Skip to main content

PMS2 Antibody (PMS2/8374R) - Azide and BSA Free

Novus Biologicals, part of Bio-Techne | Catalog # NBP3-20968

Recombinant Monoclonal Antibody
Novus Biologicals, part of Bio-Techne

Key Product Details

Species Reactivity

Human

Applications

Immunohistochemistry-Paraffin

Label

Unconjugated

Antibody Source

Recombinant Monoclonal Rabbit IgG Kappa Clone # PMS2/8374R

Format

Azide and BSA Free

Concentration

1 mg/ml

Product Specifications

Immunogen

Recombinant fragment (around aa1-200) of human PMS2 protein (exact sequence is proprietary)

Localization

Nucleus.

Clonality

Monoclonal

Host

Rabbit

Isotype

IgG Kappa

Description

Positive Controls: Human colon carcinoma.

Antibody with azide - store at 2 to 8C. Antibody without azide - store at -20 to -80C. Non-hazardous. No MSDS required.

Scientific Data Images for PMS2 Antibody (PMS2/8374R) - Azide and BSA Free

PMS2 Antibody (PMS2/8374R) - Azide and BSA Free

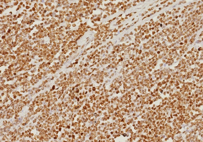
PMS2 Antibody (PMS2/8374R)

Formalin-fixed, paraffin-embedded human colon carcinoma stained with PMS2 antibody (PMS2/8374R). HIER: Tris/EDTA, pH9.0, 45min. 2: HRP-polymer, 30min. DAB, 5min.
PMS2 Antibody (PMS2/8374R) - Azide and BSA Free

PMS2 Antibody (PMS2/8374R)

Formalin-fixed, paraffin-embedded human colon carcinoma stained with PMS2 antibody (PMS2/8374R). HIER: Tris/EDTA, pH9.0, 45min. 2: HRP-polymer, 30min. DAB, 5min.

Applications for PMS2 Antibody (PMS2/8374R) - Azide and BSA Free

Application
Recommended Usage

Immunohistochemistry-Paraffin

1-2 ug/ml
Application Notes
Immunohistochemistry (Formalin-fixed): 1-2ug/ml for 30 minutes. at RT. Staining of formalin-fixed tissues requires heating tissue sections in 10mM Tris with 1mM EDTA, pH 9.0, for 45 min at 95C followed by cooling at RT for 20 minutes.

Optimal dilution for a specific application should be determined.

Formulation, Preparation, and Storage

Purification

Protein A or G purified

Formulation

10mM PBS

Format

Azide and BSA Free

Preservative

No Preservative

Concentration

1 mg/ml

Shipping

The product is shipped with polar packs. Upon receipt, store it immediately at the temperature recommended below.

Stability & Storage

Store at -20 to -70C. Avoid freeze-thaw cycles.

Background: PMS2

PMS2 is one of the PMS2 gene family members found in clusters on chromosome 7. The product of this gene is involved in DNA mismatch repair. It forms a heterodimer with MLH1 and this complex interacts with other complexes bound to mismatched bases. Mutations in this gene are associated with hereditary nonpolyposis colorectal cancer, Turcot syndrome, and are a cause of supratentorial primitive neuroectodermal tumors. Alternatively spliced transcript variants have been observed for this gene.

Alternate Names

DNA mismatch repair protein PMS2, EC 3.1, H_DJ0042M02.9, HNPCC4postmeiotic segregation increased (S. cerevisiae) 2, mismatch repair endonuclease PMS2, PMS1 protein homolog 2, PMS2 postmeiotic segregation increased 2 (S. cerevisiae), PMSL2PMS2CL

Gene Symbol

PMS2

Additional PMS2 Products

Product Documents for PMS2 Antibody (PMS2/8374R) - Azide and BSA Free

Certificate of Analysis

To download a Certificate of Analysis, please enter a lot number in the search box below.

Product Specific Notices for PMS2 Antibody (PMS2/8374R) - Azide and BSA Free

This product is for research use only and is not approved for use in humans or in clinical diagnosis. Primary Antibodies are guaranteed for 1 year from date of receipt.

Loading...
Loading...
Loading...
Loading...