Skip to main content

PLK1 Antibody (3C11) - BSA Free

Novus Biologicals, part of Bio-Techne | Catalog # NBP2-22196

Novus Biologicals, part of Bio-Techne
Catalog #
Availability
Size / Price
Qty
Loading...
NBP2-22196
NBP2-22196-0.025ml

Key Product Details

Species Reactivity

Human, Mouse

Applications

CyTOF-ready, ELISA, Flow Cytometry, Immunohistochemistry, Immunohistochemistry-Paraffin, Western Blot

Label

Unconjugated

Antibody Source

Monoclonal Mouse IgG1 Clone # 3C11

Format

BSA Free

Concentration

1 mg/ml

Product Specifications

Immunogen

Purified recombinant fragment of human PLK1 (AA: 331-508) expressed in E. Coli.

Reactivity Notes

Please note that this antibody is reactive to Mouse and derived from the same host, Mouse. Additional Mouse on Mouse blocking steps may be required for IHC and ICC experiments. Please contact Technical Support for more information.

Localization

Nucleus, Cytoplasm

Marker

Mitosis Marker

Clonality

Monoclonal

Host

Mouse

Isotype

IgG1

Theoretical MW

68 kDa.
Disclaimer note: The observed molecular weight of the protein may vary from the listed predicted molecular weight due to post translational modifications, post translation cleavages, relative charges, and other experimental factors.

Description

Novus Biologicals Mouse PLK1 Antibody (3C11) - BSA Free (NBP2-22196) is a monoclonal antibody validated for use in IHC, WB, ELISA and Flow. All Novus Biologicals antibodies are covered by our 100% guarantee.

Scientific Data Images for PLK1 Antibody (3C11) - BSA Free

Western Blot: PLK1 Antibody (3C11)BSA Free [NBP2-22196]

Western Blot: PLK1 Antibody (3C11)BSA Free [NBP2-22196]

Western Blot: PLK1 Antibody (3C11) [NBP2-22196] - Western blot analysis using PLK1 mouse mAb against K562 (1) and Raji (2) cell lysate.
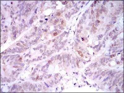
Immunohistochemistry-Paraffin: PLK1 Antibody (3C11) - BSA Free [NBP2-22196]

Immunohistochemistry-Paraffin: PLK1 Antibody (3C11) - BSA Free [NBP2-22196]

Immunohistochemistry-Paraffin: PLK1 Antibody (3C11) [NBP2-22196] - Immunohistochemical analysis of paraffin-embedded stomach cancer tissues using PLK1 mouse mAb with DAB staining.
Flow Cytometry: PLK1 Antibody (3C11) - BSA Free [NBP2-22196]

Flow Cytometry: PLK1 Antibody (3C11) - BSA Free [NBP2-22196]

Flow Cytometry: PLK1 Antibody (3C11) [NBP2-22196] - Flow cytometric analysis of NIH3T3 cells using PLK1 mouse mAb (green) and negative control (red).

Applications for PLK1 Antibody (3C11) - BSA Free

Application
Recommended Usage

ELISA

1:10000

Flow Cytometry

1:200-1:400

Immunohistochemistry

1:10-1:500

Immunohistochemistry-Paraffin

1:200-1:1000

Western Blot

1:500-1:2000
Application Notes
This antibody is Cytof ready.

Formulation, Preparation, and Storage

Purification

Protein G purified

Formulation

PBS

Format

BSA Free

Preservative

0.05% Sodium Azide

Concentration

1 mg/ml

Shipping

The product is shipped with polar packs. Upon receipt, store it immediately at the temperature recommended below.

Stability & Storage

Store at 4C short term. Aliquot and store at -20C long term. Avoid freeze-thaw cycles.

Background: PLK1

Polo-like kinase 1 (Plk1) plays key roles in many aspects of mitosis. Suppression of Plk1 by p21(Waf1) is responsible for p53-dependent protection against adriamycin-induced caspase-independent mitotic death.

Long Name

Polo-like Kinase 1

Alternate Names

STPK13

Gene Symbol

PLK1

Additional PLK1 Products

Product Documents for PLK1 Antibody (3C11) - BSA Free

Certificate of Analysis

To download a Certificate of Analysis, please enter a lot number in the search box below.

Product Specific Notices for PLK1 Antibody (3C11) - BSA Free

This product is for research use only and is not approved for use in humans or in clinical diagnosis. Primary Antibodies are guaranteed for 1 year from date of receipt.

Loading...
Loading...
Loading...
Loading...
Loading...