Skip to main content

PIWIL1/HIWI Antibody - BSA Free

Novus Biologicals, part of Bio-Techne | Catalog # NBP3-17007

Novus Biologicals, part of Bio-Techne
Catalog #
Availability
Size / Price
Qty
Loading...
NBP3-17007-100ul
NBP3-17007-25ul

Key Product Details

Species Reactivity

Validated:

Human

Predicted:

Mouse (98%), Rat (98%). Backed by our 100% Guarantee.

Applications

Immunohistochemistry, Immunohistochemistry-Paraffin

Label

Unconjugated

Antibody Source

Polyclonal Rabbit IgG

Format

BSA Free

Concentration

Concentrations vary lot to lot. See vial label for concentration. If unlisted please contact technical services.

Product Specifications

Immunogen

This antibody was developed against Recombinant Protein corresponding to amino acids: DLAVHTRLTPEQRQREVGRLIDYIHKNDNVQRELRDWGLSFDSNLLSFSGRILQTEKIHQGGKTFDYNPQFADWSKETRGAPLISVKPL

Clonality

Polyclonal

Host

Rabbit

Isotype

IgG

Description

Novus Biologicals Rabbit PIWIL1/HIWI Antibody - BSA Free (NBP3-17007) is a polyclonal antibody validated for use in IHC. All Novus Biologicals antibodies are covered by our 100% guarantee.

Scientific Data Images for PIWIL1/HIWI Antibody - BSA Free

Immunocytochemistry/ Immunofluorescence: PIWIL1/HIWI Antibody [NBP3-17007]

Immunocytochemistry/ Immunofluorescence: PIWIL1/HIWI Antibody [NBP3-17007]

Immunocytochemistry/Immunofluorescence: PIWIL1/HIWI Antibody [NBP3-17007] - Analysis in human testis and endometrium tissues using Anti-PIWIL1 antibody. Corresponding PIWIL1 RNA-seq data are presented for the same tissues.
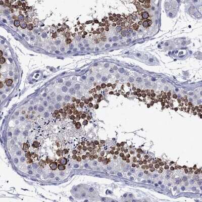
Immunohistochemistry-Paraffin: PIWIL1/HIWI Antibody [NBP3-17007]

Immunohistochemistry-Paraffin: PIWIL1/HIWI Antibody [NBP3-17007]

Immunohistochemistry-Paraffin: PIWIL1/HIWI Antibody [NBP3-17007] - Staining of human endometrium shows low expression as expected.
Immunohistochemistry-Paraffin: PIWIL1/HIWI Antibody [NBP3-17007]

Immunohistochemistry-Paraffin: PIWIL1/HIWI Antibody [NBP3-17007]

Immunohistochemistry-Paraffin: PIWIL1/HIWI Antibody [NBP3-17007] - Staining of human testis shows high expression.

Applications for PIWIL1/HIWI Antibody - BSA Free

Application
Recommended Usage

Immunohistochemistry

1:500 - 1:1000

Immunohistochemistry-Paraffin

1:500 - 1:1000
Application Notes
For IHC-Paraffin, HIER pH 6 retrieval is recommended.

Formulation, Preparation, and Storage

Purification

Affinity purified

Formulation

PBS (pH 7.2) and 40% Glycerol

Format

BSA Free

Preservative

0.02% Sodium Azide

Concentration

Concentrations vary lot to lot. See vial label for concentration. If unlisted please contact technical services.

Shipping

The product is shipped with polar packs. Upon receipt, store it immediately at the temperature recommended below.

Stability & Storage

Store at 4C short term. Aliquot and store at -20C long term. Avoid freeze-thaw cycles.

Background: PIWIL1/HIWI

The PIWIL1 gene encodes a member of the PIWI subfamily of Argonaute proteins, evolutionarily conserved proteins containing both PAZ and Piwi motifs that play important roles in stem cell self-renewal, RNA silencing, and translational regulation in diverse organ

Long Name

Piwi-like Protein 1

Alternate Names

HIWI, MIWI

Gene Symbol

PIWIL1

Additional PIWIL1/HIWI Products

Product Documents for PIWIL1/HIWI Antibody - BSA Free

Certificate of Analysis

To download a Certificate of Analysis, please enter a lot number in the search box below.

Product Specific Notices for PIWIL1/HIWI Antibody - BSA Free

This product is for research use only and is not approved for use in humans or in clinical diagnosis. Primary Antibodies are guaranteed for 1 year from date of receipt.

Loading...
Loading...
Loading...
Loading...