Skip to main content

POLR1A Antibody - BSA Free

Novus Biologicals, part of Bio-Techne | Catalog # NBP2-32016

Novus Biologicals, part of Bio-Techne
Catalog #
Availability
Size / Price
Qty
Loading...
NBP2-32016
NBP2-32016-25ul

Key Product Details

Species Reactivity

Human

Applications

Immunohistochemistry, Immunohistochemistry-Paraffin

Label

Unconjugated

Antibody Source

Polyclonal Rabbit IgG

Format

BSA Free

Concentration

Concentrations vary lot to lot. See vial label for concentration. If unlisted please contact technical services.

Product Specifications

Immunogen

This antibody was developed against a recombinant protein corresponding to amino acids: SNYEVIMKSQHLHEVLSRADPKKALHHFRAIKKWQSKHPNTLLRRGAFLSYSQKIQEAVKALKLESENRNGRSPGTQEMLRMWYELDEESRRKYQ

Clonality

Polyclonal

Host

Rabbit

Isotype

IgG

Description

Novus Biologicals Rabbit POLR1A Antibody - BSA Free (NBP2-32016) is a polyclonal antibody validated for use in IHC. All Novus Biologicals antibodies are covered by our 100% guarantee.

Scientific Data Images for POLR1A Antibody - BSA Free

Immunohistochemistry-Paraffin: POLR1A Antibody [NBP2-32016]

Immunohistochemistry-Paraffin: POLR1A Antibody [NBP2-32016]

Immunohistochemistry-Paraffin: POLR1A Antibody [NBP2-32016] - Staining of human testis shows strong nuclear positivity in cells in seminiferous ducts.
Immunohistochemistry-Paraffin: POLR1A Antibody [NBP2-32016]

Immunohistochemistry-Paraffin: POLR1A Antibody [NBP2-32016]

Immunohistochemistry-Paraffin: POLR1A Antibody [NBP2-32016] - Staining of human cerebral cortex shows strong nuclear positivity in neurons.
Immunohistochemistry-Paraffin: POLR1A Antibody [NBP2-32016]

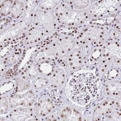
Immunohistochemistry-Paraffin: POLR1A Antibody [NBP2-32016]

Immunohistochemistry-Paraffin: POLR1A Antibody [NBP2-32016] - Staining of human kidney shows strong nuclear positivity in cells in tubules.

Applications for POLR1A Antibody - BSA Free

Application
Recommended Usage

Immunohistochemistry

1:200 - 1:500

Immunohistochemistry-Paraffin

1:200 - 1:500
Application Notes
For IHC-Paraffin, HIER pH 6 retrieval is recommended.

Formulation, Preparation, and Storage

Purification

Immunogen affinity purified

Formulation

PBS (pH 7.2) and 40% Glycerol

Format

BSA Free

Preservative

0.02% Sodium Azide

Concentration

Concentrations vary lot to lot. See vial label for concentration. If unlisted please contact technical services.

Shipping

The product is shipped with polar packs. Upon receipt, store it immediately at the temperature recommended below.

Stability & Storage

Store at 4C short term. Aliquot and store at -20C long term. Avoid freeze-thaw cycles.

Background: POLR1A

DNA-dependent RNA polymerase catalyzes the transcription of DNA into RNA using the four ribonucleoside triphosphates as substrates. Largest and catalytic core component of RNA polymerase I which synthesizes ribosomal RNA precursors. Forms the polymerase active center together with the second largest subunit. A single stranded DNA template strand of the promoter is positioned within the central active site cleft of Pol I. A bridging helix emanates from RPA1 and crosses the cleft near the catalytic site and is thought to promote translocation of Pol I by acting as a ratchet that moves the RNA-DNA hybrid through the active site by switching from straight to bent conformations at each step of nucleotide addition

Long Name

DNA-directed RNA polymerase I subunit RPA1

Alternate Names

A190, RPA194

Gene Symbol

POLR1A

UniProt

Additional POLR1A Products

Product Documents for POLR1A Antibody - BSA Free

Certificate of Analysis

To download a Certificate of Analysis, please enter a lot number in the search box below.

Product Specific Notices for POLR1A Antibody - BSA Free

This product is for research use only and is not approved for use in humans or in clinical diagnosis. Primary Antibodies are guaranteed for 1 year from date of receipt.

Loading...
Loading...
Loading...
Loading...