Skip to main content

PRDM16/MEL1 Antibody - BSA Free

Novus Biologicals, part of Bio-Techne | Catalog # NBP1-77096

Novus Biologicals, part of Bio-Techne

Key Product Details

Species Reactivity

Validated:

Human, Mouse

Cited:

Mouse

Applications

Validated:

Immunohistochemistry, Immunohistochemistry-Paraffin, Western Blot, ELISA

Cited:

Western Blot

Label

Unconjugated

Antibody Source

Polyclonal Rabbit IgG

Format

BSA Free

Concentration

1 mg/ml

Product Specifications

Immunogen

Antibody was raised against a 17 amino acid synthetic peptide from near the carboxy terminus of human PRDM16. The immunogen is located within amino acids 1120 - 1170 of PRDM16. Amino Acid Squence: AGKSQDDTVSPAPEPQA

Clonality

Polyclonal

Host

Rabbit

Isotype

IgG

Theoretical MW

140 kDa.
Disclaimer note: The observed molecular weight of the protein may vary from the listed predicted molecular weight due to post translational modifications, post translation cleavages, relative charges, and other experimental factors.

Description

Novus Biologicals Rabbit PRDM16/MEL1 Antibody - BSA Free (NBP1-77096) is a polyclonal antibody validated for use in IHC, WB, ELISA and ICC/IF. Anti-PRDM16/MEL1 Antibody: Cited in 7 publications. All Novus Biologicals antibodies are covered by our 100% guarantee.

Scientific Data Images for PRDM16/MEL1 Antibody - BSA Free

Western Blot: PRDM16/MEL1 AntibodyBSA Free [NBP1-77096]

Western Blot: PRDM16/MEL1 AntibodyBSA Free [NBP1-77096]

Western Blot: PRDM16/MEL1 Antibody [NBP1-77096] - Analysis of PRDM16 in K562 cell lysate with PRDM16 antibody at 1 ug/mL.
PRDM16/MEL1 Antibody - BSA Free

Immunocytochemistry/ Immunofluorescence: PRDM16/MEL1 Antibody - BSA Free [NBP1-77096] -

Immunocytochemistry/ Immunofluorescence: PRDM16/MEL1 Antibody - BSA Free [NBP1-77096] - Immunofluorescence of PRDM16/MEL1 in Human Brain cells with PRDM16/MEL1 antibody at 20 u/mL.
PRDM16/MEL1 Antibody - BSA Free

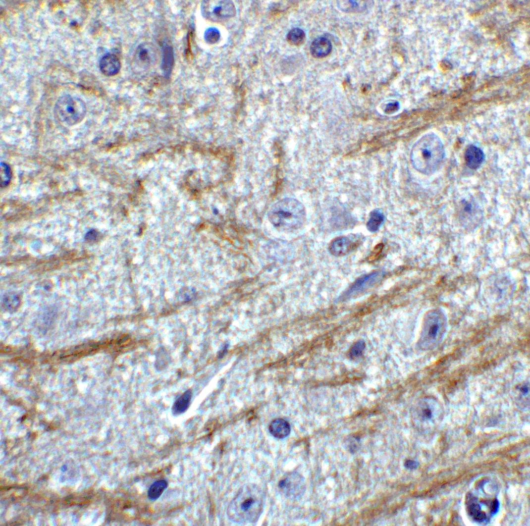
Immunohistochemistry: PRDM16/MEL1 Antibody - BSA Free [NBP1-77096] -

Immunohistochemistry: PRDM16/MEL1 Antibody - BSA Free [NBP1-77096] - Immunohistochemistry of PRDM16/MEL1 in human brain tissue with PRDM16/MEL1 antibody at 2 u/ml.

Applications for PRDM16/MEL1 Antibody - BSA Free

Application
Recommended Usage

ELISA

1:100-1:2000

Immunohistochemistry

2 ug/ml

Immunohistochemistry-Paraffin

2 ug/ml

Western Blot

1 ug/ml

Formulation, Preparation, and Storage

Purification

Peptide affinity purified

Formulation

PBS

Format

BSA Free

Preservative

0.02% Sodium Azide

Concentration

1 mg/ml

Shipping

The product is shipped with polar packs. Upon receipt, store it immediately at the temperature recommended below.

Stability & Storage

Store at 4C.

Background: PRDM16/MEL1

PRDM16 is a zinc finger transcription factor and contains an N-terminal PR domain. The reciprocal translocation t(1;3)(p36;q21) occurs in a subset of myelodysplastic syndrome (MDS) and acute myeloid leukemia (AML). This gene is located near the 1p36.3 breakpoint and has been shown to be specifically expressed in the t(1:3)(p36,q21)-positive MDS/AML. The translocation results in the overexpression of a truncated version of this protein that lacks the PR domain, which may play an important role in the pathogenesis of MDS and AML. Recent studies have shown that PRDM16 normally acts as a Smad3 binding protein that may be important for the development of orofacial structures through modulation of the TGF-beta signaling pathway. Other experiments have indicated that PRDM16 controls a bidirectional cell fate switch between skeletal myoblasts and brown fat cells.

Long Name

PR Domain Containing 16

Alternate Names

MDS1/EVI1-like gene 1, MEL1, PFM13

Entrez Gene IDs

63976 (Human)

Gene Symbol

PRDM16

UniProt

Additional PRDM16/MEL1 Products

Product Documents for PRDM16/MEL1 Antibody - BSA Free

Certificate of Analysis

To download a Certificate of Analysis, please enter a lot number in the search box below.

Product Specific Notices for PRDM16/MEL1 Antibody - BSA Free

This product is for research use only and is not approved for use in humans or in clinical diagnosis. Primary Antibodies are guaranteed for 1 year from date of receipt.

Loading...
Loading...
Loading...
Loading...