Skip to main content

PON1 Antibody (JE30-90)

Novus Biologicals, part of Bio-Techne | Catalog # NBP3-32843

Recombinant Monoclonal Antibody
Novus Biologicals, part of Bio-Techne
Catalog #
Availability
Size / Price
Qty
Loading...
NBP3-32843

Key Product Details

Species Reactivity

Human, Mouse, Rat

Applications

Flow Cytometry, Immunohistochemistry, Immunohistochemistry-Paraffin, Western Blot

Label

Unconjugated

Antibody Source

Recombinant Monoclonal Rabbit IgG Clone # JE30-90 expressed in HEK293

Concentration

1 mg/ml

Product Specifications

Immunogen

Synthetic peptide within Human PON1 aa 101-150 / 355. (Uniprot: P27169)

Localization

Secreted, extracellular space.

Clonality

Monoclonal

Host

Rabbit

Isotype

IgG

Theoretical MW

40 kDa.
Disclaimer note: The observed molecular weight of the protein may vary from the listed predicted molecular weight due to post translational modifications, post translation cleavages, relative charges, and other experimental factors.

Description

Novus Biologicals Rabbit PON1 Antibody (JE30-90) (NBP3-32843) is a recombinant monoclonal antibody validated for use in IHC, WB and Flow. All Novus Biologicals antibodies are covered by our 100% guarantee.

Scientific Data Images for PON1 Antibody (JE30-90)

PON1 Antibody (JE30-90)

Western Blot: PON1 Antibody (JE30-90) [NBP3-32843]

Western Blot: PON1 Antibody (JE30-90) [NBP3-32843] - Western blot analysis of PON1 on different lysates with Rabbit anti-PON1 antibody (NBP3-32843) at 1/1,000 dilution.

Lane 1: Human liver tissue lysate
Lane 2: Mouse liver tissue lysate
Lane 3: Rat liver tissue lysate

Lysates/proteins at 30 ug/Lane.

Predicted band size: 40 kDa
Observed band size: 40 kDa

Exposure time: 3 minutes;

4-20% SDS-PAGE gel.

Proteins were transferred to a PVDF membrane and blocked with 5% NFDM/TBST for 1 hour at room temperature. The primary antibody (NBP3-32843) at 1/1,000 dilution was used in 5% NFDM/TBST at room temperature for 2 hours. Goat Anti-Rabbit IgG - HRP Secondary Antibody at 1:100,000 dilution was used for 1 hour at room temperature.
PON1 Antibody (JE30-90)

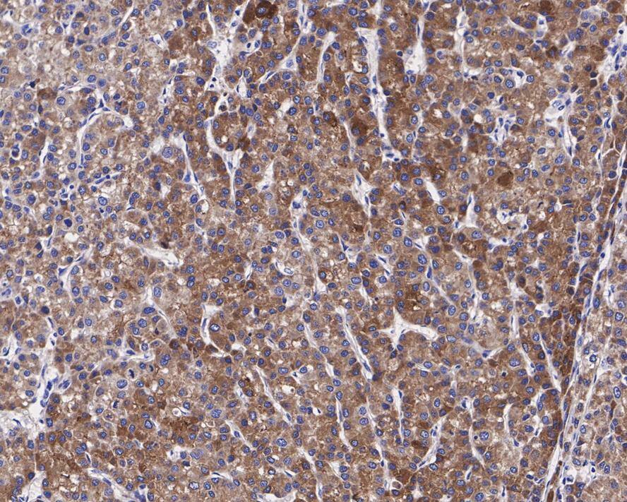
Immunohistochemistry: PON1 Antibody (JE30-90) [NBP3-32843]

Immunohistochemistry: PON1 Antibody (JE30-90) [NBP3-32843] - Immunohistochemical analysis of paraffin-embedded human liver carcinoma tissue with Rabbit anti-PON1 antibody (NBP3-32843) at 1/200 dilution.

The section was pre-treated using heat mediated antigen retrieval with Tris-EDTA buffer (pH 9.0) for 20 minutes. The tissues were blocked in 1% BSA for 20 minutes at room temperature, washed with ddH2O and PBS, and then probed with the primary antibody (NBP3-32843) at 1/200 dilution for 1 hour at room temperature. The detection was performed using an HRP conjugated compact polymer system. DAB was used as the chromogen. Tissues were counterstained with hematoxylin and mounted with DPX.
PON1 Antibody (JE30-90)

Flow Cytometry: PON1 Antibody (JE30-90) [NBP3-32843]

Flow Cytometry: PON1 Antibody (JE30-90) [NBP3-32843] - Flow cytometric analysis of HepG2 cells labeling PON1.

Cells were fixed and permeabilized. Then stained with the primary antibody (NBP3-32843, 1ug/ml) (red) compared with Rabbit IgG Isotype Control (green). After incubation of the primary antibody at +4℃ for an hour, the cells were stained with a iFluor™ 488 conjugate-Goat anti-Rabbit IgG Secondary antibody at 1/1,000 dilution for 30 minutes at +4℃. Unlabelled sample was used as a control (cells without incubation with primary antibody; black).

Applications for PON1 Antibody (JE30-90)

Application
Recommended Usage

Flow Cytometry

1:500-1:1000

Immunohistochemistry-Paraffin

1:200-1:1000

Western Blot

1:1000

Formulation, Preparation, and Storage

Purification

Protein A purified

Formulation

1*TBS (pH7.4), 0.05% BSA and 40% Glycerol

Preservative

0.05% Sodium Azide

Concentration

1 mg/ml

Shipping

The product is shipped with polar packs. Upon receipt, store it immediately at the temperature recommended below.

Stability & Storage

Store at 4C short term. Aliquot and store at -20C long term. Avoid freeze-thaw cycles.

Background: PON1

Paraoxonase 1 (PON1) is an arylesterase capable of hydrolyzing a broad spectrum of organophosphate substrates and lactones, and a number of aromatic carboxylic acid esters. PON1 primarily hydrolyzes paroxon, an organophosphorus anticholinesterase compound produced in vivo by oxidation of the insecticide parathion, to produce p-nitrophenol. Polymorphisms in this gene are a risk factor in coronary artery disease.

Long Name

Paraoxonase 1

Alternate Names

ESA, K-45

Gene Symbol

PON1

Additional PON1 Products

Product Documents for PON1 Antibody (JE30-90)

Certificate of Analysis

To download a Certificate of Analysis, please enter a lot number in the search box below.

Product Specific Notices for PON1 Antibody (JE30-90)

This product is for research use only and is not approved for use in humans or in clinical diagnosis. Primary Antibodies are guaranteed for 1 year from date of receipt.

Loading...
Loading...
Loading...
Loading...
Loading...