Skip to main content

PIN4 Antibody (14A7) - BSA Free

Novus Biologicals, part of Bio-Techne | Catalog # NBP3-26381

Recombinant monoclonal antibody expressed in HEK293F cells
Novus Biologicals, part of Bio-Techne
Catalog #
Availability
Size / Price
Qty
Loading...
NBP3-26381-100ul
NBP3-26381-50ul

Key Product Details

Species Reactivity

Human

Applications

ELISA, Immunocytochemistry/ Immunofluorescence, Immunohistochemistry, Western Blot

Label

Unconjugated

Antibody Source

Recombinant Monoclonal Rabbit IgG Clone # 14A7 expressed in HEK293

Format

BSA Free

Concentration

Please see the vial label for concentration. If unlisted please contact technical services.

Product Specifications

Immunogen

A synthesized peptide derived from Human PIN4 [UniProt Q9Y237]

Clonality

Monoclonal

Host

Rabbit

Isotype

IgG

Description

Novus Biologicals Rabbit PIN4 Antibody (14A7) - BSA Free (NBP3-26381) is a recombinant monoclonal antibody validated for use in IHC, WB, ELISA and ICC/IF. All Novus Biologicals antibodies are covered by our 100% guarantee.

Scientific Data Images for PIN4 Antibody (14A7) - BSA Free

PIN4 Antibody (14A7)

Immunohistochemistry: PIN4 Antibody (14A7) [NBP3-26381] -

Immunohistochemistry: PIN4 Antibody (14A7) [NBP3-26381] - Image of PIN4 Antibody (14A7) diluted at 1:100 and staining in paraffin-embedded human testis tissue performed. After dewaxing and hydration, antigen retrieval was mediated by high pressure in a citrate buffer (pH 6.0). Section was blocked with 10% normal goat serum 30min at RT. Then primary antibody (1% BSA) was incubated at 4°C overnight. The primary is detected by a Goat anti-rabbit polymer IgG labeled by HRP and visualized using 0.05% DAB.
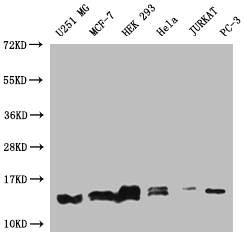
PIN4 Antibody (14A7)

Western Blot: PIN4 Antibody (14A7) [NBP3-26381] -

Western Blot: PIN4 Antibody (14A7) [NBP3-26381] - Positive Western Blot detected in: U251 whole cell lysate, MCF-7 whole cell lysate, HEK293 whole cell lysate, Hela whole cell lysate, Jurkat whole cell lysate, PC3 whole cell lysate.
All lanes: PIN4 Antibody at 1: 1000
Secondary: Goat polyclonal to rabbit IgG at 1/50000 dilution.
Predicted band size: 14, 17, 15 kDa
Observed band size: 12-17 kDa
PIN4 Antibody (14A7)

Immunocytochemistry/Immunofluorescence: PIN4 Antibody (14A7) [NBP3-26381] -

Immunocytochemistry/Immunofluorescence: PIN4 Antibody (14A7) [NBP3-26381] - Staining of MCF-7 cell with PIN4 Antibody (14A7) at 1:50, counter-stained with DAPI. The cells were fixed in 4% formaldehyde and blocked in 10% normal Goat Serum. The cells were then incubated with the antibody overnight at 4C. The secondary antibody was Alexa Fluor 598-conjugated Goat Anti-Rabbit IgG (H+L).

Applications for PIN4 Antibody (14A7) - BSA Free

Application
Recommended Usage

Immunocytochemistry/ Immunofluorescence

1:50-1:200

Immunohistochemistry

1:50-1:200

Western Blot

1:500-1:2000

Formulation, Preparation, and Storage

Purification

Affinity purified

Formulation

PBS, pH 7.4, 150mM NaCl, and 50% glycerol

Format

BSA Free

Preservative

0.02% Sodium Azide

Concentration

Please see the vial label for concentration. If unlisted please contact technical services.

Shipping

The product is shipped with polar packs. Upon receipt, store it immediately at the temperature recommended below.

Stability & Storage

Store at -20 to -70C. Avoid freeze-thaw cycles.

Background: PIN4

The PIN4 gene encodes a member of the parvulin subfamily of the peptidyl-prolyl cis/trans isomerase protein family. The encoded protein catalyzes the isomerization of peptidylprolyl bonds, and may play a role in the cell cycle, chromatin remodeling, and/or ri

Alternate Names

4 (parvulin), MGC138486, Parvulin-17, protein (peptidylprolyl cis/trans isomerase) NIMA-interacting, 4 (parvulin)

Gene Symbol

PIN4

Additional PIN4 Products

Product Documents for PIN4 Antibody (14A7) - BSA Free

Certificate of Analysis

To download a Certificate of Analysis, please enter a lot number in the search box below.

Product Specific Notices for PIN4 Antibody (14A7) - BSA Free

This product is for research use only and is not approved for use in humans or in clinical diagnosis. Primary Antibodies are guaranteed for 1 year from date of receipt.

Loading...
Loading...
Loading...
Loading...