Podoplanin Antibody (LF3/B7/D5B27) - Azide and BSA Free
Novus Biologicals, part of Bio-Techne | Catalog # NB110-96423
Conjugate
Catalog #
Forumulation
Catalog #
Key Product Details
Species Reactivity
Validated:
Rat
Cited:
Rat
Applications
Validated:
Immunohistochemistry, Immunohistochemistry-Paraffin, Western Blot, Immunocytochemistry/ Immunofluorescence
Cited:
Immunohistochemistry-Paraffin, Western Blot, Immunocytochemistry/ Immunofluorescence, IF/IHC
Label
Unconjugated
Antibody Source
Monoclonal Mouse IgG1 Clone # LF3/B7/D5B27
Format
Azide and BSA Free
Concentration
1.0 mg/ml
Product Specifications
Immunogen
Membrane protein fraction of isolated rat glomeruli
Marker
Lymphatic Endothelium Marker
Clonality
Monoclonal
Host
Mouse
Isotype
IgG1
Description
Novus Biologicals Mouse Podoplanin Antibody (LF3/B7/D5B27) - Azide and BSA Free (NB110-96423) is a monoclonal antibody validated for use in IHC, WB and ICC/IF. Anti-Podoplanin Antibody: Cited in 8 publications. All Novus Biologicals antibodies are covered by our 100% guarantee.
Scientific Data Images for Podoplanin Antibody (LF3/B7/D5B27) - Azide and BSA Free
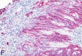
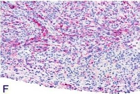
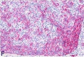
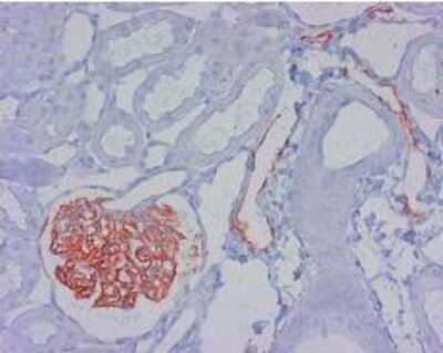
Immunohistochemistry-Paraffin: Podoplanin Antibody (LF3/B7/D5B27) - Azide and BSA Free [NB110-96423]
Podoplanin-Antibody-LF3-B7-D5B27-Immunohistochemistry-Paraffin-NB110-96423-img0008.jpgWestern Blot: Podoplanin Antibody (LF3/B7/D5B27)Azide and BSA Free [NB110-96423]
Western Blot: Podoplanin Antibody (LF3/B7/D5B27) [NB110-96423] - analysis with recombinant human, mouse and rat soluble Podolanin. There is no cross reaction with human and mouse Podoplanin.Immunohistochemistry: Podoplanin Antibody (LF3/B7/D5B27) - Azide and BSA Free [NB110-96423]
Immunohistochemistry: Podoplanin Antibody (LF3/B7/D5B27) [NB110-96423] - Rat cardiac lymphatic microvessels, labeled with a monoclonal antibody against rat Podoplanin (green) [A] and a polyclonal antibody against mouse LYVE-1 (red) [overlay, B]. Image was obtained at 20x magnification on a Zeiss fluorescence microscope. Scale bar = 50 um. The used protocol in short was: 1. Blockage of nonspecific binding; 2. Incubation with primary abs : anti-mouse Lyve1 (1:1000) and mouse anti- Podoplanin (1:400) for 60 min at RT; 3. Incubation with secondary abs: Donkey anti-rabbit Cy3 and Donkey anti-mouse FITC, 30 min at RT; 4. Mounting in DAPI-containing medium for cell nuclei labeling.Applications for Podoplanin Antibody (LF3/B7/D5B27) - Azide and BSA Free
Application
Recommended Usage
Immunocytochemistry/ Immunofluorescence
1-2 ug/ml
Immunohistochemistry
6-30 ug/ml
Immunohistochemistry-Paraffin
6-30 ug/ml
Western Blot
1-2 ug/ml
Formulation, Preparation, and Storage
Purification
Protein G purified
Formulation
PBS
Format
Azide and BSA Free
Preservative
No Preservative
Concentration
1.0 mg/ml
Shipping
The product is shipped with polar packs. Upon receipt, store it immediately at the temperature recommended below.
Stability & Storage
Store at 4C short term. Aliquot and store at -20C long term. Avoid freeze-thaw cycles.
Background: Podoplanin
Long Name
Lung Type-I Cell Membrane-associated Glycoprotein, Isoform A
Alternate Names
Aggrus, Gp38, PDPN, RANDAM-2, T1A-2
Entrez Gene IDs
54320 (Rat)
Gene Symbol
PDPN
UniProt
Additional Podoplanin Products
Product Documents for Podoplanin Antibody (LF3/B7/D5B27) - Azide and BSA Free
Product Specific Notices for Podoplanin Antibody (LF3/B7/D5B27) - Azide and BSA Free
This product is for research use only and is not approved for use in humans or in clinical diagnosis. Primary Antibodies are guaranteed for 1 year from date of receipt.
Loading...
Loading...
Loading...
Loading...
Loading...