Skip to main content

PKC delta [p Ser645] Antibody - BSA Free

Novus Biologicals, part of Bio-Techne | Catalog # NB100-82141

Novus Biologicals, part of Bio-Techne
Catalog #
Availability
Size / Price
Qty
Loading...
NB100-82141
NB100-82141-0.025ml

Key Product Details

Validated by

Biological Validation

Species Reactivity

Human, Rat

Applications

Immunohistochemistry, Immunohistochemistry-Paraffin, Western Blot

Label

Unconjugated

Antibody Source

Polyclonal Rabbit IgG

Format

BSA Free

Concentration

1.0 mg/ml

Product Specifications

Immunogen

The antiserum was produced against synthesized phosphopeptide derived from human PKC delta around the phosphorylation site of serine 645 (R-L-SP-Y-S).

Modification

p Ser645

Specificity

Detects endogenous levels of PKC delta only when phosphorylated at serine 645.

Clonality

Polyclonal

Host

Rabbit

Isotype

IgG

Theoretical MW

77 kDa.
Disclaimer note: The observed molecular weight of the protein may vary from the listed predicted molecular weight due to post translational modifications, post translation cleavages, relative charges, and other experimental factors.

Description

Novus Biologicals Rabbit PKC delta [p Ser645] Antibody - BSA Free (NB100-82141) is a polyclonal antibody validated for use in IHC and WB. All Novus Biologicals antibodies are covered by our 100% guarantee.

Scientific Data Images for PKC delta [p Ser645] Antibody - BSA Free

Western Blot: PKC delta [p Ser645] Antibody [NB100-82141]

Western Blot: PKC delta [p Ser645] Antibody [NB100-82141]

Western Blot: PKC delta [p Ser645] Antibody [NB100-82141] - Analysis of extracts from PC12 cells untreated or treated with PMA using PKCd(Phospho-Ser645) antibody.
PKC delta [p Ser645] Antibody - BSA Free

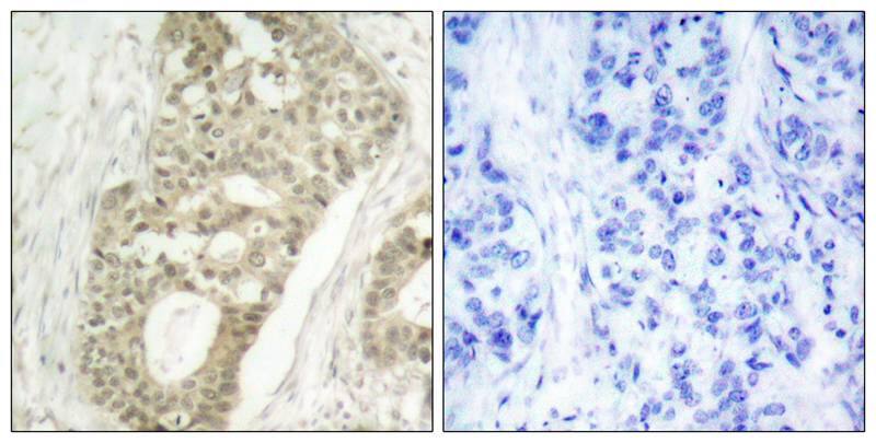
Immunohistochemistry-Paraffin: PKC delta [p Ser645] Antibody [NB100-82141] -

Immunohistochemistry-Paraffin: PKC delta [p Ser645] Antibody [NB100-82141] - Immunohistochemical analysis of paraffin-embedded human breast carcinoma tissue using NB100-82141(left) or the same antibody preincubated with blocking peptide(right).

Applications for PKC delta [p Ser645] Antibody - BSA Free

Application
Recommended Usage

Immunohistochemistry

1:50-1:100

Immunohistochemistry-Paraffin

1:50-1:100

Western Blot

1:500-1:1000

Formulation, Preparation, and Storage

Purification

Immunogen affinity purified

Formulation

PBS (without Mg2+ and Ca2+), pH 7.4, 150 mM NaCl, 50% glycerol

Format

BSA Free

Preservative

0.02% Sodium Azide

Concentration

1.0 mg/ml

Shipping

The product is shipped with polar packs. Upon receipt, store it immediately at the temperature recommended below.

Stability & Storage

Store at 4C short term. Aliquot and store at -20C long term. Avoid freeze-thaw cycles.

Background: PKC delta

Protein Kinase C delta (PKC delta) is a 78 kDa member of the novel group (nPKCs: sensitive to diacylglycerol, phosphatidylserine, and phorbol esters) of the PKC family of serine/threonine kinases that are involved in a wide range of physiological processes including mitogenesis, cell survival and transcriptional regulation. PKC delta is an ubiquitously expressed PKC isozyme that has been implicated in the regulation of multiple cellular processes including cell cycle progression and apoptosis. Autophosphorylation of serine 664 (serine 662 in mouse and rat) contributes to PKC delta activity. Serum dependent phosphorylation of serine 664 is mediated by mTOR pathway, is protected from dephosphorylation by phosphorylated threonine 505 in the activation loop, and is implicated in prolactin signaling.

Long Name

Protein Kinase C delta

Alternate Names

PRKCD, pPKCY

Entrez Gene IDs

5580 (Human); 170538 (Rat)

Gene Symbol

PRKCD

UniProt

Additional PKC delta Products

Product Documents for PKC delta [p Ser645] Antibody - BSA Free

Certificate of Analysis

To download a Certificate of Analysis, please enter a lot number in the search box below.

Product Specific Notices for PKC delta [p Ser645] Antibody - BSA Free

This product is for research use only and is not approved for use in humans or in clinical diagnosis. Primary Antibodies are guaranteed for 1 year from date of receipt.

Loading...
Loading...
Loading...
Loading...