Skip to main content

PKR [p Thr446] Antibody (SY230)

Novus Biologicals, part of Bio-Techne | Catalog # NBP2-67426

Recombinant Monoclonal Antibody.
Novus Biologicals, part of Bio-Techne
Catalog #
Availability
Size / Price
Qty
Loading...
NBP2-67426

Key Product Details

Validated by

Biological Validation

Species Reactivity

Human

Applications

Immunohistochemistry, Immunohistochemistry-Paraffin, Western Blot, Immunocytochemistry/ Immunofluorescence, Immunoprecipitation, Chromatin Immunoprecipitation

Label

Unconjugated

Antibody Source

Recombinant Monoclonal Rabbit IgG Clone # SY230 expressed in HEK293

Concentration

1 mg/ml

Product Specifications

Immunogen

Synthetic phospho-peptide corresponding to residues surrounding Thr446 of Human PKR aa 421-470 / 551. (SwissProt: P19525 Human)

Modification

p Thr446

Localization

Cytoplasm, Nucleus.

Clonality

Monoclonal

Host

Rabbit

Isotype

IgG

Description

Novus Biologicals Rabbit PKR [p Thr446] Antibody (SY230) (NBP2-67426) is a recombinant monoclonal antibody validated for use in IHC, WB, ICC/IF, IP and ChIP. All Novus Biologicals antibodies are covered by our 100% guarantee.

Scientific Data Images for PKR [p Thr446] Antibody (SY230)

Western Blot: PKR [p Thr446] Antibody (SY230) [NBP2-67426] - Analysis of Phospho-PKR(T446) on different lysates using anti-Phospho-PKR(T446) antibody at 1/1,000 dilution. Positive control: Lane 1: Hela treated with Calyculin A and TNF-alpha whole cell lysates Lane 2: Untreated Hela whole cell lysates
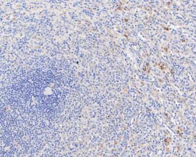
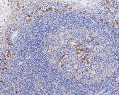
Immunohistochemistry-Paraffin: PKR [p Thr446] Antibody (SY230) [NBP2-67426] - Immunohistochemical analysis of paraffin-embedded human tonsil tissue using anti-PKR antibody. The section was pre-treated using heat mediated antigen retrieval with sodium citrate buffer (pH 6.0) for 20 minutes. The tissues were blocked in 5% BSA for 30 minutes at room temperature, washed with ddH2O and PBS, and then probed with the primary antibody (ET1607-20, 1/50) for 30 minutes at room temperature. The detection was performed using an HRP conjugated compact polymer system. DAB was used as the chromogen. Tissues were counterstained with hematoxylin and mounted with DPX.
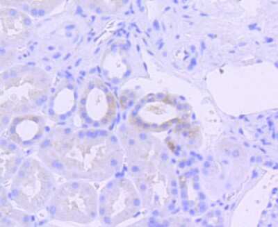
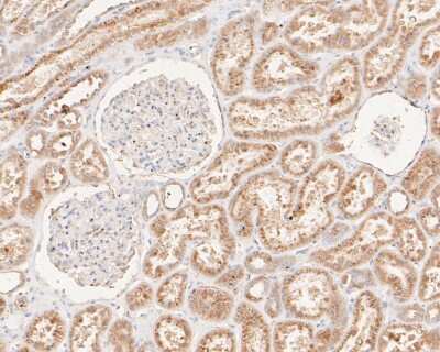
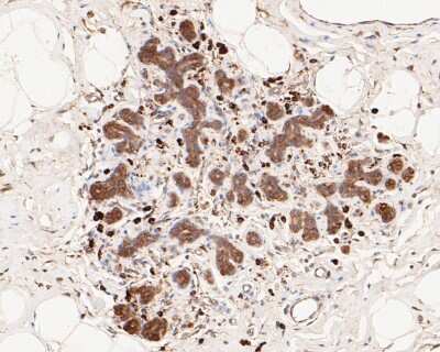
Immunohistochemistry-Paraffin: PKR [p Thr446] Antibody (SY230) [NBP2-67426] - Analysis of paraffin-embedded human kidney tissue using anti-Phospho-PKR(T446) antibody. Counter stained with hematoxylin.

Applications for PKR [p Thr446] Antibody (SY230)

Application
Recommended Usage

Immunocytochemistry/ Immunofluorescence

1:50

Immunohistochemistry-Paraffin

1:50-1:200

Western Blot

1:500-1:2000

Formulation, Preparation, and Storage

Purification

Protein A purified

Formulation

TBS (pH7.4), 0.05% BSA, 40% Glycerol

Preservative

0.05% Sodium Azide

Concentration

1 mg/ml

Shipping

The product is shipped with polar packs. Upon receipt, store it immediately at the temperature recommended below.

Stability & Storage

Store at 4C short term. Aliquot and store at -20C long term. Avoid freeze-thaw cycles.

Background: PKR

The protein encoded by this gene is a serine/threonine protein kinase that is activated by autophosphorylation after binding to dsRNA. The activated form of the encoded protein can phosphorylate translation initiation factor EIF2S1, which in turn inhibits protein synthesis. This protein is also activated by manganese ions and heparin. The encoded protein plays an important role in the innate immune response against multiple DNA and RNA viruses.

Long Name

Protein Kinase R

Alternate Names

EIF2AK2, P68 Kinase, PPP1R83, PRKR, Protein Kinase R

Gene Symbol

EIF2AK2

Additional PKR Products

Product Documents for PKR [p Thr446] Antibody (SY230)

Certificate of Analysis

To download a Certificate of Analysis, please enter a lot number in the search box below.

Product Specific Notices for PKR [p Thr446] Antibody (SY230)

This product is for research use only and is not approved for use in humans or in clinical diagnosis. Primary Antibodies are guaranteed for 1 year from date of receipt.

Loading...
Loading...
Loading...
Loading...