Skip to main content

PKC beta 1 Antibody (SR3633) - BSA Free

Novus Biologicals, part of Bio-Techne | Catalog # NBP3-27793

Recombinant Monoclonal Antibody
Novus Biologicals, part of Bio-Techne
Catalog #
Availability
Size / Price
Qty
Loading...
NBP3-27793-100ul
NBP3-27793-50ul

Key Product Details

Species Reactivity

Human, Mouse, Rat

Applications

Immunohistochemistry, Western Blot, Flow Cytometry, Immunocytochemistry/ Immunofluorescence

Label

Unconjugated

Antibody Source

Recombinant Monoclonal Rabbit IgG Clone # SR3633 expressed in HEK293

Format

BSA Free

Concentration

Please see the vial label for concentration. If unlisted please contact technical services.

Product Specifications

Immunogen

A synthesized peptide derived from human PKC beta 1 (Uniprot #: P05771)

Specificity

Detects endogenous levels of total PKC beta 1

Clonality

Monoclonal

Host

Rabbit

Isotype

IgG

Description

Novus Biologicals Rabbit PKC beta 1 Antibody (SR3633) - BSA Free (NBP3-27793) is a recombinant monoclonal antibody validated for use in IHC, WB, Flow and ICC/IF. All Novus Biologicals antibodies are covered by our 100% guarantee.

Scientific Data Images for PKC beta 1 Antibody (SR3633) - BSA Free

Western Blot: PKC beta 1 Antibody (SR3633) [NBP3-27793] -

Western Blot: PKC beta 1 Antibody (SR3633) [NBP3-27793] - Western blot analysis of PKC beta 1 expression in (1) HeLa cell lysate; (2) NIH/3T3 cell lysate.

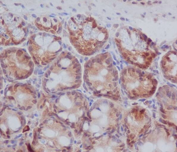
Immunohistochemistry-Paraffin: PKC beta 1 Antibody (SR3633) [NBP3-27793] -

Immunohistochemistry-Paraffin: PKC beta 1 Antibody (SR3633) [NBP3-27793] - Immunohistochemical analysis of paraffin-embedded mouse colon

Applications for PKC beta 1 Antibody (SR3633) - BSA Free

Application
Recommended Usage

Flow Cytometry

1:100

Immunocytochemistry/ Immunofluorescence

1:50-1:200

Immunohistochemistry

1:50-1:200

Western Blot

1:500-1:2000

Formulation, Preparation, and Storage

Purification

Affinity purified

Formulation

PBS (pH 7.4), 150mM NaCl, 50% glycerol

Format

BSA Free

Preservative

0.02% Sodium Azide

Concentration

Please see the vial label for concentration. If unlisted please contact technical services.

Shipping

The product is shipped with polar packs. Upon receipt, store it immediately at the temperature recommended below.

Stability & Storage

Store at 4C short term. Aliquot and store at -20C long term. Avoid freeze-thaw cycles.

Background: PKC beta 1

Protein Kinase C (PKC) beta 1 is a member of the PKC family of serine/threonine protein kinases. It is 671 amino acids (aa) in length with a predicted molecular mass of 77 kDa. Human PKC beta 1 shares 98% aa sequence identity with the mouse and rat orthologs. A second PKC beta splice variant, PKC beta 2, contains an alternate C-terminal sequence. Conventional PKC isoforms, including PKC beta 1, require calcium and phosphatidylserine, diacylglycerol (DAG), or exogenous phorbol esters for activation. PKC beta 1 plays a role in B cell receptor signaling and histone demethylation.

Long Name

Protein Kinase C beta 1

Alternate Names

PRKCB, PRKCB1, PRKCB2

Gene Symbol

PRKCB

Additional PKC beta 1 Products

Product Documents for PKC beta 1 Antibody (SR3633) - BSA Free

Certificate of Analysis

To download a Certificate of Analysis, please enter a lot number in the search box below.

Product Specific Notices for PKC beta 1 Antibody (SR3633) - BSA Free

This product is for research use only and is not approved for use in humans or in clinical diagnosis. Primary Antibodies are guaranteed for 1 year from date of receipt.

Loading...
Loading...
Loading...
Loading...
Loading...