Skip to main content

PREB Antibody (JE64-56)

Novus Biologicals, part of Bio-Techne | Catalog # NBP3-32852

Recombinant Monoclonal Antibody
Novus Biologicals, part of Bio-Techne
Catalog #
Availability
Size / Price
Qty
Loading...
NBP3-32852

Key Product Details

Species Reactivity

Human

Applications

Immunohistochemistry, Immunohistochemistry-Paraffin, Western Blot

Label

Unconjugated

Antibody Source

Recombinant Monoclonal Rabbit IgG Clone # JE64-56 expressed in HEK293

Concentration

1 mg/ml

Product Specifications

Immunogen

Recombinant protein within human PREB aa 81-230/417. (Uniprot: Q9HCU5)

Localization

Endoplasmic reticulum membrane, Nucleus.

Clonality

Monoclonal

Host

Rabbit

Isotype

IgG

Theoretical MW

45 kDa.
Disclaimer note: The observed molecular weight of the protein may vary from the listed predicted molecular weight due to post translational modifications, post translation cleavages, relative charges, and other experimental factors.

Description

Novus Biologicals Rabbit PREB Antibody (JE64-56) (NBP3-32852) is a recombinant monoclonal antibody validated for use in IHC and WB. All Novus Biologicals antibodies are covered by our 100% guarantee.

Scientific Data Images for PREB Antibody (JE64-56)

PREB Antibody (JE64-56)

Western Blot: PREB Antibody (JE64-56) [NBP3-32852]

Western Blot: PREB Antibody (JE64-56) [NBP3-32852] - Western blot analysis of PREB on HepG2 cell lysates with Rabbit anti-PREB antibody (NBP3-32852) at 1/500 dilution.

Lysates/proteins at 10 ug/Lane.

Predicted band size: 45 kDa
Observed band size: 45 kDa

Exposure time: 2 minutes;

10% SDS-PAGE gel.

Proteins were transferred to a PVDF membrane and blocked with 5% NFDM/TBST for 1 hour at room temperature. The primary antibody (NBP3-32852) at 1/500 dilution was used in 5% NFDM/TBST at room temperature for 2 hours. Goat Anti-Rabbit IgG - HRP Secondary Antibody at 1:300,000 dilution was used for 1 hour at room temperature.
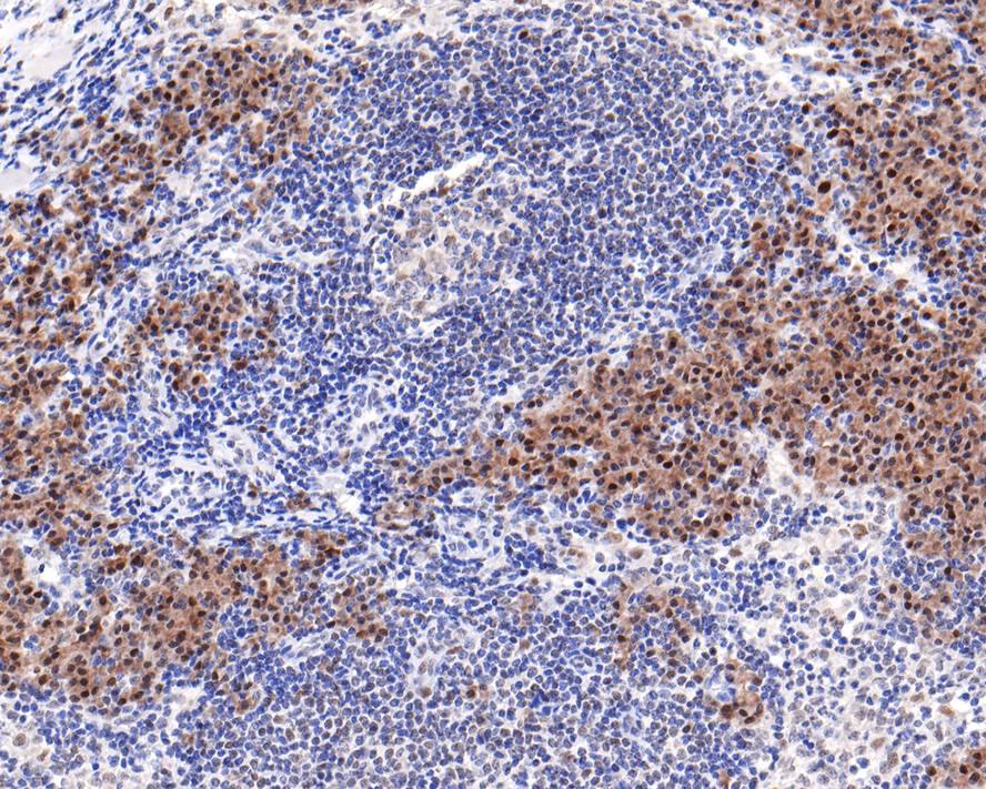
PREB Antibody (JE64-56)

Immunohistochemistry: PREB Antibody (JE64-56) [NBP3-32852]

Immunohistochemistry: PREB Antibody (JE64-56) [NBP3-32852] - Immunohistochemical analysis of paraffin-embedded human lymph nodes tissue with Rabbit anti-PREB antibody (NBP3-32852) at 1/400 dilution.

The section was pre-treated using heat mediated antigen retrieval with sodium citrate buffer (pH 6.0) for 2 minutes. The tissues were blocked in 1% BSA for 20 minutes at room temperature, washed with ddH2O and PBS, and then probed with the primary antibody (NBP3-32852) at 1/400 dilution for 1 hour at room temperature. The detection was performed using an HRP conjugated compact polymer system. DAB was used as the chromogen. Tissues were counterstained with hematoxylin and mounted with DPX.

Applications for PREB Antibody (JE64-56)

Application
Recommended Usage

Immunohistochemistry-Paraffin

1:100-1:400

Western Blot

1:500

Formulation, Preparation, and Storage

Purification

Protein A purified

Formulation

1*TBS (pH7.4), 0.05% BSA and 40% Glycerol

Preservative

0.05% Sodium Azide

Concentration

1 mg/ml

Shipping

The product is shipped with polar packs. Upon receipt, store it immediately at the temperature recommended below.

Stability & Storage

Store at 4C short term. Aliquot and store at -20C long term. Avoid freeze-thaw cycles.

Background: PREB

Prolactin (PRL) expression in the pituitary is limited to specific cells. Pit-1 is a pituitary specific transcription factor that plays an important role in PRL expression, both in mature organism and during development. The PRL promoter contains numerous Pit-1 binding sites and these sites have been implicated in both basal level and kinase-mediated gene expression. The most proximal of these binding sites, termed 1P, has been shown to direct a response to numerous signals, such as cAMP and various G-proteins. A novel protein, termed PREB (prolactin regulatory element binding protein), has been recently identified that regulates PRL gene expression through the 1P site, though it contains no discernable DNA-binding motif. Recent studies suggest that PREB is encoded by a single-copy gene in both mice and humans and exhibits nuclear accumulation in pituitary cells. Evidence suggests that PREB is a novel transcription factor that assists in PRL expression whether alone, or in concert with Pit-1.

Long Name

Prolactin Regulatory Element Binding

Alternate Names

MGC3467, SEC12

Gene Symbol

PREB

Additional PREB Products

Product Documents for PREB Antibody (JE64-56)

Certificate of Analysis

To download a Certificate of Analysis, please enter a lot number in the search box below.

Product Specific Notices for PREB Antibody (JE64-56)

This product is for research use only and is not approved for use in humans or in clinical diagnosis. Primary Antibodies are guaranteed for 1 year from date of receipt.

Loading...
Loading...
Loading...
Loading...