Skip to main content

PRMT5 Antibody

Novus Biologicals, part of Bio-Techne | Catalog # NB110-40571

Novus Biologicals, part of Bio-Techne
Catalog #
Availability
Size / Price
Qty
Loading...
NB110-40571

Key Product Details

Validated by

Independent Antibodies, Biological Validation

Species Reactivity

Validated:

Human

Cited:

Human

Predicted:

Bovine (100%), Primate (100%), Xenopus (100%). Backed by our 100% Guarantee.

Applications

Validated:

Immunohistochemistry, Immunohistochemistry-Paraffin, Western Blot, Immunoprecipitation (Negative)

Cited:

Immunohistochemistry-Paraffin

Label

Unconjugated

Antibody Source

Polyclonal Rabbit IgG

Concentration

0.2 mg/ml

Product Specifications

Immunogen

The immunogen recognized by this antibody maps to a region between residue 580 and the C-terminus (residue 637) of Protein Arginine Methyltransferase 5 using the numbering given in entry NP_006100.2 (GeneID 10419).

Reactivity Notes

Orangutan (100%).

Clonality

Polyclonal

Host

Rabbit

Isotype

IgG

Theoretical MW

72 kDa.
Disclaimer note: The observed molecular weight of the protein may vary from the listed predicted molecular weight due to post translational modifications, post translation cleavages, relative charges, and other experimental factors.

Description

Novus Biologicals Rabbit PRMT5 Antibody (NB110-40571) is a polyclonal antibody validated for use in IHC and WB. Anti-PRMT5 Antibody: Cited in 1 publication. All Novus Biologicals antibodies are covered by our 100% guarantee.

Scientific Data Images for PRMT5 Antibody

Western Blot: PRMT5 Antibody [NB110-40571]

Western Blot: PRMT5 Antibody [NB110-40571]

Western Blot: PRMT5 Antibody [NB110-40571] - Detection of Human and Mouse PRMT5 on HeLa whole cell lysate using NB110-40571. PRMT5 was also immunoprecipitated by another rabbit anti-PRMT5 antibodies and NB110-40570.
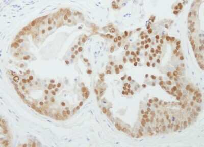
Immunohistochemistry-Paraffin: PRMT5 Antibody [NB110-40571]

Immunohistochemistry-Paraffin: PRMT5 Antibody [NB110-40571]

Immunohistochemistry-Paraffin: PRMT5 Antibody [NB110-40571] - Section of human prostate carcinoma. Antibody: Affinity purified rabbit anti- PRMT5 used at a dilution of 1:200 (1ug/ml). Detection: DAB

Applications for PRMT5 Antibody

Application
Recommended Usage

Immunohistochemistry

1:10-1:500

Immunohistochemistry-Paraffin

1:10-1:500

Western Blot

1:2000-1:10000
Application Notes
Not recommended for Immunoprecipitation, use NB110-40570. Epitope retrieval with citrate buffer pH 6.0 is recommended for FFPE tissue sections.

Formulation, Preparation, and Storage

Purification

Immunogen affinity purified

Formulation

TBS and 0.1% BSA

Preservative

0.09% Sodium Azide

Concentration

0.2 mg/ml

Shipping

The product is shipped with polar packs. Upon receipt, store it immediately at the temperature recommended below.

Stability & Storage

Store at 4C. Do not freeze.

Background: PRMT5

Arginine methylation is an irreversible post translational modification linked to protein activity. At least three types of PRMT enzymes have been identified in mammalian cells. These enzymes have been shown to have essential regulatory functions by methylation of key proteins in several fundamental areas. These proteins include nuclear proteins (Histone 2A, 3, 4), IL enhancer binding factor, nuclear factors (NF45, 90, ILF3, Nucleolin, STAT1, Poly(A) binding protein II), cell cycle proteins (phosphoprotein phosphatase 2A), signal transduction proteins (FGF2, Fibrillarin, FN, INFAR1, Jak, MBP, Src-adaptor Sam68), apoptosis proteins (FADD, ICE-like protease), and viral proteins (Hepatitis C NS3 RNA Helicase, HIV TAR). The mammalian PRMT family currently consists of 5 members that share two large domains of homology. Outside of these domains, epitopes were identified and antibodies against all five PRMT members have been developed. These antibodies can be utilized to explore arginine methylation and its regulatory functions.

Long Name

Protein arginine N-methyltransferase 5

Alternate Names

EC 2.1.1.320, HRMT1L5, IBP72, JBP1, SKB1, SKB1 homolog

Entrez Gene IDs

10419 (Human)

Gene Symbol

PRMT5

UniProt

Additional PRMT5 Products

Product Documents for PRMT5 Antibody

Certificate of Analysis

To download a Certificate of Analysis, please enter a lot number in the search box below.

Product Specific Notices for PRMT5 Antibody

This product is for research use only and is not approved for use in humans or in clinical diagnosis. Primary Antibodies are guaranteed for 1 year from date of receipt.

Loading...
Loading...
Loading...
Loading...