PIST Antibody - BSA Free
Novus Biologicals, part of Bio-Techne | Catalog # NBP1-77242
Conjugate
Catalog #
Key Product Details
Species Reactivity
Human, Mouse, Rat
Applications
Immunohistochemistry, Immunohistochemistry-Paraffin, Western Blot, ELISA, Immunocytochemistry/ Immunofluorescence
Label
Unconjugated
Antibody Source
Polyclonal Rabbit IgG
Format
BSA Free
Concentration
1 mg/ml
Product Specifications
Immunogen
Antibody was raised against a 16 amino acid synthetic peptide from near the carboxy terminus of human PIST. The immunogen is located within amino acids 360 - 410 of PIST. Amino Acid Squence: APEVDSDDENVEYEDE
Clonality
Polyclonal
Host
Rabbit
Isotype
IgG
Scientific Data Images for PIST Antibody - BSA Free
Western Blot: PIST AntibodyBSA Free [NBP1-77242]
Western Blot: PIST Antibody [NBP1-77242] - Analysis in rat colon cell lysate with PIST antibody at (A) 1, (B) 2 and (C) 4 ug/mL.Immunohistochemistry: PIST Antibody - BSA Free [NBP1-77242] -
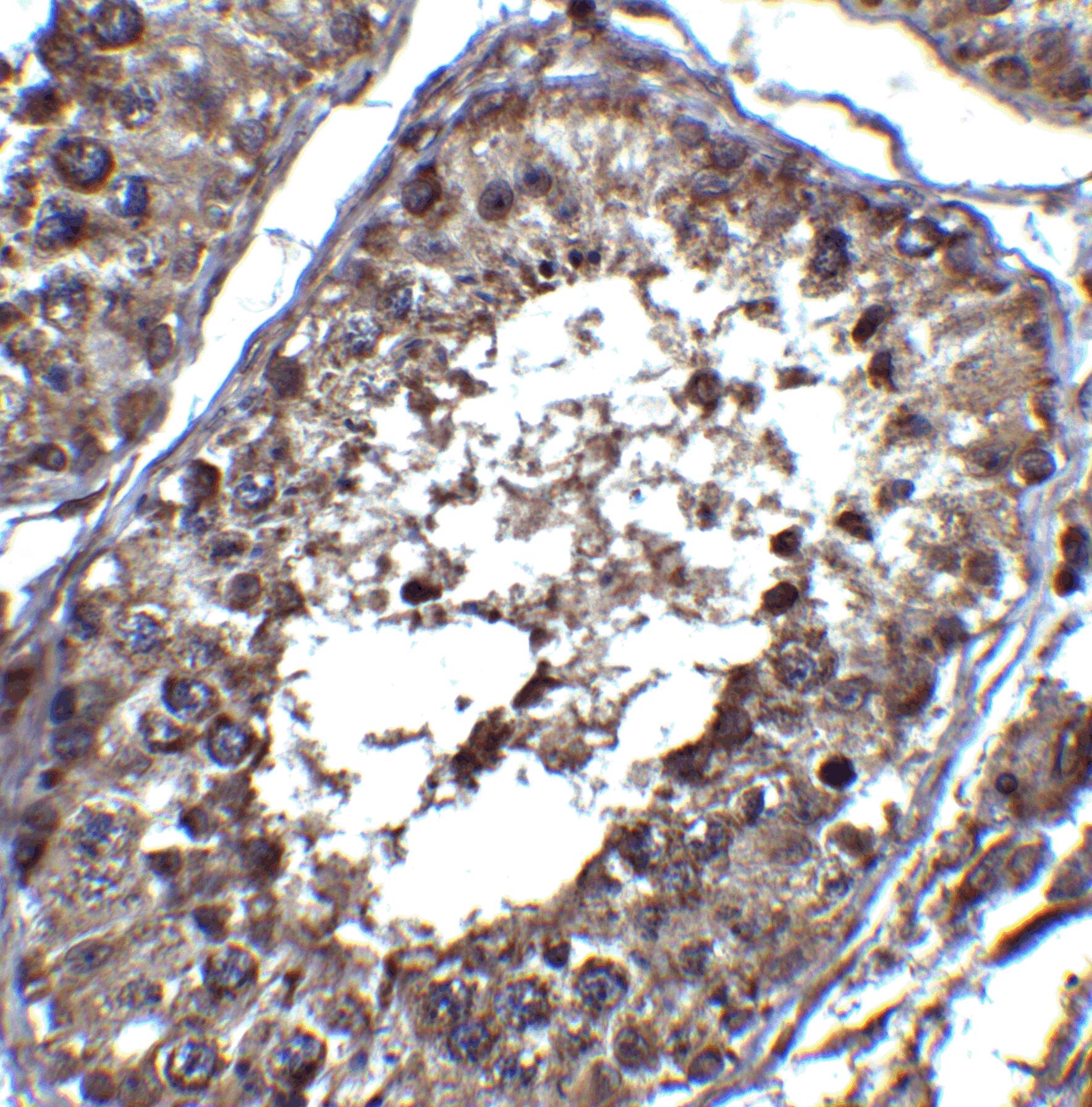
Immunohistochemistry: PIST Antibody - BSA Free [NBP1-77242] - Immunohistochemistry of PIST in human testis tissue with PIST antibody at 2 ug/ml.Immunohistochemistry: PIST Antibody - BSA Free [NBP1-77242] -
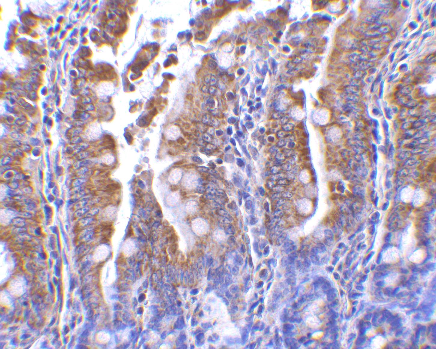
Immunohistochemistry: PIST Antibody - BSA Free [NBP1-77242] - Immunohistochemistry of PIST in rat colon tissue with PIST antibody at 1 ug/mL.Applications for PIST Antibody - BSA Free
Application
Recommended Usage
ELISA
1:100-1:2000
Immunocytochemistry/ Immunofluorescence
10 ug/mL
Immunohistochemistry
2 ug/ml
Immunohistochemistry-Paraffin
2 ug/ml
Western Blot
1-4 ug/ml
Formulation, Preparation, and Storage
Purification
Peptide affinity purified
Formulation
PBS
Format
BSA Free
Preservative
0.02% Sodium Azide
Concentration
1 mg/ml
Shipping
The product is shipped with polar packs. Upon receipt, store it immediately at the temperature recommended below.
Stability & Storage
Store at 4C short term. Aliquot and store at -20C long term. Avoid freeze-thaw cycles.
Background: PIST
Alternate Names
CALPDZ protein interacting specifically with TC10, CFTR-associated ligand, dJ94G16.2, FIGdJ94G16.2 PIST, Fused in glioblastoma, golgi-associated PDZ and coiled-coil motif containing, Golgi-associated PDZ and coiled-coil motif-containing protein, GOPC1, PDZ/coiled-coil domain binding partner for the rho-family GTPase TC10, PISTGolgi associated PDZ and coiled-coil motif containing protein
Gene Symbol
GOPC
UniProt
Additional PIST Products
Product Documents for PIST Antibody - BSA Free
Product Specific Notices for PIST Antibody - BSA Free
This product is for research use only and is not approved for use in humans or in clinical diagnosis. Primary Antibodies are guaranteed for 1 year from date of receipt.
Loading...
Loading...
Loading...
Loading...