Skip to main content

PP2C alpha/PPM1A Antibody - Azide and BSA Free

Novus Biologicals, part of Bio-Techne | Catalog # NBP3-00058

Novus Biologicals, part of Bio-Techne

Key Product Details

Species Reactivity

Human

Applications

Immunohistochemistry, Immunohistochemistry-Paraffin, Western Blot, ELISA, Immunoprecipitation

Label

Unconjugated

Antibody Source

Polyclonal Rabbit IgG

Format

Azide and BSA Free

Concentration

Please see the vial label for concentration. If unlisted please contact technical services.

Product Specifications

Immunogen

Produced in rabbits immunized with purified, recombinant Human PP2C alpha/PPM1A (Accession#: P35813-1; Met1-Trp382)

Clonality

Polyclonal

Host

Rabbit

Isotype

IgG

Description

This antibody can be stored at 2C to 8C for one month without detectable loss of activity. Antibody products are stable for twelve months from date of receipt when stored at -20C to -80C. Avoid repeated freeze-thaw cycles.

Scientific Data Images for PP2C alpha/PPM1A Antibody - Azide and BSA Free

Western Blot: PP2C alpha/PPM1A Antibody [NBP3-00058]

Western Blot: PP2C alpha/PPM1A Antibody [NBP3-00058]

Western Blot: PP2C alpha/PPM1A Antibody [NBP3-00058] - Anti-PP2C alpha/PPM1A rabbit polyclonal antibody at 1:2000 dilution. Lane A: HeLa Whole Cell Lysate Lane B: Raji Whole Cell Lysate Lysates/proteins at 30 ug per lane. Secondary Goat Anti-Rabbit IgG (H+L)/HRP at 1/10000 dilution. Developed using the ECL technique. Performed under reducing conditions. Predicted band size: 42 kDa. Observed band size: 44 kDa (We are unsure as to the identity of these extra bands).
Immunohistochemistry-Paraffin: PP2C alpha/PPM1A Antibody [NBP3-00058]

Immunohistochemistry-Paraffin: PP2C alpha/PPM1A Antibody [NBP3-00058]

Immunohistochemistry-Paraffin: PP2C alpha/PPM1A Antibody [NBP3-00058] - Immunochemical staining of human PP2C alpha/PPM1A in human colon carcinoma with rabbit polyclonal antibody at 1:3000 dilution, formalin-fixed paraffin embedded sections.
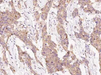
Immunohistochemistry-Paraffin: PP2C alpha/PPM1A Antibody [NBP3-00058]

Immunohistochemistry-Paraffin: PP2C alpha/PPM1A Antibody [NBP3-00058]

Immunohistochemistry-Paraffin: PP2C alpha/PPM1A Antibody [NBP3-00058] - Immunochemical staining of human PP2C alpha/PPM1A in human breast carcinoma with rabbit polyclonal antibody at 1:3000 dilution, formalin-fixed paraffin embedded sections.

Applications for PP2C alpha/PPM1A Antibody - Azide and BSA Free

Application
Recommended Usage

ELISA

1:5000-1:10000

Immunohistochemistry-Paraffin

1:1000-1:5000

Immunoprecipitation

1-5uL/mg of lysate

Western Blot

1:1000-1:5000

Formulation, Preparation, and Storage

Purification

Antigen and protein A Affinity-purified

Formulation

0.2 um filtered solution in PBS

Format

Azide and BSA Free

Preservative

No Preservative

Concentration

Please see the vial label for concentration. If unlisted please contact technical services.

Shipping

The product is shipped with polar packs. Upon receipt, store it immediately at the temperature recommended below.

Stability & Storage

Store at 4C short term. Aliquot and store at -20C long term. Avoid freeze-thaw cycles.

Background: PP2C alpha/PPM1A

Protein phosphatase 2C (PP2C) is a family of serine/threonine specific protein phosphatases. PP2C is a 42 kDa monomeric enzyme with broad substrate specificity and its activity is depended upon divalent cations (e.g. magnesium) (1). In mammals, three members of PP2C family are known; PP2C -alpha, -beta, and -gamma. PP2C

Long Name

Protein Phosphatase 2C alpha

Alternate Names

MMPa-2, MPPa-1, Pp2c1, PPM1A

Gene Symbol

PPM1A

Additional PP2C alpha/PPM1A Products

Product Documents for PP2C alpha/PPM1A Antibody - Azide and BSA Free

Certificate of Analysis

To download a Certificate of Analysis, please enter a lot number in the search box below.

Product Specific Notices for PP2C alpha/PPM1A Antibody - Azide and BSA Free

This product is for research use only and is not approved for use in humans or in clinical diagnosis. Primary Antibodies are guaranteed for 1 year from date of receipt.

Loading...
Loading...
Loading...
Loading...