Skip to main content

PPCDC Antibody - Azide and BSA Free

Novus Biologicals, part of Bio-Techne | Catalog # NBP3-00333

Novus Biologicals, part of Bio-Techne

Key Product Details

Species Reactivity

Human

Applications

Immunohistochemistry, Immunohistochemistry-Paraffin, ELISA

Label

Unconjugated

Antibody Source

Polyclonal Rabbit IgG

Format

Azide and BSA Free

Concentration

Please see the vial label for concentration. If unlisted please contact technical services.

Product Specifications

Immunogen

Produced in rabbits immunized with purified, recombinant Human PPCDC (Accession#: AAH14409.1; Met1-Ser204)

Clonality

Polyclonal

Host

Rabbit

Isotype

IgG

Description

This antibody can be stored at 2C to 8C for one month without detectable loss of activity. Antibody products are stable for twelve months from date of receipt when stored at -20C to -80C. Avoid repeated freeze-thaw cycles.

Scientific Data Images for PPCDC Antibody - Azide and BSA Free

PPCDC Antibody - Azide and BSA Free

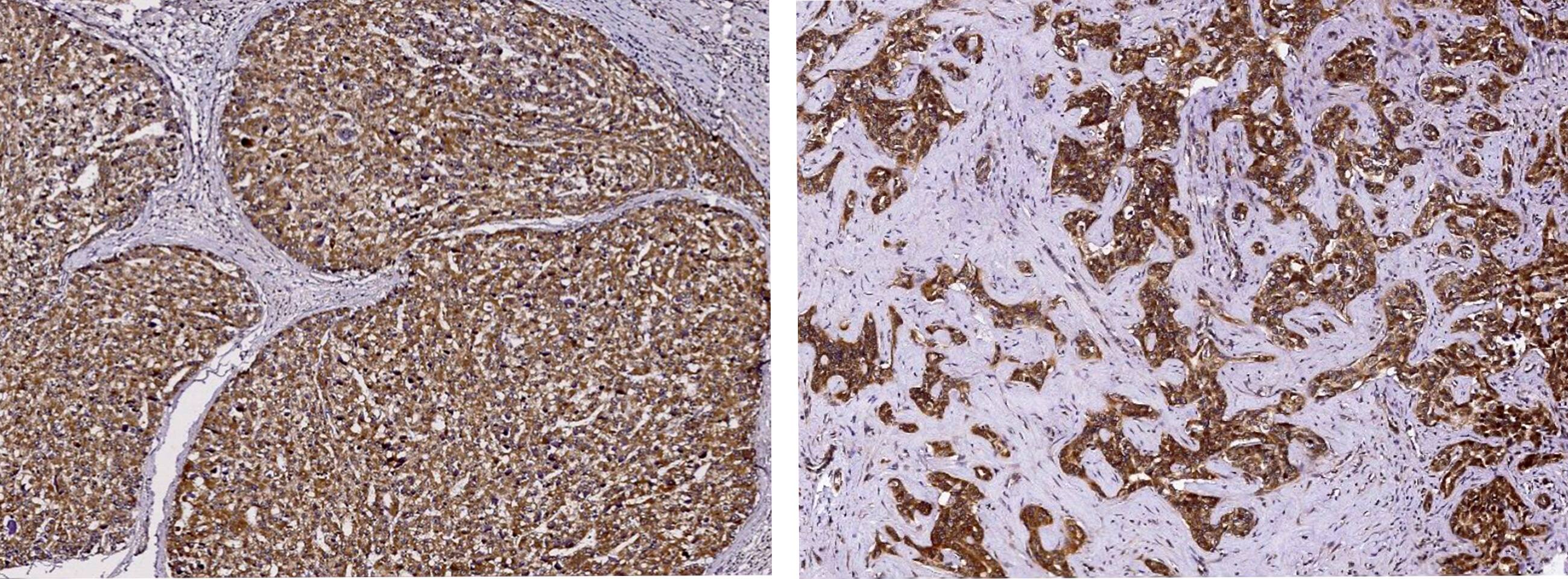
Immunohistochemistry-Paraffin: PPCDC Antibody [NBP3-00333] -

Immunohistochemistry-Paraffin: PPCDC Antibody [NBP3-00333] - Immunochemical staining of human PPCDC in human hepatoma(from 2 donors) with NBP3-00333 (1:1000, formalin-fixed paraffin embedded sections).

Applications for PPCDC Antibody - Azide and BSA Free

Application
Recommended Usage

ELISA

1:5000-1:10000

Immunohistochemistry-Paraffin

1:500-1:2000

Formulation, Preparation, and Storage

Purification

Antigen and protein A Affinity-purified

Formulation

0.2 um filtered solution in PBS

Format

Azide and BSA Free

Preservative

No Preservative

Concentration

Please see the vial label for concentration. If unlisted please contact technical services.

Shipping

The product is shipped with polar packs. Upon receipt, store it immediately at the temperature recommended below.

Stability & Storage

Store at 4C short term. Aliquot and store at -20C long term. Avoid freeze-thaw cycles.

Background: PPCDC

Biosynthesis of coenzyme A (CoA) from pantothenic acid (vitamin B5) is an essential universal pathway in prokaryotes and eukaryotes. PPCDC (EC 4.1.1.36), one of the last enzymes in this pathway, converts phosphopantothenoylcysteine to 4-prime-phosphopantetheine (Daugherty et al., 2002 [PubMed 11923312]).[supplied by OMIM]

Alternate Names

CoaC, EC 4.1.1.36, FLJ14585, MDS018, phosphopantothenoylcysteine decarboxylase, PPC-DC

Gene Symbol

PPCDC

Additional PPCDC Products

Product Documents for PPCDC Antibody - Azide and BSA Free

Certificate of Analysis

To download a Certificate of Analysis, please enter a lot number in the search box below.

Product Specific Notices for PPCDC Antibody - Azide and BSA Free

This product is for research use only and is not approved for use in humans or in clinical diagnosis. Primary Antibodies are guaranteed for 1 year from date of receipt.

Loading...
Loading...
Loading...
Loading...