Skip to main content

PNPO Antibody (OTI1H9)

Novus Biologicals, part of Bio-Techne | Catalog # NBP2-01088

Novus Biologicals, part of Bio-Techne

Key Product Details

Species Reactivity

Human, Mouse, Rat

Applications

Immunohistochemistry, Immunohistochemistry-Paraffin, Western Blot

Label

Unconjugated

Antibody Source

Monoclonal Mouse IgG2B Clone # OTI1H9

Concentration

0.32 mg/ml

Product Specifications

Immunogen

Full length human recombinant protein of human PNPO(NP_060599) produced in HEK293T cell.

Reactivity Notes

Please note that this antibody is reactive to Mouse and derived from the same host, Mouse. Mouse-On-Mouse blocking reagent may be needed for IHC and ICC experiments to reduce high background signal. You can find these reagents under catalog numbers PK-2200-NB and MP-2400-NB. Please contact Technical Support if you have any questions.

Clonality

Monoclonal

Host

Mouse

Isotype

IgG2B

Theoretical MW

29.8 kDa.
Disclaimer note: The observed molecular weight of the protein may vary from the listed predicted molecular weight due to post translational modifications, post translation cleavages, relative charges, and other experimental factors.

Description

Novus Biologicals Mouse PNPO Antibody (OTI1H9) (NBP2-01088) is a monoclonal antibody validated for use in IHC and WB. All Novus Biologicals antibodies are covered by our 100% guarantee.

Scientific Data Images for PNPO Antibody (OTI1H9)

Western Blot: PNPO Antibody (OTI1H9) [NBP2-01088]

Western Blot: PNPO Antibody (OTI1H9) [NBP2-01088]

Western Blot: PNPO Antibody (1H9) [NBP2-01088] - HEK293T cells were transfected with the pCMV6-ENTRY control (Left lane) or pCMV6-ENTRY PNPO (Right lane) cDNA for 48 hrs and lysed. Equivalent amounts of cell lysates (5 ug per lane) were separated by SDS-PAGE and immunoblotted with anti-PNPO.
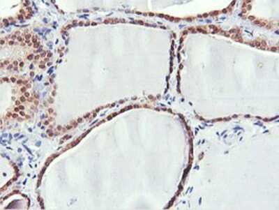
Immunohistochemistry-Paraffin: PNPO Antibody (1H9) [NBP2-01088] Staining of paraffin-embedded Human thyroid tissue using anti-PNPO mouse monoclonal antibody.
Immunohistochemistry-Paraffin: PNPO Antibody (OTI1H9) [NBP2-01088]

Immunohistochemistry-Paraffin: PNPO Antibody (OTI1H9) [NBP2-01088]

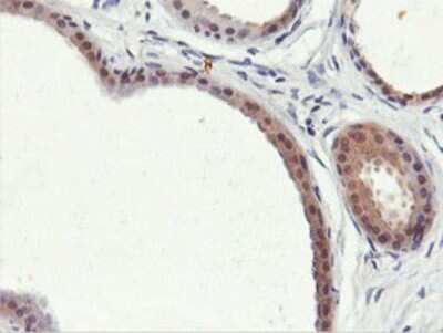
Immunohistochemistry-Paraffin: PNPO Antibody (1H9) [NBP2-01088] - Staining of paraffin-embedded Carcinoma of Human liver tissue using anti-PNPO mouse monoclonal antibody.

Applications for PNPO Antibody (OTI1H9)

Application
Recommended Usage

Immunohistochemistry

1:150

Immunohistochemistry-Paraffin

1:150

Western Blot

1:500

Formulation, Preparation, and Storage

Purification

Immunogen affinity purified

Formulation

PBS (pH 7.3), 1.0% BSA and 50% Glycerol

Preservative

0.02% Sodium Azide

Concentration

0.32 mg/ml

Shipping

The product is shipped with polar packs. Upon receipt, store it immediately at the temperature recommended below.

Stability & Storage

Store at -20C. Avoid freeze-thaw cycles.

Background: PNPO

The enzyme encoded by this gene catalyzes the terminal, rate-limiting step in the synthesis of pyridoxal 5'-phosphate, also known as vitamin B6. Vitamin B6 is a required co-factor for enzymes involved in both homocysteine metabolism and synthesis of neurotransmitters such as catecholamine. Mutations in this gene result in pyridoxamine 5'-phosphate oxidase (PNPO) deficiency, a form of neonatal epileptic encephalopathy. [provided by RefSeq]. COMPLETENESS: complete on the 3' end.

Alternate Names

EC 1.4.3.5, FLJ10535, PDXPO, pyridoxal 5'-phosphate synthase, pyridoxamine 5'-phosphate oxidase, Pyridoxamine-phosphate oxidase, pyridoxine 5'-phosphate oxidase, pyridoxine-5'-phosphate oxidase

Entrez Gene IDs

55163 (Human)

Gene Symbol

PNPO

Additional PNPO Products

Product Documents for PNPO Antibody (OTI1H9)

Certificate of Analysis

To download a Certificate of Analysis, please enter a lot number in the search box below.

Product Specific Notices for PNPO Antibody (OTI1H9)

This product is for research use only and is not approved for use in humans or in clinical diagnosis. Primary Antibodies are guaranteed for 1 year from date of receipt.

Loading...
Loading...
Loading...
Loading...