Skip to main content

PIN4 Antibody - Azide and BSA Free

Novus Biologicals, part of Bio-Techne | Catalog # H00005303-D01P

Novus Biologicals, part of Bio-Techne
Catalog #
Availability
Size / Price
Qty
Loading...
H00005303-D01P

Key Product Details

Species Reactivity

Human

Applications

Western Blot, Immunocytochemistry/ Immunofluorescence

Label

Unconjugated

Antibody Source

Polyclonal Rabbit IgG

Format

Azide and BSA Free

Concentration

Concentrations vary lot to lot. See vial label for concentration. If unlisted please contact technical services.

Product Specifications

Immunogen

PIN4 (NP_006214.2, 1 a.a. - 156 a.a.) full-length human protein. MPMAGLLKGLVRQLERFSVQQQASKMPPKGKSGSGKAGKGGAASGSDSADKKAQGPKGGGNAVKVRHILCEKHGKIMEAMEKLKSGMRFNEVAAQYSEDKARQGGDLGWMTRGSMVGPFQEAAFALPVSGMDKPVFTDPPVKTKFGYHIIMVEGRK

Specificity

PIN4 - protein (peptidylprolyl cis/trans isomerase) NIMA-interacting, 4 (parvulin),

Clonality

Polyclonal

Host

Rabbit

Isotype

IgG

Description

Quality control test: Antibody reactive against mammalian transfected lysate.

Scientific Data Images for PIN4 Antibody - Azide and BSA Free

Western Blot: PIN4 Antibody [H00005303-D01P]

Western Blot: PIN4 Antibody [H00005303-D01P]

Western Blot: PIN4 Antibody [H00005303-D01P] - Analysis of PIN4 expression in transfected 293T cell line by PIN4 polyclonal antibody.Lane 1: PIN4 transfected lysate(16.60 KDa).Lane 2: Non-transfected lysate.
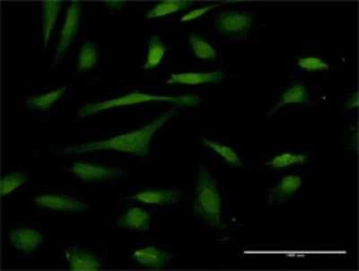
Immunocytochemistry/ Immunofluorescence: PIN4 Antibody [H00005303-D01P]

Immunocytochemistry/ Immunofluorescence: PIN4 Antibody [H00005303-D01P]

Immunocytochemistry/Immunofluorescence: PIN4 Antibody [H00005303-D01P] - Analysis of antibody to PIN4 on HeLa cell. Antibody concentration 10 ug/ml.

Applications for PIN4 Antibody - Azide and BSA Free

Application
Recommended Usage

Western Blot

1:500
Application Notes
Antibody reactivity against Recombinant Protein with GST tag on ELISA and WB and also on transfected lysate in WB. GST tag alone is used as a negative control.

Formulation, Preparation, and Storage

Purification

Protein A purified

Formulation

PBS (pH 7.4)

Format

Azide and BSA Free

Preservative

No Preservative

Concentration

Concentrations vary lot to lot. See vial label for concentration. If unlisted please contact technical services.

Shipping

The product is shipped with polar packs. Upon receipt, store it immediately at the temperature recommended below.

Stability & Storage

Aliquot and store at -20C or -80C. Avoid freeze-thaw cycles.

Background: PIN4

The PIN4 gene encodes a member of the parvulin subfamily of the peptidyl-prolyl cis/trans isomerase protein family. The encoded protein catalyzes the isomerization of peptidylprolyl bonds, and may play a role in the cell cycle, chromatin remodeling, and/or ri

Alternate Names

4 (parvulin), MGC138486, Parvulin-17, protein (peptidylprolyl cis/trans isomerase) NIMA-interacting, 4 (parvulin)

Entrez Gene IDs

5303 (Human)

Gene Symbol

PIN4

Additional PIN4 Products

Product Documents for PIN4 Antibody - Azide and BSA Free

Certificate of Analysis

To download a Certificate of Analysis, please enter a lot number in the search box below.

Product Specific Notices for PIN4 Antibody - Azide and BSA Free

This product is produced by and distributed for Abnova, a company based in Taiwan.

This product is for research use only and is not approved for use in humans or in clinical diagnosis. Primary Antibodies are guaranteed for 1 year from date of receipt.

Loading...
Loading...
Loading...
Loading...