nucleus.

Applications for PRMT6 Antibody - Azide and BSA Free

Application
Recommended Usage

Immunocytochemistry/ Immunofluorescence

1:300-1:10000

Immunohistochemistry-Paraffin

1:500-1:2000

Formulation, Preparation, and Storage

Purification

Antigen and protein A Affinity-purified

Formulation

0.2 um filtered solution in PBS

Format

Azide and BSA Free

Preservative

No Preservative

Concentration

Please see the vial label for concentration. If unlisted please contact technical services.

Shipping

The product is shipped with polar packs. Upon receipt, store it immediately at the temperature recommended below.

Stability & Storage

Store at 4C short term. Aliquot and store at -20C long term. Avoid freeze-thaw cycles.

Background: PRMT6

PRMT6 severely impairs the function of HIV-1 Rev. PRMT6 is a protein arginine N-methyltransferase, and catalyzes the sequential transfer of a methyl group from S-adenosyl-L-methionine to the side chain nitrogens of arginine residues within proteins to form methylated arginine derivatives and S-adenosyl-L-homocysteine. Protein arginine methylation is a prevalent post-translational modification in eukaryotic cells that has been implicated in signal transduction, the metabolism of nascent pre-RNA, and the transcriptional activation processes. In addition, PRMT6 displays automethylation activity; it is the first PRMT to do so. PRMT6 has been shown to act as a restriction factor for HIV replication.

Long Name

Protein arginine N-methyltransferase 6

Alternate Names

HRMT1L6

Gene Symbol

PRMT6

Additional PRMT6 Products

Product Documents for PRMT6 Antibody - Azide and BSA Free

Certificate of Analysis

To download a Certificate of Analysis, please enter a lot number in the search box below.

Product Specific Notices for PRMT6 Antibody - Azide and BSA Free

This product is for research use only and is not approved for use in humans or in clinical diagnosis. Primary Antibodies are guaranteed for 1 year from date of receipt.

Loading...
Loading...
Loading...
Loading...