Skip to main content

PKR [p Thr446] Antibody (2F8) - BSA Free

Novus Biologicals, part of Bio-Techne | Catalog # NBP3-15204

Recombinant monoclonal antibody expressed in HEK293F cells
Novus Biologicals, part of Bio-Techne
Catalog #
Availability
Size / Price
Qty
Loading...
NBP3-15204

Key Product Details

Validated by

Biological Validation

Species Reactivity

Human

Applications

Immunohistochemistry, Western Blot, ELISA, Immunocytochemistry/ Immunofluorescence

Label

Unconjugated

Antibody Source

Recombinant Monoclonal Rabbit IgG Clone # 2F8 expressed in HEK293

Format

BSA Free

Concentration

Please see the vial label for concentration. If unlisted please contact technical services.

Product Specifications

Immunogen

A synthesized peptide derived from human Phospho-PKR (T446). UniProt ID (P19525).

Modification

p Thr446

Clonality

Monoclonal

Host

Rabbit

Isotype

IgG

Description

Novus Biologicals Rabbit PKR [p Thr446] Antibody (2F8) - BSA Free (NBP3-15204) is a recombinant monoclonal antibody validated for use in IHC, WB, ELISA and ICC/IF. All Novus Biologicals antibodies are covered by our 100% guarantee.

Scientific Data Images for PKR [p Thr446] Antibody (2F8) - BSA Free

Western Blot: PKR [p Thr449] Antibody (2F8) [NBP3-15204] - Positive WB detected in Hela whole cell lysate (treated with Calyculin A or not). All lanes PKR antibody at 1.25ug/ml. Secondary: Goat polyclonal to rabbit IgG at 1/50000 dilution. Predicted band size: 62 KDa. Observed band size: 62 KDa.
Immunocytochemistry/Immunofluorescence: PKR [p Thr449] Antibody (2F8) [NBP3-15204] - Immunofluorescence staining of Hela cells (treated with 50mM Calyculin A for 30 minutes) with at PKR antibody 1:100,counter-stained with DAPI. The cells were fixed in 4% formaldehyde, permeabilized using 0.2% Triton X-100 and blocked in 10% normal Goat Serum. The cells were then incubated with the antibody overnight at 4C. The secondary antibody was Alexa Fluor 488-congugated Goat Anti-Rabbit IgG (H+L).
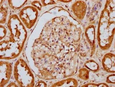
Immunohistochemistry: PKR [p Thr449] Antibody (2F8) [NBP3-15204] - IHC image of PKR antibody diluted at 1:100 and staining in paraffin-embedded human kidney tissue. After dewaxing and hydration, antigen retrieval was mediated by high pressure in a citrate buffer (pH 6.0). Section was blocked with 10% normal goat serum 30 minutes at RT. Then primary antibody (1% BSA) was incubated at 4C overnight. The primary is detected by a biotinylated secondary antibody and visualized using an HRP conjugated SP system.

Applications for PKR [p Thr446] Antibody (2F8) - BSA Free

Application
Recommended Usage

Immunohistochemistry

1:50-1:200

Western Blot

1:500-1:5000

Formulation, Preparation, and Storage

Purification

Affinity purified

Formulation

PBS, pH 7.4, 150mM NaCl, and 50% glycerol

Format

BSA Free

Preservative

0.02% Sodium Azide

Concentration

Please see the vial label for concentration. If unlisted please contact technical services.

Shipping

The product is shipped with polar packs. Upon receipt, store it immediately at the temperature recommended below.

Stability & Storage

Store at -20 to -70C. Avoid freeze-thaw cycles.

Background: PKR

The protein encoded by this gene is a serine/threonine protein kinase that is activated by autophosphorylation after binding to dsRNA. The activated form of the encoded protein can phosphorylate translation initiation factor EIF2S1, which in turn inhibits protein synthesis. This protein is also activated by manganese ions and heparin. The encoded protein plays an important role in the innate immune response against multiple DNA and RNA viruses.

Long Name

Protein Kinase R

Alternate Names

EIF2AK2, P68 Kinase, PPP1R83, PRKR, Protein Kinase R

Gene Symbol

EIF2AK2

Additional PKR Products

Product Documents for PKR [p Thr446] Antibody (2F8) - BSA Free

Certificate of Analysis

To download a Certificate of Analysis, please enter a lot number in the search box below.

Product Specific Notices for PKR [p Thr446] Antibody (2F8) - BSA Free

This product is for research use only and is not approved for use in humans or in clinical diagnosis. Primary Antibodies are guaranteed for 1 year from date of receipt.

Loading...
Loading...
Loading...
Loading...