Skip to main content

PLOD3 Antibody - BSA Free

Novus Biologicals, part of Bio-Techne | Catalog # NBP1-81307

Novus Biologicals, part of Bio-Techne
Catalog #
Availability
Size / Price
Qty
Loading...
NBP1-81307

Key Product Details

Validated by

Orthogonal Validation

Species Reactivity

Validated:

Human

Predicted:

Mouse (92%), Rat (93%). Backed by our 100% Guarantee.

Applications

Immunohistochemistry, Immunohistochemistry-Paraffin, Western Blot

Label

Unconjugated

Antibody Source

Polyclonal Rabbit IgG

Format

BSA Free

Concentration

Concentrations vary lot to lot. See vial label for concentration. If unlisted please contact technical services.

Product Specifications

Immunogen

This antibody was developed against Recombinant Protein corresponding to amino acids: FDRNRVRIRNVAYDTLPIVVHGNGPTKLQLNYLGNYVPNGWTPEGGCGFCNQDRRTLPGGQPPPRVFLAVFVEQPTPFLPRFLQRLLLLDYPPDRVTLFLHNNEVFHEPHIADSWPQLQDHFSAVKLVGPEEAL

Clonality

Polyclonal

Host

Rabbit

Isotype

IgG

Description

Novus Biologicals Rabbit PLOD3 Antibody - BSA Free (NBP1-81307) is a polyclonal antibody validated for use in IHC and WB. All Novus Biologicals antibodies are covered by our 100% guarantee.

Scientific Data Images for PLOD3 Antibody - BSA Free

Western Blot: PLOD3 Antibody [NBP1-81307]

Western Blot: PLOD3 Antibody [NBP1-81307]

Western Blot: PLOD3 Antibody [NBP1-81307] - Analysis in human cell lines SK-MEL-30 and HEK293 using Anti-PLOD3 antibody. Corresponding PLOD3 RNA-seq data are presented for the same cell lines. Loading control: Anti-PFN1.
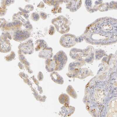
Immunohistochemistry-Paraffin: PLOD3 Antibody [NBP1-81307]

Immunohistochemistry-Paraffin: PLOD3 Antibody [NBP1-81307]

Immunohistochemistry-Paraffin: PLOD3 Antibody [NBP1-81307] - Staining of human placenta shows weak to moderate cytoplasmic positivity in trophoblastic cells.
Immunohistochemistry-Paraffin: PLOD3 Antibody [NBP1-81307]

Immunohistochemistry-Paraffin: PLOD3 Antibody [NBP1-81307]

Immunohistochemistry-Paraffin: PLOD3 Antibody [NBP1-81307] - Staining of human appendix shows weak to moderate cytoplasmic positivity in glandular cells.

Applications for PLOD3 Antibody - BSA Free

Application
Recommended Usage

Immunohistochemistry

1:50 - 1:200

Immunohistochemistry-Paraffin

1:50 - 1:200

Western Blot

0.04-0.4 ug/ml
Application Notes
For IHC-Paraffin, HIER pH 6 retrieval is recommended.

Formulation, Preparation, and Storage

Purification

Affinity purified

Formulation

PBS (pH 7.2) and 40% Glycerol

Format

BSA Free

Preservative

0.02% Sodium Azide

Concentration

Concentrations vary lot to lot. See vial label for concentration. If unlisted please contact technical services.

Shipping

The product is shipped with polar packs. Upon receipt, store it immediately at the temperature recommended below.

Stability & Storage

Store at 4C short term. Aliquot and store at -20C long term. Avoid freeze-thaw cycles.

Background: PLOD3

PLOD3 is encoded by this gene is a membrane-bound homodimeric enzyme that is localized to the cisternae of the rough endoplasmic reticulum. The enzyme (cofactors iron and ascorbate) catalyzes the hydroxylation of lysyl residues in collagen-like peptides. The resultant hydroxylysyl groups are attachment sites for carbohydrates in collagen and thus are critical for the stability of intermolecular crosslinks. Some patients with Ehlers-Danlos syndrome type VIB have deficiencies in lysyl hydroxylase activity. [provided by RefSeq]

Alternate Names

2-oxoglutarate 5-dioxygenase 3, EC 1.14.11.4, LH3Lysyl hydroxylase 3, lysine hydroxylase 3, procollagen-lysine, procollagen-lysine, 2-oxoglutarate 5-dioxygenase 3

Gene Symbol

PLOD3

Additional PLOD3 Products

Product Documents for PLOD3 Antibody - BSA Free

Certificate of Analysis

To download a Certificate of Analysis, please enter a lot number in the search box below.

Product Specific Notices for PLOD3 Antibody - BSA Free

This product is for research use only and is not approved for use in humans or in clinical diagnosis. Primary Antibodies are guaranteed for 1 year from date of receipt.

Loading...
Loading...
Loading...
Loading...