Skip to main content

PML Protein Antibody - BSA Free

Novus Biologicals, part of Bio-Techne | Catalog # NBP2-94515

Novus Biologicals, part of Bio-Techne
Catalog #
Availability
Size / Price
Qty
Loading...
NBP2-94515-0.02ml
NBP2-94515-0.1ml

Key Product Details

Species Reactivity

Human, Mouse, Rat

Applications

Immunohistochemistry, Immunohistochemistry-Paraffin, Western Blot

Label

Unconjugated

Antibody Source

Polyclonal Rabbit IgG

Format

BSA Free

Concentration

Please see the vial label for concentration. If unlisted please contact technical services.

Product Specifications

Immunogen

Recombinant fusion protein containing a sequence corresponding to amino acids 571-611 of human PML Protein (NP_150241.2). SSRELDDSSSESSDLQLEGPSTLRVLDENLADPQAEDRPLV

Clonality

Polyclonal

Host

Rabbit

Isotype

IgG

Description

Novus Biologicals Rabbit PML Protein Antibody - BSA Free (NBP2-94515) is a polyclonal antibody validated for use in IHC and WB. All Novus Biologicals antibodies are covered by our 100% guarantee.

Scientific Data Images for PML Protein Antibody - BSA Free

Western Blot: PML Protein AntibodyBSA Free [NBP2-94515]

Western Blot: PML Protein AntibodyBSA Free [NBP2-94515]

Western Blot: PML Protein Antibody [NBP2-94515] - Analysis of extracts of various cell lines, using PML Protein . Exposure time: 3min.
PML Protein Antibody - BSA Free

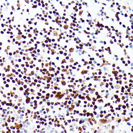
Immunohistochemistry: PML Protein Antibody - BSA Free [PML Protein] -

Immunohistochemistry: PML Protein Antibody - BSA Free [PML Protein] - Immunohistochemistry analysis of paraffin-embedded human appendix using PML Protein Rabbit pAb at dilution of 1:100 (40x lens).Perform microwave antigen retrieval with 10 mM PBS buffer pH 7.2 before commencing with IHC staining protocol.

Applications for PML Protein Antibody - BSA Free

Application
Recommended Usage

Immunohistochemistry

1:50 - 1:200

Immunohistochemistry-Paraffin

1:50 - 1:200

Western Blot

1:500-1:2000

Formulation, Preparation, and Storage

Purification

Affinity purified

Formulation

PBS (pH 7.3), 50% glycerol

Format

BSA Free

Preservative

0.02% Sodium Azide

Concentration

Please see the vial label for concentration. If unlisted please contact technical services.

Shipping

The product is shipped with polar packs. Upon receipt, store it immediately at the temperature recommended below.

Stability & Storage

Store at -20C. Avoid freeze-thaw cycles.

Background: PML

PML Protein is encoded by this gene is a member of the tripartite motif (TRIM) family. The TRIM motif includes three zinc-binding domains, a RING, a B-box type 1 and a B-box type 2, and a coiled-coil region. This phosphoprotein localizes to nuclear bodies where it functions as a transcription factor and tumor suppressor. Its expression is cell-cycle related and it regulates the p53 response to oncogenic signals. The gene is often involved in the translocation with the retinoic acid receptor alpha gene associated with acute promyelocytic leukemia (APL). Extensive alternative splicing of this gene results in several variations of the protein's central and C-terminal regions; all variants encode the same N-terminus. Alternatively spliced transcript variants encoding different isoforms have been identified.

Long Name

Promyelocytic Leukemia

Alternate Names

MYL, RNF71, TRIM19

Gene Symbol

PML

Additional PML Products

Product Documents for PML Protein Antibody - BSA Free

Certificate of Analysis

To download a Certificate of Analysis, please enter a lot number in the search box below.

Product Specific Notices for PML Protein Antibody - BSA Free

This product is for research use only and is not approved for use in humans or in clinical diagnosis. Primary Antibodies are guaranteed for 1 year from date of receipt.

Loading...
Loading...
Loading...
Loading...