Skip to main content

PKR [p Thr446] Antibody (SR2125) - BSA Free

Novus Biologicals, part of Bio-Techne | Catalog # NBP3-21521

Recombinant Monoclonal Antibody
Novus Biologicals, part of Bio-Techne
Catalog #
Availability
Size / Price
Qty
Loading...
NBP3-21521-50ul
NBP3-21521-100ul

Key Product Details

Validated by

Biological Validation

Species Reactivity

Human

Applications

Immunohistochemistry, Western Blot, Immunoprecipitation, Chromatin Immunoprecipitation (ChIP)

Label

Unconjugated

Antibody Source

Recombinant Monoclonal Rabbit IgG Clone # SR2125 expressed in HEK293

Format

BSA Free

Concentration

Please see the vial label for concentration. If unlisted please contact technical services.

Product Specifications

Immunogen

A synthesized peptide derived from human phospho-PKR [Thr446] (Uniprot #: P19525)

Modification

p Thr 446

Specificity

Detects endogenous levels of total phospho-PKR [Thr446]

Clonality

Monoclonal

Host

Rabbit

Isotype

IgG

Theoretical MW

68 kDa.
Disclaimer note: The observed molecular weight of the protein may vary from the listed predicted molecular weight due to post translational modifications, post translation cleavages, relative charges, and other experimental factors.

Description

Novus Biologicals Rabbit PKR [p Thr446] Antibody (SR2125) - BSA Free (NBP3-21521) is a recombinant monoclonal antibody validated for use in IHC, WB, IP and ChIP. All Novus Biologicals antibodies are covered by our 100% guarantee.

Scientific Data Images for PKR [p Thr446] Antibody (SR2125) - BSA Free

Western Blot: PKR [p Thr 446] Antibody (SR2125) [NBP3-21521] -

Western Blot: PKR [p Thr 446] Antibody (SR2125) [NBP3-21521] - Western blot analysis using NBP3-21521 in HeLa cell lysate treated with Calyculin A and TNF-alpha.

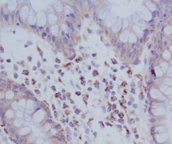
Immunohistochemistry: PKR [p Thr 446] Antibody (SR2125) [NBP3-21521] -

Immunohistochemistry: PKR [p Thr 446] Antibody (SR2125) [NBP3-21521] - Immunohistochemical analysis of paraffin-embedded human colon, using NBP3-21521.

Applications for PKR [p Thr446] Antibody (SR2125) - BSA Free

Application
Recommended Usage

Immunohistochemistry

1:50-1:200

Immunoprecipitation

1:50

Western Blot

1:500-1:2000

Formulation, Preparation, and Storage

Purification

Affinity purified

Formulation

PBS, pH 7.4, 150mM NaCl, 50% glycerol.

Format

BSA Free

Preservative

0.02% Sodium Azide

Concentration

Please see the vial label for concentration. If unlisted please contact technical services.

Shipping

The product is shipped with polar packs. Upon receipt, store it immediately at the temperature recommended below.

Stability & Storage

Store at 4C short term. Aliquot and store at -20C long term. Avoid freeze-thaw cycles.

Background: PKR

The protein encoded by this gene is a serine/threonine protein kinase that is activated by autophosphorylation after binding to dsRNA. The activated form of the encoded protein can phosphorylate translation initiation factor EIF2S1, which in turn inhibits protein synthesis. This protein is also activated by manganese ions and heparin. The encoded protein plays an important role in the innate immune response against multiple DNA and RNA viruses.

Long Name

Protein Kinase R

Alternate Names

EIF2AK2, P68 Kinase, PPP1R83, PRKR, Protein Kinase R

Gene Symbol

EIF2AK2

Additional PKR Products

Product Documents for PKR [p Thr446] Antibody (SR2125) - BSA Free

Certificate of Analysis

To download a Certificate of Analysis, please enter a lot number in the search box below.

Product Specific Notices for PKR [p Thr446] Antibody (SR2125) - BSA Free

This product is for research use only and is not approved for use in humans or in clinical diagnosis. Primary Antibodies are guaranteed for 1 year from date of receipt.

Loading...
Loading...
Loading...
Loading...