Skip to main content

PLGF Antibody (JA63-15)

Novus Biologicals, part of Bio-Techne | Catalog # NBP2-67067

Recombinant Monoclonal Antibody.
Novus Biologicals, part of Bio-Techne
Catalog #
Availability
Size / Price
Qty
Loading...
NBP2-67067

Key Product Details

Species Reactivity

Human, Mouse, Rat

Applications

Immunohistochemistry, Immunohistochemistry-Paraffin, Western Blot, Immunocytochemistry/ Immunofluorescence

Label

Unconjugated

Antibody Source

Recombinant Monoclonal Rabbit IgG Clone # JA63-15 expressed in HEK293

Concentration

1 mg/ml

Product Specifications

Immunogen

Synthetic peptide within Human PLGF aa 48-97 / 221. (SwissProt: P49763 Human; SwissProt: P49764 Mouse; SwissProt: Q63434 Rat)

Localization

Secreted.

Clonality

Monoclonal

Host

Rabbit

Isotype

IgG

Description

Novus Biologicals Rabbit PLGF Antibody (JA63-15) (NBP2-67067) is a recombinant monoclonal antibody validated for use in IHC, WB and ICC/IF. Anti-PLGF Antibody: Cited in 3 publications. All Novus Biologicals antibodies are covered by our 100% guarantee.

Scientific Data Images for PLGF Antibody (JA63-15)

Western Blot: PLGF Antibody (JA63-15) [NBP2-67067]

Western Blot: PLGF Antibody (JA63-15) [NBP2-67067]

Western Blot: PLGF Antibody (JA63-15) [NBP2-67067] - Western blot analysis of PLGF on JAR cell lysates. Proteins were transferred to a PVDF membrane and blocked with 5% BSA in PBS for 1 hour at room temperature. The primary antibody (1/500) was used in 5% BSA at room temperature for 2 hours. Goat Anti-Rabbit IgG - HRP Secondary Antibody (HA1001) at 1:200,000 dilution was used for 1 hour at room temperature.
Immunocytochemistry/ Immunofluorescence: PLGF Antibody (JA63-15) [NBP2-67067]

Immunocytochemistry/ Immunofluorescence: PLGF Antibody (JA63-15) [NBP2-67067]

Immunocytochemistry/Immunofluorescence: PLGF Antibody (JA63-15) [NBP2-67067] - Staining PLGF in MCF-7 cells (green). The nuclear counter stain is DAPI (blue). Cells were fixed in paraformaldehyde, permeabilised with 0.25% Triton X100/PBS.
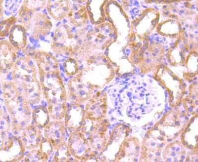
Immunohistochemistry-Paraffin: PLGF Antibody (JA63-15) [NBP2-67067]

Immunohistochemistry-Paraffin: PLGF Antibody (JA63-15) [NBP2-67067]

Immunohistochemistry-Paraffin: PLGF Antibody (JA63-15) [NBP2-67067] - Analysis of paraffin-embedded rat kidney tissue using anti-PLGF antibody. Counter stained with hematoxylin.

Applications for PLGF Antibody (JA63-15)

Application
Recommended Usage

Immunocytochemistry/ Immunofluorescence

1:50-1:200

Immunohistochemistry-Paraffin

1:50-1:200

Western Blot

1:500-1:1000

Formulation, Preparation, and Storage

Purification

Protein A purified

Formulation

TBS (pH7.4), 0.05% BSA, 40% Glycerol

Preservative

0.05% Sodium Azide

Concentration

1 mg/ml

Shipping

The product is shipped with polar packs. Upon receipt, store it immediately at the temperature recommended below.

Stability & Storage

Store at 4C short term. Aliquot and store at -20C long term. Avoid freeze-thaw cycles.

Background: PlGF

PLGF is a growth factor active in angiogenesis, and endothelial cell growth, stimulating their proliferation and migration. It belongs to the cysteine-knot superfamily. PLGF is expressed in placental tissues, colon and mammary carcinomas. It signals through the VEGFR-1/FLT1 receptor.

Long Name

Placenta Growth Factor

Alternate Names

PGF, PGFL

Gene Symbol

PGF

Additional PlGF Products

Product Documents for PLGF Antibody (JA63-15)

Certificate of Analysis

To download a Certificate of Analysis, please enter a lot number in the search box below.

Product Specific Notices for PLGF Antibody (JA63-15)

This product is for research use only and is not approved for use in humans or in clinical diagnosis. Primary Antibodies are guaranteed for 1 year from date of receipt.

Loading...
Loading...
Loading...
Loading...
Loading...