Skip to main content

PRC1 Antibody (3B10-1F9) - Azide and BSA Free

Novus Biologicals, part of Bio-Techne | Catalog # H00009055-M03

Novus Biologicals, part of Bio-Techne
Catalog #
Availability
Size / Price
Qty
Loading...
H00009055-M03

Key Product Details

Species Reactivity

Human

Applications

Western Blot, ELISA, Immunocytochemistry/ Immunofluorescence

Label

Unconjugated

Antibody Source

Monoclonal Mouse IgG1 kappa Clone # 3B10-1F9

Format

Azide and BSA Free

Concentration

Concentrations vary lot to lot. See vial label for concentration. If unlisted please contact technical services.

Product Specifications

Immunogen

PRC1 (AAH03138.1, 1 a.a. ~ 620 a.a) full-length recombinant protein with GST tag. MW of the GST tag alone is 26 KDa. MRRSEVLAEESIVCLQKALNHLREIWELIGIPEDQRLQRTEVVKKHIKELLDMMIAEEESLKERLIKSISVCQKELNTLCSELHVEPFQEEGETTILQLEKDLRTQVELMRKQKKERKQELKLLQEQDQELCEILCMPHYDIDSASVPSLEELNQFRQHVTTLRETKASRREEFVSIKRQIILCMEELDHTPDTSFERDVVCEDEDAFCLSLENIATLQKLLRQLEMQKSQNEAVCEGLRTQIRELWDRLQIPEEEREAVATIMSGSKAKVRKALQLEVDRLEELKMQNMKKVIEAIRVELVQYWDQCFYSQEQRQAFAPFCAEDYTESLLQLHDAEIVRLKNYYEVHKELFEGVQKWEETWRLFLEFERKASDPNRFTNRGGNLLKEEKQRAKLQKMLPKLEEELKARIELWEQEHSKAFMVNGQKFMEYVAEQWEMHRLEKERAKQERQLKNKKQTETEMLYGSAPRTPSKRRGLAPNTPGKARKLNTTTMSNATANSSIRPIFGGTVYHSPVSRLPPSGSKPVAASTCSGKKTPRTGRHGANKENLELNGSILSGGYPGSAPLQRNFSINSVASTYSEFAKDPSLSDSSTVGLQRELSKASKSDATSGILNSTNIQS

Specificity

PRC1 - protein regulator of cytokinesis 1 (3B10-1F9)

Clonality

Monoclonal

Host

Mouse

Isotype

IgG1 kappa

Description

Quality control test: Antibody Reactive Against Recombinant Protein.

Scientific Data Images for PRC1 Antibody (3B10-1F9) - Azide and BSA Free

Western Blot: PRC1 Antibody (3B10-1F9) [H00009055-M03]

Western Blot: PRC1 Antibody (3B10-1F9) [H00009055-M03]

Western Blot: PRC1 Antibody (3B10-1F9) [H00009055-M03] - Analysis of PRC1 expression in HepG2.
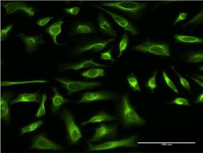
Immunocytochemistry/ Immunofluorescence: PRC1 Antibody (3B10-1F9) [H00009055-M03]

Immunocytochemistry/ Immunofluorescence: PRC1 Antibody (3B10-1F9) [H00009055-M03]

Immunocytochemistry/Immunofluorescence: PRC1 Antibody (3B10-1F9) [H00009055-M03] - Analysis of monoclonal antibody to PRC1 on HeLa cell. Antibody concentration 10 ug/ml

Applications for PRC1 Antibody (3B10-1F9) - Azide and BSA Free

Application
Recommended Usage

Western Blot

1:500
Application Notes
Antibody reactivity against Recombinant Protein with GST tag on ELISA and WB. GST tag alone is used as a negative control.

Formulation, Preparation, and Storage

Purification

IgG purified

Formulation

In 1x PBS, pH 7.4

Format

Azide and BSA Free

Preservative

No Preservative

Concentration

Concentrations vary lot to lot. See vial label for concentration. If unlisted please contact technical services.

Shipping

The product is shipped with polar packs. Upon receipt, store it immediately at the temperature recommended below.

Stability & Storage

Aliquot and store at -20C or -80C. Avoid freeze-thaw cycles.

Background: PRC1

This gene encodes a protein that is involved in cytokinesis. The encoded protein is at high level during S and G2/M and drop dramatically after cell exit mitosis and enter G1. It is located in the nucleus during interphase, and becomes associated with mitotic spindles in a highly dynamic manner during mitosis, and localizes to the cell mid-body during cytokinesis. This protein has been shown to be a substrate of several cyclin-dependent kinases (CDKs). At least three alternatively spliced transcript variants encoding distinct isoforms have been observed. [provided by RefSeq]

Alternate Names

anaphase spindle elongation 1 homolog, ASE1, MGC1671, MGC3669, protein regulating cytokinesis 1, protein regulator of cytokinesis 1

Entrez Gene IDs

9055 (Human)

Gene Symbol

PRC1

Additional PRC1 Products

Product Documents for PRC1 Antibody (3B10-1F9) - Azide and BSA Free

Certificate of Analysis

To download a Certificate of Analysis, please enter a lot number in the search box below.

Product Specific Notices for PRC1 Antibody (3B10-1F9) - Azide and BSA Free

This product is produced by and distributed for Abnova, a company based in Taiwan.

This product is for research use only and is not approved for use in humans or in clinical diagnosis. Primary Antibodies are guaranteed for 1 year from date of receipt.

Loading...
Loading...
Loading...
Loading...