Skip to main content

PP2C gamma/PPM1G Antibody

Novus Biologicals, part of Bio-Techne | Catalog # NB110-38867

Novus Biologicals, part of Bio-Techne
Catalog #
Availability
Size / Price
Qty
Loading...
NB110-38867

Key Product Details

Validated by

Independent Antibodies, Biological Validation

Species Reactivity

Human, Mouse

Applications

Immunohistochemistry, Immunohistochemistry-Paraffin, Western Blot, Immunoprecipitation

Label

Unconjugated

Antibody Source

Polyclonal Rabbit IgG

Concentration

0.2 mg/ml

Product Specifications

Immunogen

The immunogen recognized by this antibody maps to a region between residue 400 and 450 of human Protein Phosphatase Magnesium-dependent 1 Gamma using the numbering given in entry NP_817092.1 (GeneID 5496).

Clonality

Polyclonal

Host

Rabbit

Isotype

IgG

Scientific Data Images for PP2C gamma/PPM1G Antibody

Western Blot: PP2C gamma/PPM1G Antibody [NB110-38867]

Western Blot: PP2C gamma/PPM1G Antibody [NB110-38867]

Western Blot: PP2C gamma/PPM1G Antibody [NB110-38867] - Detection of Human PPM1G on HeLa whole cell lysate (5, 15, and 50 microgram) and 293T (50 microgram) using NB110-38867. PPM1G was also immunoprecipitated by rabbit anti-PPM1G antibody NB110-38869.
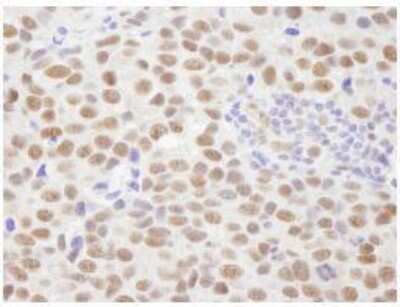
Immunohistochemistry: PP2C gamma/PPM1G Antibody [NB110-38867]

Immunohistochemistry: PP2C gamma/PPM1G Antibody [NB110-38867]

Immunohistochemistry: PP2C gamma/PPM1G Antibody [NB110-38867] - Sample: FFPE sections of human skin basal cell carcinoma (left) and mouse squamous cell carcinoma (right). Antibody: Affinity purified rabbit anti- PPM1G used at a dilution of 1:1,000 (0.2ug/ml) and 1:200 (1ug/ml). Detection: DAB
Immunohistochemistry-Paraffin: PP2C gamma/PPM1G Antibody [NB110-38867]

Immunohistochemistry-Paraffin: PP2C gamma/PPM1G Antibody [NB110-38867]

Immunohistochemistry-Paraffin: PP2C gamma/PPM1G Antibody [NB110-38867] - FFPE section of human breast adenocarcinoma. Affinity purified rabbit anti-PPM1G used at a dilution of 1:500.

Applications for PP2C gamma/PPM1G Antibody

Application
Recommended Usage

Immunohistochemistry

1:200-1:1000

Immunohistochemistry-Paraffin

1:100-1:500

Immunoprecipitation

2-5 ug/mg lysate

Western Blot

1:2000-1:10000
Application Notes
This antibody can be used for immunoprecipitation and Western blot analysis. Prepare working dilution immediately before use.

Formulation, Preparation, and Storage

Purification

Immunogen affinity purified

Formulation

TBS and 0.1% BSA

Preservative

0.09% Sodium Azide

Concentration

0.2 mg/ml

Shipping

The product is shipped with polar packs. Upon receipt, store it immediately at the temperature recommended below.

Stability & Storage

Store at 4C. Do not freeze.

Background: PP2C gamma

The protein encoded by this gene is a member of the PP2C family of Ser/Thr protein phosphatases. PP2C family members are known to be negative regulators of cell stress response pathways. This phosphatase is found to be responsible for the dephosphorylation of Pre-mRNA splicing factors, which is important for the formation of functional spliceosome. Studies of a similar gene in mice suggested a role of this phosphatase in regulating cell cycle progression. Alternatively spliced transcript variants encoding the same protein have been described.

Long Name

Protein Phosphatase 2C gamma

Alternate Names

PP2CG, PPM1C, PPM1G, PPP2CG

Entrez Gene IDs

5496 (Human)

Gene Symbol

PPM1G

Additional PP2C gamma Products

Product Documents for PP2C gamma/PPM1G Antibody

Certificate of Analysis

To download a Certificate of Analysis, please enter a lot number in the search box below.

Product Specific Notices for PP2C gamma/PPM1G Antibody

This product is for research use only and is not approved for use in humans or in clinical diagnosis. Primary Antibodies are guaranteed for 1 year from date of receipt.

Loading...
Loading...
Loading...
Loading...