PLK1 Antibody
Novus Biologicals, part of Bio-Techne | Catalog # NB100-56651
Key Product Details
Species Reactivity
Validated:
Human
Cited:
Human
Predicted:
Bovine (99%), Mouse (97%), Rat (98%). Backed by our 100% Guarantee.
Applications
Validated:
Immunohistochemistry, Immunohistochemistry-Paraffin, Western Blot, Immunocytochemistry/ Immunofluorescence
Cited:
Western Blot, Immunofluorescence
Label
Unconjugated
Antibody Source
Polyclonal Rabbit IgG
Concentration
This product is unpurified. The exact concentration of antibody is not quantifiable.
Product Specifications
Immunogen
A portion of amino acids 100-200 of human PLK1 was used as the immunogen.
Reactivity Notes
Immunogen displays the following percentage of sequence identity for non-tested species: Xenopus (87%).
Marker
Mitosis Marker
Clonality
Polyclonal
Host
Rabbit
Isotype
IgG
Scientific Data Images for PLK1 Antibody
Western Blot: PLK1 Antibody [NB100-56651]
Western Blot: PLK1 Antibody [NB100-56651] - Analysis of HCT-116 lysate using PLK1 antibody at 1:2000.Immunohistochemistry-Paraffin: PLK1 Antibody [NB100-56651]
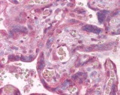
Immunohistochemistry-Paraffin: PLK1 Antibody [NB100-56651] - Analysis of human placenta using PLK1 antibody at 1:100.Applications for PLK1 Antibody
Application
Recommended Usage
Immunocytochemistry/ Immunofluorescence
reported in scientific literature (PMID 28474672)
Western Blot
1:1000-1:2000
Formulation, Preparation, and Storage
Purification
Unpurified
Formulation
Whole antisera with PBS and 0.05% BSA
Preservative
0.05% Sodium Azide
Concentration
This product is unpurified. The exact concentration of antibody is not quantifiable.
Shipping
The product is shipped with polar packs. Upon receipt, store it immediately at the temperature recommended below.
Stability & Storage
Store at 4C short term. Aliquot and store at -20C long term. Avoid freeze-thaw cycles.
Background: PLK1
Long Name
Polo-like Kinase 1
Alternate Names
STPK13
Gene Symbol
PLK1
UniProt
Additional PLK1 Products
Product Documents for PLK1 Antibody
Product Specific Notices for PLK1 Antibody
This product is for research use only and is not approved for use in humans or in clinical diagnosis. Primary Antibodies are guaranteed for 1 year from date of receipt.
Loading...
Loading...
Loading...
Loading...