Skip to main content

PP1 alpha/PPP1A Antibody (OTI6E5)

Novus Biologicals, part of Bio-Techne | Catalog # NBP2-45384

Novus Biologicals, part of Bio-Techne

Key Product Details

Species Reactivity

Human, Mouse, Rat

Applications

Immunohistochemistry, Immunohistochemistry-Paraffin, Western Blot

Label

Unconjugated

Antibody Source

Monoclonal Mouse IgG1 Clone # OTI6E5

Concentration

1 mg/ml

Product Specifications

Immunogen

Full length human recombinant protein of human PPP1CA(NP_001008709) produced in E.coli.

Reactivity Notes

Please note that this antibody is reactive to Mouse and derived from the same host, Mouse. Mouse-On-Mouse blocking reagent may be needed for IHC and ICC experiments to reduce high background signal. You can find these reagents under catalog numbers PK-2200-NB and MP-2400-NB. Please contact Technical Support if you have any questions.

Clonality

Monoclonal

Host

Mouse

Isotype

IgG1

Theoretical MW

38.5 kDa.
Disclaimer note: The observed molecular weight of the protein may vary from the listed predicted molecular weight due to post translational modifications, post translation cleavages, relative charges, and other experimental factors.

Description

Novus Biologicals Mouse PP1 alpha/PPP1A Antibody (OTI6E5) (NBP2-45384) is a monoclonal antibody validated for use in IHC and WB. All Novus Biologicals antibodies are covered by our 100% guarantee.

Scientific Data Images for PP1 alpha/PPP1A Antibody (OTI6E5)

Western Blot: PP1 alpha/PPP1A Antibody (OTI6E5) [NBP2-45384]

Western Blot: PP1 alpha/PPP1A Antibody (OTI6E5) [NBP2-45384]

Western Blot: PP1 alpha/PPP1A Antibody (OTI6E5) [NBP2-45384] - Analysis of HEK293T cells were transfected with the pCMV6-ENTRY control (Left lane) or pCMV6-ENTRY PPP1CA.
Immunohistochemistry-Paraffin: PP1 alpha/PPP1A Antibody (OTI6E5) [NBP2-45384]

Immunohistochemistry-Paraffin: PP1 alpha/PPP1A Antibody (OTI6E5) [NBP2-45384]

Immunohistochemistry-Paraffin: PP1 alpha/PPP1A Antibody (OTI6E5) [NBP2-45384] - Staining of paraffin-embedded Human liver tissue using anti-PPP1CA mouse monoclonal antibody. (Heat-induced epitope retrieval by 1mM EDTA in 10mM Tris buffer (pH8.5) at 120C for 3min) (1:150)
Immunohistochemistry-Paraffin: PP1 alpha/PPP1A Antibody (OTI6E5) [NBP2-45384]

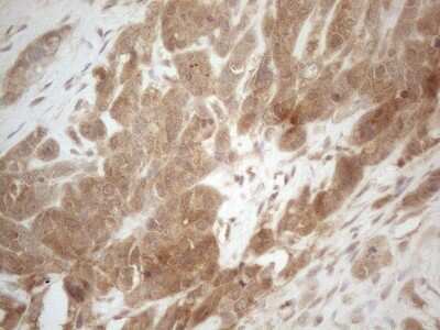
Immunohistochemistry-Paraffin: PP1 alpha/PPP1A Antibody (OTI6E5) [NBP2-45384]

Immunohistochemistry-Paraffin: PP1 alpha/PPP1A Antibody (OTI6E5) [NBP2-45384] - Staining of paraffin-embedded Adenocarcinoma of Human colon tissue using anti-PPP1CA mouse monoclonal antibody. (Heat-induced epitope retrieval by 1mM EDTA in 10mM Tris buffer (pH8.5) at 120C for 3min) (1:150)

Applications for PP1 alpha/PPP1A Antibody (OTI6E5)

Application
Recommended Usage

Immunohistochemistry

1:150

Western Blot

1:2000

Formulation, Preparation, and Storage

Purification

Immunogen affinity purified

Formulation

PBS (pH 7.3), 1.0% BSA and 50% Glycerol

Preservative

0.02% Sodium Azide

Concentration

1 mg/ml

Shipping

The product is shipped with polar packs. Upon receipt, store it immediately at the temperature recommended below.

Stability & Storage

Store at -20C. Avoid freeze-thaw cycles.

Background: PP1 alpha

Protein phosphatase 1 (PP1) is a major eukaryotic protein serine/threonine phosphatase that regulates an enormous variety of cellular functions through the interaction of its catalytic subunit (PP1c) with over fifty different established or putative regulatory subunits (1). The coordinated and reciprocal action of serine/threonine (Ser/Thr) protein kinases and phosphatases produces transient phosphorylation, a fundamental regulatory mechanism for many biological processes. PP1 is ubiquitously distributed and regulates a broad range of cellular functions, including glycogen metabolism, cell-cycle progression and muscle relaxation. PP1 has evolved effective catalytic machinery but lacks substrate specificity. Substrate specificity is conferred upon PP1 through interactions with a large number of regulatory subunits (2). It has been shown that PP1 determines the efficacy of learning and memory by limiting acquisition and favouring memory decline. When PP1 is genetically inhibited during learning, short intervals between training episodes are sufficient for optimal performance (3).

Long Name

Protein Phosphatase 1 Catalytic Subunit alpha

Alternate Names

PPP1A, PPP1CA

Gene Symbol

PPP1CA

Additional PP1 alpha Products

Product Documents for PP1 alpha/PPP1A Antibody (OTI6E5)

Certificate of Analysis

To download a Certificate of Analysis, please enter a lot number in the search box below.

Product Specific Notices for PP1 alpha/PPP1A Antibody (OTI6E5)

This product is for research use only and is not approved for use in humans or in clinical diagnosis. Primary Antibodies are guaranteed for 1 year from date of receipt.

Loading...
Loading...
Loading...
Loading...