Skip to main content

PPME1 Antibody - BSA Free

Novus Biologicals, part of Bio-Techne | Catalog # NBP2-19904

Novus Biologicals, part of Bio-Techne
Catalog #
Availability
Size / Price
Qty
Loading...
NBP2-19904

Key Product Details

Species Reactivity

Validated:

Human

Predicted:

Bovine (98%), Chicken (90%), Mouse (97%), Rat (96%), Rhesus Macaque (100%). Backed by our 100% Guarantee.

Applications

Immunohistochemistry, Immunohistochemistry-Paraffin, Western Blot

Label

Unconjugated

Antibody Source

Polyclonal Rabbit IgG

Format

BSA Free

Concentration

Concentrations vary lot to lot. See vial label for concentration. If unlisted please contact technical services.

Product Specifications

Immunogen

Recombinant protein encompassing a sequence within the center region of human PPME1. The exact sequence is proprietary.

Reactivity Notes

Zebrafish (83%), Xenopus laevis (83%).

Clonality

Polyclonal

Host

Rabbit

Isotype

IgG

Theoretical MW

42 kDa.
Disclaimer note: The observed molecular weight of the protein may vary from the listed predicted molecular weight due to post translational modifications, post translation cleavages, relative charges, and other experimental factors.

Description

Novus Biologicals Rabbit PPME1 Antibody - BSA Free (NBP2-19904) is a polyclonal antibody validated for use in IHC and WB. All Novus Biologicals antibodies are covered by our 100% guarantee.

Scientific Data Images for PPME1 Antibody - BSA Free

Western Blot: PPME1 Antibody [NBP2-19904]

Western Blot: PPME1 Antibody [NBP2-19904]

Western Blot: PPME1 Antibody [NBP2-19904] - Sample (30 ug of whole cell lysate) A: 293T B: A431 C: HeLa 10% SDS PAGE gel, diluted at 1:10000.
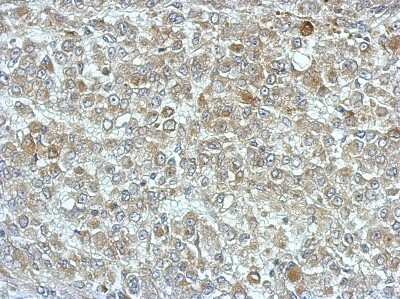
Immunohistochemistry-Paraffin: PPME1 Antibody [NBP2-19904]

Immunohistochemistry-Paraffin: PPME1 Antibody [NBP2-19904]

Immunohistochemistry-Paraffin: PPME1 Antibody [NBP2-19904] - Immunohistochemical analysis of paraffin-embedded Hela xenograft, using antibody at 1:500 dilution.

Applications for PPME1 Antibody - BSA Free

Application
Recommended Usage

Immunohistochemistry

1:100-1:1000

Immunohistochemistry-Paraffin

1:100-1:1000

Western Blot

1:5000-1:20000

Formulation, Preparation, and Storage

Purification

Antigen Affinity-purified

Formulation

PBS, 20% Glycerol

Format

BSA Free

Preservative

0.01% Thimerosal

Concentration

Concentrations vary lot to lot. See vial label for concentration. If unlisted please contact technical services.

Shipping

The product is shipped with polar packs. Upon receipt, store it immediately at the temperature recommended below.

Stability & Storage

Aliquot and store at -20C or -80C. Avoid freeze-thaw cycles.

Background: PPME1

Protein phosphatase methylesterase-1 catalyzes the demethylation of the protein phosphatase-2A catalytic subunit (PPP2CA; MIM 176915) (Ogris et al., 1999 [PubMed 10318862]).[supplied by OMIM]

Alternate Names

EC 3.1.1, EC 3.1.1.-, FLJ22226, PME-1PME1, protein phosphatase methylesterase 1, protein phosphatase methylesterase-1

Gene Symbol

PPME1

UniProt

Additional PPME1 Products

Product Documents for PPME1 Antibody - BSA Free

Certificate of Analysis

To download a Certificate of Analysis, please enter a lot number in the search box below.

Product Specific Notices for PPME1 Antibody - BSA Free

This product is for research use only and is not approved for use in humans or in clinical diagnosis. Primary Antibodies are guaranteed for 1 year from date of receipt.

Loading...
Loading...
Loading...
Loading...

⚠ WARNING: This product can expose you to chemicals including mercury, which is known to the State of California to cause reproductive toxicity with developmental effects.  For more information go to www.P65Warnings.ca.gov.