PP2C gamma/PPM1G Antibody - BSA Free
Novus Biologicals, part of Bio-Techne | Catalog # NBP1-87245
Key Product Details
Validated by
Orthogonal Validation, Independent Antibodies
Species Reactivity
Human, Mouse, Rat
Applications
Immunohistochemistry, Immunohistochemistry-Paraffin, Western Blot, Immunocytochemistry/ Immunofluorescence
Label
Unconjugated
Antibody Source
Polyclonal Rabbit IgG
Format
BSA Free
Concentration
Concentrations vary lot to lot. See vial label for concentration. If unlisted please contact technical services.
Product Specifications
Immunogen
This antibody was developed against Recombinant Protein corresponding to amino acids: LYCAKYLPDIIKDQKAYKEGKLQKALEDAFLAIDAKLTTEEVIKELAQIAGRPTEDEDEKEKVADEDDVD
Clonality
Polyclonal
Host
Rabbit
Isotype
IgG
Scientific Data Images for PP2C gamma/PPM1G Antibody - BSA Free
Immunocytochemistry/ Immunofluorescence: PP2C gamma/PPM1G Antibody [NBP1-87245]
Immunocytochemistry/Immunofluorescence: PP2C gamma/PPM1G Antibody [NBP1-87245] - Staining of human cell line U-2 OS shows localization to nucleoplasm.Immunohistochemistry-Paraffin: PP2C gamma/PPM1G Antibody [NBP1-87245]
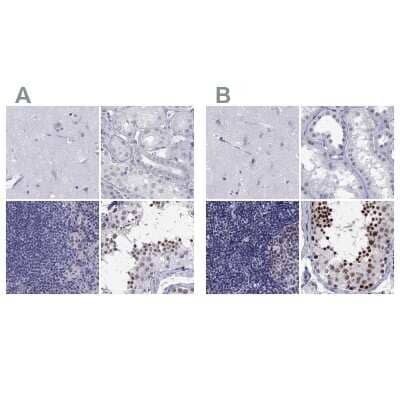
Immunohistochemistry-Paraffin: PP2C gamma/PPM1G Antibody [NBP1-87245] - Staining of human lymph node.Applications for PP2C gamma/PPM1G Antibody - BSA Free
Application
Recommended Usage
Immunocytochemistry/ Immunofluorescence
0.25-2 ug/ml
Immunohistochemistry
1:1000 - 1:2500
Immunohistochemistry-Paraffin
1:200-1:500
Western Blot
0.04-0.4 ug/ml
Application Notes
For IHC-Paraffin, HIER pH 6 retrieval is recommended. Immunocytochemistry/Immunofluorescence Fixation Permeabilization: Use PFA/Triton X-100.
Formulation, Preparation, and Storage
Purification
Affinity purified
Formulation
PBS (pH 7.2) and 40% Glycerol
Format
BSA Free
Preservative
0.02% Sodium Azide
Concentration
Concentrations vary lot to lot. See vial label for concentration. If unlisted please contact technical services.
Shipping
The product is shipped with polar packs. Upon receipt, store it immediately at the temperature recommended below.
Stability & Storage
Store at 4C short term. Aliquot and store at -20C long term. Avoid freeze-thaw cycles.
Background: PP2C gamma
Long Name
Protein Phosphatase 2C gamma
Alternate Names
PP2CG, PPM1C, PPM1G, PPP2CG
Gene Symbol
PPM1G
Additional PP2C gamma Products
Product Documents for PP2C gamma/PPM1G Antibody - BSA Free
Product Specific Notices for PP2C gamma/PPM1G Antibody - BSA Free
This product is for research use only and is not approved for use in humans or in clinical diagnosis. Primary Antibodies are guaranteed for 1 year from date of receipt.
Loading...
Loading...
Loading...
Loading...