Skip to main content

PLAP Antibody (8F0) - BSA Free

Novus Biologicals, part of Bio-Techne | Catalog # NBP3-43019

Novus Biologicals, part of Bio-Techne
Catalog #
Availability
Size / Price
Qty
Loading...
NBP3-43019

Key Product Details

Species Reactivity

Human, Mouse

Applications

Immunohistochemistry, Western Blot, ELISA

Label

Unconjugated

Antibody Source

Monoclonal Mouse IgG1 Clone # 8F0

Format

BSA Free

Concentration

Please see the vial label for concentration. If unlisted please contact technical services.

Product Specifications

Immunogen

phospholipase A2-activating protein - (Uniprot# Q9Y263)

Clonality

Monoclonal

Host

Mouse

Isotype

IgG1

Theoretical MW

80 kDa.
Disclaimer note: The observed molecular weight of the protein may vary from the listed predicted molecular weight due to post translational modifications, post translation cleavages, relative charges, and other experimental factors.

Description

Novus Biologicals Mouse PLAP Antibody (8F0) - BSA Free (NBP3-43019) is a monoclonal antibody validated for use in IHC, WB and ELISA. All Novus Biologicals antibodies are covered by our 100% guarantee.

Scientific Data Images for PLAP Antibody (8F0) - BSA Free

PLAP Antibody (8F0)

Western Blot: PLAP Antibody (8F0) [NBP3-43019] -

Western Blot: PLAP Antibody (8F0) [NBP3-43019] - ROS1728 cells were subjected to SDS PAGE followed by western blot with (PLAP Antibody) at dilution of 1:1000
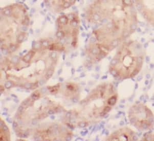
PLAP Antibody (8F0)

Immunohistochemistry: PLAP Antibody (8F0) [NBP3-43019] -

Immunohistochemistry: PLAP Antibody (8F0) [NBP3-43019] - Immunohistochemistry of paraffin-embedded human kidney tissue slide using (PLAP Antibody) at dilution of 1:200

Applications for PLAP Antibody (8F0) - BSA Free

Application
Recommended Usage

Immunohistochemistry

1:50 - 1:500

Western Blot

1:500 - 1:2000

Formulation, Preparation, and Storage

Purification

Protein A or G purified

Formulation

PBS (pH 7.3), 50% glycerol

Format

BSA Free

Preservative

0.02% Sodium Azide

Concentration

Please see the vial label for concentration. If unlisted please contact technical services.

Shipping

The product is shipped with polar packs. Upon receipt, store it immediately at the temperature recommended below.

Stability & Storage

Store at -20C. Avoid freeze-thaw cycles.

Background: PLAP

Phospholipase A2 activator protein (PLAP), activates PLA2 (phospholipase A2 enzyme) and is an important mediator of eicosanoid generation. Also known as a pro-inflammatory agent, PLAP has been found in inflamed tissues and synovial fluid from patients with rheumatoid arthritis. As such, it is believed to play an important role in the regulation of inflammatory diseases. The formation of PLAP can be stimulated by IL-1 beta and TNF-alpha (1-2).

Alternate Names

DOA1, FLJ12699, phospholipase A-2-activating protein, phospholipase A2-activating protein, PLAP

Gene Symbol

PLAA

Additional PLAP Products

Product Documents for PLAP Antibody (8F0) - BSA Free

Certificate of Analysis

To download a Certificate of Analysis, please enter a lot number in the search box below.

Product Specific Notices for PLAP Antibody (8F0) - BSA Free

This product is for research use only and is not approved for use in humans or in clinical diagnosis. Primary Antibodies are guaranteed for 1 year from date of receipt.

Loading...
Loading...
Loading...
Loading...