Skip to main content

PINK1 Antibody - BSA Free

Novus Biologicals, part of Bio-Techne | Catalog # NBP1-49678

Novus Biologicals, part of Bio-Techne

Key Product Details

Species Reactivity

Validated:

Human, Mouse

Cited:

Mouse

Applications

Validated:

Immunohistochemistry, Immunohistochemistry-Paraffin, Western Blot, Immunocytochemistry/ Immunofluorescence, Simple Western

Cited:

Western Blot

Label

Unconjugated

Antibody Source

Polyclonal Rabbit IgG

Format

BSA Free

Concentration

1.0 mg/ml

Product Specifications

Immunogen

PINK1 antibody was developed using a synthetic protein made to an internal region of the human PINK1 protein (within residues 350-500). [Swiss-Prot Q9BXM7]

Localization

Mitochondrion outer membrane; Single-pass membrane protein. Cytoplasm - cytosol

Specificity

Reactivity expected for both isotype 1 and 2.

Clonality

Polyclonal

Host

Rabbit

Isotype

IgG

Theoretical MW

62.7 kDa.
Disclaimer note: The observed molecular weight of the protein may vary from the listed predicted molecular weight due to post translational modifications, post translation cleavages, relative charges, and other experimental factors.

Description

Novus Biologicals Rabbit PINK1 Antibody - BSA Free (NBP1-49678) is a polyclonal antibody validated for use in IHC, WB, ICC/IF and Simple Western. Anti-PINK1 Antibody: Cited in 2 publications. All Novus Biologicals antibodies are covered by our 100% guarantee.

Scientific Data Images for PINK1 Antibody - BSA Free

Immunocytochemistry/ Immunofluorescence: PINK1 Antibody - BSA Free [NBP1-49678]

Immunocytochemistry/ Immunofluorescence: PINK1 Antibody - BSA Free [NBP1-49678]

Immunocytochemistry/Immunofluorescence: PINK1 Antibody [NBP1-49678] - PINK1 antibody was tested in HepG2 cells with DyLight 488 (green). Nuclei and alpha-tubulin were counterstained with DAPI (blue) and DyLight 550 (red).
Simple Western: PINK1 AntibodyBSA Free [NBP1-49678]

Simple Western: PINK1 AntibodyBSA Free [NBP1-49678]

Simple Western: PINK1 Antibody [NBP1-49678] - Lane view shows a specific band for PINK1 at a dilution of 1:50 in 1.0 mg/ml of HeLa lysate. Molecular weight ~61kDa. This experiment was performed under reducing conditions using the 12-230kDa separation system. * Non-specific interaction with the 230 kDa Simple Western standard may be seen with this antibody.
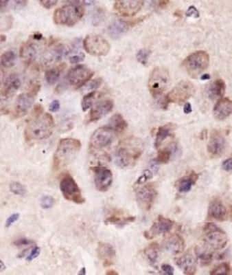
Immunohistochemistry-Paraffin: PINK1 Antibody - BSA Free [NBP1-49678]

Immunohistochemistry-Paraffin: PINK1 Antibody - BSA Free [NBP1-49678]

Immunohistochemistry-Paraffin: PINK1 Antibody [NBP1-49678] - Stain in paraffin embedded mouse brain.

Applications for PINK1 Antibody - BSA Free

Application
Recommended Usage

Immunocytochemistry/ Immunofluorescence

1:50-1:1000

Immunohistochemistry

1:100

Immunohistochemistry-Paraffin

1:100

Simple Western

1:50

Western Blot

1-2 ug/ml
Application Notes
This PINK1 antibody is useful for IHC and ICC/IF. Prior to immunostaining paraffin tissues, antigen retrieval with sodium citrate buffer (pH 6.0) is recommended.

In Simple Western only 10 - 15 uL of the recommended dilution is used per data point.
See Simple Western Antibody Database for Simple Western validation: Tested in HeLa lysate 1.0 mg/mL, separated by Size, antibody dilution of 1:50, apparent MW was 61 kDa. Separated by Size-Wes, Sally Sue/Peggy Sue. Unprocessed PINK1 is 63 kDa which undergoes proteolytic processing to generate 55 kDa and 42 kDa cleaved forms, and bands at the mentioned positions may be expected in Western blot application.

Reviewed Applications

Read 1 review rated 4 using NBP1-49678 in the following applications:

Formulation, Preparation, and Storage

Purification

Immunogen affinity purified

Formulation

PBS

Format

BSA Free

Preservative

0.02% Sodium Azide

Concentration

1.0 mg/ml

Shipping

The product is shipped with polar packs. Upon receipt, store it immediately at the temperature recommended below.

Stability & Storage

Store at 4C short term. Aliquot and store at -20C long term. Avoid freeze-thaw cycles.

Background: PINK1

Phosphatase and Tensin Homolog (PTEN) is a tumor suppressor which acts as an antagonist to phosphatidylinositol 3-kinase (PI3K) signaling. PTEN exerts enzymatic activity as a phosphatidylinositol-3,4,5-trisphosphate (PIP3) phosphatase, opposing PI3K activity by reducing availability of PIP3 to proliferating cells. Loss of PTEN function leads to elevated PIP3 and increased activation of PI3K/AKT signaling in many types of cancer.

PINK1 (PTEN induced putative kinase 1) protein contains a N-terminal mitochondrial targeting sequence, putative transmembrane helix, linker region, serine (Ser65)/threonine (Thr257) kinase domain and C-terminal segment. PINK1 is translated in the cytosol, then translocated to the outer mitochondrial membrane where it is rapidly cleaved and degraded as a part of normal mitochondrial function. In damaged (depolarized) mitochondria, PINK1 becomes stabilized and accumulates, resulting in the subsequent phosphorylation of numerous proteins on the mitochondrial surface.

When PINK1 is imported into the cell, mitochondrial processing peptidase, presenilin-associated rhomboid-like protease and AFG3L2 cleave PINK1 and tag it for the ubiquitin-proteasome pathway, keeping low PINK1 protein expression at basal conditions (1,2). Accumulation of PINK1 in mitochondria indicate damage. PINK1 maintains mitochondrial function/integrity, provides protection against mitochondrial dysfunction during cellular stress, and is involved in the clearance of damaged mitochondria via selective autophagy (mitophagy) (3). PINK1 has a theoretical molecular weight of 63 kDa and undergoes proteolytic processing to generate at least two cleaved forms (55 kDa and 42 kDa).

Ultimately PARK2 (E3 Ubiquitin Ligase Parkin) is recruited to the damaged mitochondria where it is activated by 1) PINK-mediated phosphorylation of PARK2 at serine 65, and 2) PARK2 interaction with phosphorylated ubiquitin (also phosphorylated by PINK1 on serine 65) (4,5). There is a strong interplay between Parkin and PINK1, where loss-of-function of human PINK1 results in mitochondrial pathology and can be rescued by Parkin (2,4,5). Mutations in either Parkin or PINK1 alter mitochondrial turnover, resulting in the accumulation of defective mitochondria and, ultimately, neurodegeneration in Parkinson's disease. Mutations in the PINK1 gene located within the PARK6 locus on chromosome 1p35-p36 have been identified in patients with early-onset Parkinson's disease (6).

References

1.Rasool, S., Soya, N., Truong, L., Croteau, N., Lukacs, G. L., & Trempe, J. F. (2018). PINK1 autophosphorylation is required for ubiquitin recognition. EMBO Rep, 19(4). doi:10.15252/embr.201744981

2.Shiba-Fukushima, K., Arano, T., Matsumoto, G., Inoshita, T., Yoshida, S., Ishihama, Y., . . . Imai, Y. (2014). Phosphorylation of mitochondrial polyubiquitin by PINK1 promotes Parkin mitochondrial tethering. PLoS Genet, 10(12), e1004861. doi:10.1371/journal.pgen.1004861

3.Vives-Bauza, C., Zhou, C., Huang, Y., Cui, M., de Vries, R. L., Kim, J., . . . Przedborski, S. (2010). PINK1-dependent recruitment of Parkin to mitochondria in mitophagy. Proc Natl Acad Sci U S A, 107(1), 378-383. doi:10.1073/pnas.0911187107

4.McWilliams, T. G., Barini, E., Pohjolan-Pirhonen, R., Brooks, S. P., Singh, F., Burel, S., . . . Muqit, M. M. K. (2018). Phosphorylation of Parkin at serine 65 is essential for its activation in vivo. Open Biol, 8(11). doi:10.1098/rsob.180108

5.Exner, N., Treske, B., Paquet, D., Holmstrom, K., Schiesling, C., Gispert, S., . . . Haass, C. (2007). Loss-of-function of human PINK1 results in mitochondrial pathology and can be rescued by parkin. J Neurosci, 27(45), 12413-12418. doi:10.1523/jneurosci.0719-07.2007

6.Valente, E. M., Bentivoglio, A. R., Dixon, P. H., Ferraris, A., Ialongo, T., Frontali, M., . . . Wood, N. W. (2001). Localization of a novel locus for autosomal recessive early-onset parkinsonism, PARK6, on human chromosome 1p35-p36. Am J Hum Genet, 68(4), 895-900. doi:10.1086/319522

Long Name

PTEN-induced Putative Kinase 1

Alternate Names

BRPK, PARK6

Entrez Gene IDs

65018 (Human); 68943 (Mouse)

Gene Symbol

PINK1

Additional PINK1 Products

Product Documents for PINK1 Antibody - BSA Free

Certificate of Analysis

To download a Certificate of Analysis, please enter a lot number in the search box below.

Product Specific Notices for PINK1 Antibody - BSA Free

Manufactured by Genomic Antibody Technology™. GAT FAQs

This product is for research use only and is not approved for use in humans or in clinical diagnosis. Primary Antibodies are guaranteed for 1 year from date of receipt.

Loading...
Loading...
Loading...
Loading...
Loading...