Skip to main content

PPA2 Antibody (OTI7C1)

Novus Biologicals, part of Bio-Techne | Catalog # NBP2-45377

Novus Biologicals, part of Bio-Techne
Catalog #
Availability
Size / Price
Qty
Loading...
NBP2-45377

Key Product Details

Species Reactivity

Human

Applications

Immunohistochemistry, Immunohistochemistry-Paraffin, Western Blot

Label

Unconjugated

Antibody Source

Monoclonal Mouse IgG1 Clone # OTI7C1

Concentration

1 mg/ml

Product Specifications

Immunogen

Full length human recombinant protein of human PPA2(NP_008834) produced in E.coli.

Clonality

Monoclonal

Host

Mouse

Isotype

IgG1

Theoretical MW

31.5 kDa.
Disclaimer note: The observed molecular weight of the protein may vary from the listed predicted molecular weight due to post translational modifications, post translation cleavages, relative charges, and other experimental factors.

Description

Novus Biologicals Mouse PPA2 Antibody (OTI7C1) (NBP2-45377) is a monoclonal antibody validated for use in IHC and WB. All Novus Biologicals antibodies are covered by our 100% guarantee.

Scientific Data Images for PPA2 Antibody (OTI7C1)

Western Blot: PPA2 Antibody (OTI7C1) [NBP2-45377]

Western Blot: PPA2 Antibody (OTI7C1) [NBP2-45377]

Western Blot: PPA2 Antibody (7C1) [NBP2-45377] - Analysis of HEK293T cells were transfected with the pCMV6-ENTRY control (Left lane) or pCMV6-ENTRY PPA2.
Immunohistochemistry: PPA2 Antibody (OTI7C1) [NBP2-45377]

Immunohistochemistry: PPA2 Antibody (OTI7C1) [NBP2-45377]

Immunohistochemistry: PPA2 Antibody (7C1) [NBP2-45377] - Analysis of Human lymph node tissue. (Heat-induced epitope retrieval by 1mM EDTA in 10mM Tris buffer (pH8.5) at 120C for 3 min)
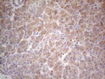
Immunohistochemistry: PPA2 Antibody (OTI7C1) [NBP2-45377]

Immunohistochemistry: PPA2 Antibody (OTI7C1) [NBP2-45377]

Immunohistochemistry: PPA2 Antibody (7C1) [NBP2-45377] - Analysis of Human liver tissue. (Heat-induced epitope retrieval by 1mM EDTA in 10mM Tris buffer (pH8.5) at 120C for 3 min)

Applications for PPA2 Antibody (OTI7C1)

Application
Recommended Usage

Immunohistochemistry

1:150

Western Blot

1:2000

Formulation, Preparation, and Storage

Purification

Immunogen affinity purified

Formulation

PBS (pH 7.3), 1.0% BSA and 50% Glycerol

Preservative

0.02% Sodium Azide

Concentration

1 mg/ml

Shipping

The product is shipped with polar packs. Upon receipt, store it immediately at the temperature recommended below.

Stability & Storage

Store at -20C. Avoid freeze-thaw cycles.

Background: PPA2

PPA2 is encoded by this gene is localized to the mitochondrion, is highly similar to members of the inorganic pyrophosphatase (PPase) family, and contains the signature sequence essential for the catalytic activity of PPase. PPases catalyze the hydrolysis of pyrophosphate to inorganic phosphate, which is important for the phosphate metabolism of cells. Alternate transcriptional splice variants, encoding different isoforms, have been characterized. [provided by RefSeq]

Alternate Names

EC 3.6.1.1, FLJ20459, MGC49850, mitochondrial, pyrophosphatase (inorganic) 2

Gene Symbol

PPA2

Additional PPA2 Products

Product Documents for PPA2 Antibody (OTI7C1)

Certificate of Analysis

To download a Certificate of Analysis, please enter a lot number in the search box below.

Product Specific Notices for PPA2 Antibody (OTI7C1)

This product is for research use only and is not approved for use in humans or in clinical diagnosis. Primary Antibodies are guaranteed for 1 year from date of receipt.

Loading...
Loading...
Loading...
Loading...