Skip to main content

PNPT1 Antibody - BSA Free

Novus Biologicals, part of Bio-Techne | Catalog # NBP1-82485

Novus Biologicals, part of Bio-Techne
Catalog #
Availability
Size / Price
Qty
Loading...
NBP1-82485
NBP1-82485-25ul

Key Product Details

Validated by

Independent Antibodies

Species Reactivity

Validated:

Human

Predicted:

Mouse (96%), Rat (96%). Backed by our 100% Guarantee.

Applications

Immunohistochemistry, Immunohistochemistry-Paraffin, Western Blot, Immunocytochemistry/ Immunofluorescence

Label

Unconjugated

Antibody Source

Polyclonal Rabbit IgG

Format

BSA Free

Concentration

Concentrations vary lot to lot. See vial label for concentration. If unlisted please contact technical services.

Product Specifications

Immunogen

This antibody was developed against Recombinant Protein corresponding to amino acids: FSVFAPTPSAMHEARDFITEICKDDQEQQLEFGAVYTATITEIRDTGVMVKLYPNMTAVLLHNTQLDQRKIKHPTALGLEVGQEIQVKYFGRDPA

Clonality

Polyclonal

Host

Rabbit

Isotype

IgG

Scientific Data Images for PNPT1 Antibody - BSA Free

Immunocytochemistry/ Immunofluorescence: PNPT1 Antibody [NBP1-82485]

Immunocytochemistry/ Immunofluorescence: PNPT1 Antibody [NBP1-82485]

Immunocytochemistry/Immunofluorescence: PNPT1 Antibody [NBP1-82485] - Immunofluorescent staining of human cell line U-251 MG shows localization to cytosol & mitochondria. Antibody staining shown in green.
Immunohistochemistry-Paraffin: PNPT1 Antibody [NBP1-82485]

Immunohistochemistry-Paraffin: PNPT1 Antibody [NBP1-82485]

Immunohistochemistry-Paraffin: PNPT1 Antibody [NBP1-82485] - Staining of human rectum shows strong cytoplasmic positivity with a granular pattern in glandular cells.
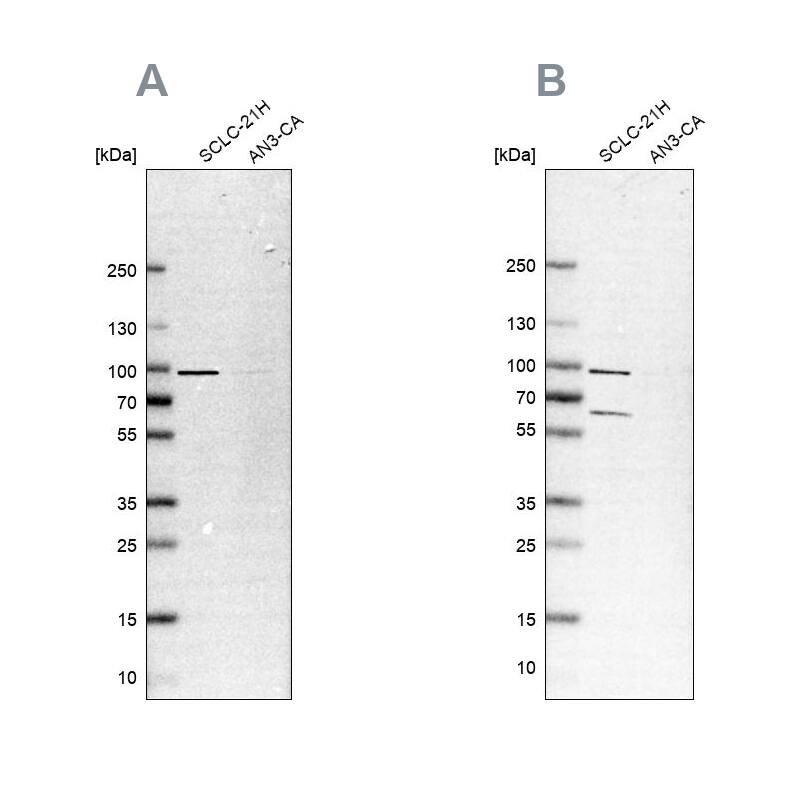
PNPT1 Antibody Western Blot: PNPT1 Antibody Antibody [NBP1-82485]

Western Blot: PNPT1 Antibody Antibody [NBP1-82485]

Analysis using NBP1-82485 (A) shows similar pattern to independent antibody NBP2-38211 (B).

Applications for PNPT1 Antibody - BSA Free

Application
Recommended Usage

Immunocytochemistry/ Immunofluorescence

0.25-2 ug/ml

Immunohistochemistry

1:50 - 1:200

Immunohistochemistry-Paraffin

1:50 - 1:200

Western Blot

0.04-0.4 ug/ml
Application Notes
For IHC-Paraffin, HIER pH 6 retrieval is recommended. ICC/IF,Fixation Permeabilization: Use PFA/Triton X-100.

Formulation, Preparation, and Storage

Purification

Affinity purified

Formulation

PBS (pH 7.2) and 40% Glycerol

Format

BSA Free

Preservative

0.02% Sodium Azide

Concentration

Concentrations vary lot to lot. See vial label for concentration. If unlisted please contact technical services.

Shipping

The product is shipped with polar packs. Upon receipt, store it immediately at the temperature recommended below.

Stability & Storage

Store at 4C short term. Aliquot and store at -20C long term. Avoid freeze-thaw cycles.

Background: PNPT1

PNPT1 is a subunit of the exosome complex, which is involved in 3-prime-to-5-prime exoribonuclease activity for RNA processing and degradation (Raijmakers et al., 2002 [PubMed 12419256]).[supplied by OMIM]

Alternate Names

DKFZp762K1914, EC 2.7.7, EC 2.7.7.8, mitochondrial, OLD35, old-35, PNPase, PNPase 1, PNPase old-35, Polynucleotide phosphorylase 1, Polynucleotide phosphorylase-like protein, polyribonucleotide nucleotidyltransferase 1

Gene Symbol

PNPT1

Additional PNPT1 Products

Product Documents for PNPT1 Antibody - BSA Free

Certificate of Analysis

To download a Certificate of Analysis, please enter a lot number in the search box below.

Product Specific Notices for PNPT1 Antibody - BSA Free

This product is for research use only and is not approved for use in humans or in clinical diagnosis. Primary Antibodies are guaranteed for 1 year from date of receipt.

Loading...
Loading...
Loading...
Loading...