Skip to main content

PMM1/Phosphomannomutase 1 Antibody - BSA Free

Novus Biologicals, part of Bio-Techne | Catalog # NBP3-41397

Novus Biologicals, part of Bio-Techne
Catalog #
Availability
Size / Price
Qty
Loading...
NBP3-41397

Key Product Details

Species Reactivity

Human, Mouse, Rat

Applications

Immunohistochemistry, Western Blot

Label

Unconjugated

Antibody Source

Polyclonal Rabbit

Format

BSA Free

Concentration

0.5 mg/ml

Product Specifications

Immunogen

Immunized with recombinant Human PMM1/Phosphomannomutase 1 (Uniprot#: Q92871; Ala2-Ala262 (Uniprot#: Q92871)

Clonality

Polyclonal

Host

Rabbit

Description

Novus Biologicals Rabbit PMM1/Phosphomannomutase 1 Antibody - BSA Free (NBP3-41397) is a polyclonal antibody validated for use in IHC and WB. All Novus Biologicals antibodies are covered by our 100% guarantee.

Scientific Data Images for PMM1/Phosphomannomutase 1 Antibody - BSA Free

PMM1/Phosphomannomutase 1 Antibody

Western Blot: PMM1/Phosphomannomutase 1 Antibody [NBP3-41397] -

Western Blot: PMM1/Phosphomannomutase 1 Antibody [NBP3-41397] - Sample: Recombinant protein.
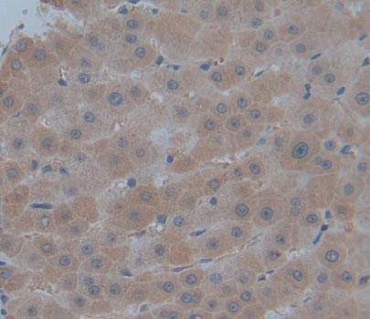
PMM1/Phosphomannomutase 1 Antibody

Immunohistochemistry-Paraffin: PMM1/Phosphomannomutase 1 Antibody [NBP3-41397] -

Immunohistochemistry-Paraffin: PMM1/Phosphomannomutase 1 Antibody [NBP3-41397] - Used in DAB staining on fromalin fixed paraffin- embedded Kidney tissue

Applications for PMM1/Phosphomannomutase 1 Antibody - BSA Free

Application
Recommended Usage

Immunohistochemistry

5-20ug/mL

Western Blot

0.2-2ug/mL

Formulation, Preparation, and Storage

Purification

Antigen and protein A Affinity-purified

Formulation

PBS, pH7.4, 50% glycerol

Format

BSA Free

Preservative

0.02% Sodium Azide

Concentration

0.5 mg/ml

Shipping

The product is shipped with polar packs. Upon receipt, store it immediately at the temperature recommended below.

Stability & Storage

Store at 4C short term. Aliquot and store at -20C long term. Avoid freeze-thaw cycles.

Background: PMM1/Phosphomannomutase 1

Phosphomannomutase catalyzes the conversion between D-mannose 6-phosphate and D-mannose 1-phosphate which is a substrate for GDP-mannose synthesis. GDP-mannose is used for synthesis of dolichol-phosphate-mannose, which is essential for N-linked glycosylation and thus the secretion of several glycoproteins as well as for the synthesis of glycosyl-phosphatidyl-inositol (GPI) anchored proteins. [provided by RefSeq]

Alternate Names

brain glucose-1,6-bisphosphatase, EC 5.4.2.8, phosphomannomutase 1, PMM 1, PMMH22, PMMH-22, Sec53

Gene Symbol

PMM1

Additional PMM1/Phosphomannomutase 1 Products

Product Documents for PMM1/Phosphomannomutase 1 Antibody - BSA Free

Certificate of Analysis

To download a Certificate of Analysis, please enter a lot number in the search box below.

Product Specific Notices for PMM1/Phosphomannomutase 1 Antibody - BSA Free

This product is for research use only and is not approved for use in humans or in clinical diagnosis. Primary Antibodies are guaranteed for 1 year from date of receipt.

Loading...
Loading...
Loading...
Loading...