PML Protein Antibody - Azide and BSA Free
Novus Biologicals, part of Bio-Techne | Catalog # NBP2-98822
Conjugate
Catalog #
Key Product Details
Species Reactivity
Human
Applications
Immunohistochemistry, Immunohistochemistry-Paraffin, Immunocytochemistry/ Immunofluorescence
Label
Unconjugated
Antibody Source
Polyclonal Rabbit IgG
Format
Azide and BSA Free
Concentration
Please see the vial label for concentration. If unlisted please contact technical services.
Product Specifications
Immunogen
Produced in rabbits immunized with a synthetic peptide corresponding to the N-terminus of the Human PML Protein.
Clonality
Polyclonal
Host
Rabbit
Isotype
IgG
Description
This antibody can be stored at 2C to 8C for one month without detectable loss of activity. Antibody products are stable for twelve months from date of receipt when stored at -20C to -80C. Avoid repeated freeze-thaw cycles.
Scientific Data Images for PML Protein Antibody - Azide and BSA Free
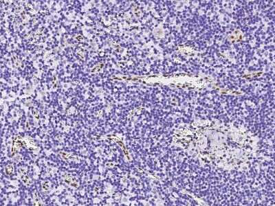
Immunohistochemistry-Paraffin: PML Protein Antibody [NBP2-98822]
Immunohistochemistry-Paraffin: PML Protein Antibody [NBP2-98822] - Immunochemical staining of human PML Protein in human lymph node with rabbit polyclonal antibody (1:2000, formalin-fixed paraffin embedded sections).Immunohistochemistry-Paraffin: PML Protein Antibody [NBP2-98822]
Immunohistochemistry-Paraffin: PML Protein Antibody [NBP2-98822] - Immunochemical staining of human PML Protein in human breast carcinoma with rabbit polyclonal antibody (1:2000, formalin-fixed paraffin embedded sections).Immunocytochemistry/Immunofluorescence: PML Protein Antibody [NBP2-98822] -
Immunocytochemistry/Immunofluorescence: PML Protein Antibody [NBP2-98822] - Immunofluorescence staining of PML Protein in HeLa cells. Cells were fixed with 4% PFA, blocked with 10% serum, and incubated with NBP2-98822 antibody (1:1000) at 4C overnight. Then cells were stained with the Alexa Fluor(R)488-conjugated Goat.Applications for PML Protein Antibody - Azide and BSA Free
Application
Recommended Usage
Immunocytochemistry/ Immunofluorescence
1:300-1:10000
Immunohistochemistry-Paraffin
1:1000-1:4000
Formulation, Preparation, and Storage
Purification
Antigen and protein A Affinity-purified
Formulation
0.2 um filtered solution in PBS
Format
Azide and BSA Free
Preservative
No Preservative
Concentration
Please see the vial label for concentration. If unlisted please contact technical services.
Shipping
The product is shipped with polar packs. Upon receipt, store it immediately at the temperature recommended below.
Stability & Storage
Store at 4C short term. Aliquot and store at -20C long term. Avoid freeze-thaw cycles.
Background: PML
Long Name
Promyelocytic Leukemia
Alternate Names
MYL, RNF71, TRIM19
Gene Symbol
PML
Additional PML Products
Product Documents for PML Protein Antibody - Azide and BSA Free
Product Specific Notices for PML Protein Antibody - Azide and BSA Free
This product is for research use only and is not approved for use in humans or in clinical diagnosis. Primary Antibodies are guaranteed for 1 year from date of receipt.
Loading...
Loading...
Loading...
Loading...