Skip to main content

PNK Antibody (JE64-85)

Novus Biologicals, part of Bio-Techne | Catalog # NBP3-32836

Recombinant Monoclonal Antibody
Novus Biologicals, part of Bio-Techne
Catalog #
Availability
Size / Price
Qty
Loading...
NBP3-32836

Key Product Details

Species Reactivity

Human

Applications

Immunohistochemistry, Immunohistochemistry-Paraffin, Western Blot

Label

Unconjugated

Antibody Source

Recombinant Monoclonal Rabbit IgG Clone # JE64-85 expressed in HEK293

Concentration

1 mg/ml

Product Specifications

Immunogen

Synthetic peptide within human PNK aa 460-509/521. (Uniprot: Q96T60)

Localization

Nucleus.

Clonality

Monoclonal

Host

Rabbit

Isotype

IgG

Theoretical MW

57 kDa.
Disclaimer note: The observed molecular weight of the protein may vary from the listed predicted molecular weight due to post translational modifications, post translation cleavages, relative charges, and other experimental factors.

Description

Novus Biologicals Rabbit PNK Antibody (JE64-85) (NBP3-32836) is a recombinant monoclonal antibody validated for use in IHC and WB. All Novus Biologicals antibodies are covered by our 100% guarantee.

Scientific Data Images for PNK Antibody (JE64-85)

PNK Antibody (JE64-85)

Western Blot: PNK Antibody (JE64-85) [NBP3-32836]

Western Blot: PNK Antibody (JE64-85) [NBP3-32836] - Western blot analysis of PNK on different lysates with Rabbit anti-PNK antibody (NBP3-32836) at 1/500 dilution.

Lane 1: HepG2 cell lysate
Lane 2: 293 cell lysate
Lane 3: PC-3 cell lysate
Lane 4: Jurkat cell lysate

Lysates/proteins at 10 ug/Lane.

Predicted band size: 57 kDa
Observed band size: 60 kDa

Exposure time: 2 minutes;

10% SDS-PAGE gel.

Proteins were transferred to a PVDF membrane and blocked with 5% NFDM/TBST for 1 hour at room temperature. The primary antibody (NBP3-32836) at 1/500 dilution was used in 5% NFDM/TBST at room temperature for 2 hours. Goat Anti-Rabbit IgG - HRP Secondary Antibody at 1:300,000 dilution was used for 1 hour at room temperature.
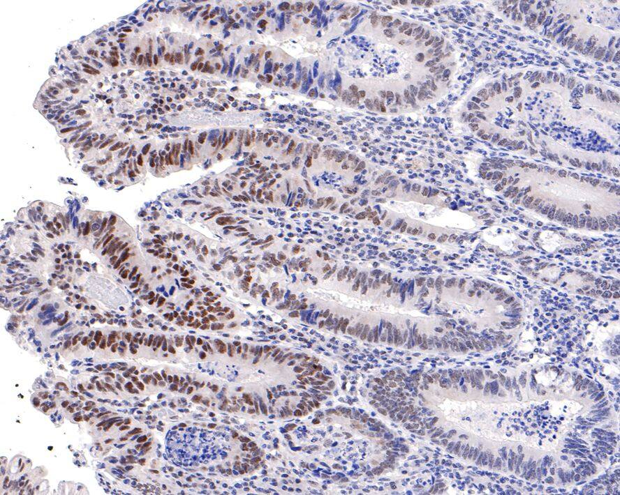
PNK Antibody (JE64-85)

Immunohistochemistry: PNK Antibody (JE64-85) [NBP3-32836]

Immunohistochemistry: PNK Antibody (JE64-85) [NBP3-32836] - Immunohistochemical analysis of paraffin-embedded human colon carcinoma tissue with Rabbit anti-PNK antibody (NBP3-32836) at 1/100 dilution.

The section was pre-treated using heat mediated antigen retrieval with sodium citrate buffer (pH 6.0) for 2 minutes. The tissues were blocked in 1% BSA for 20 minutes at room temperature, washed with ddH2O and PBS, and then probed with the primary antibody (NBP3-32836) at 1/100 dilution for 1 hour at room temperature. The detection was performed using an HRP conjugated compact polymer system. DAB was used as the chromogen. Tissues were counterstained with hematoxylin and mounted with DPX.

Applications for PNK Antibody (JE64-85)

Application
Recommended Usage

Immunohistochemistry-Paraffin

1:100

Western Blot

1:500

Formulation, Preparation, and Storage

Purification

Protein A purified

Formulation

1*TBS (pH7.4), 0.05% BSA and 40% Glycerol

Preservative

0.05% Sodium Azide

Concentration

1 mg/ml

Shipping

The product is shipped with polar packs. Upon receipt, store it immediately at the temperature recommended below.

Stability & Storage

Store at 4C short term. Aliquot and store at -20C long term. Avoid freeze-thaw cycles.

Background: PNK

PNK catalyzes the phosphorylation of nicotinamide riboside (NR) and nicotinic acid riboside (NaR) to form nicotinamide mononucleotide (NMN) and nicotinic acid mononucleotide (NaMN). Reduces laminin matrix deposition and cell adhesion to laminin, but not to fi

Long Name

Bifunctional polynucleotide phosphatase/kinase

Alternate Names

PNKP

Gene Symbol

PNKP

Additional PNK Products

Product Documents for PNK Antibody (JE64-85)

Certificate of Analysis

To download a Certificate of Analysis, please enter a lot number in the search box below.

Product Specific Notices for PNK Antibody (JE64-85)

This product is for research use only and is not approved for use in humans or in clinical diagnosis. Primary Antibodies are guaranteed for 1 year from date of receipt.

Loading...
Loading...
Loading...
Loading...