Skip to main content

Pin1 Antibody - BSA Free

Novus Biologicals, part of Bio-Techne | Catalog # NBP1-77757

Novus Biologicals, part of Bio-Techne
Catalog #
Availability
Size / Price
Qty
Loading...
NBP1-77757

Key Product Details

Validated by

Biological Validation

Species Reactivity

Human

Applications

Immunohistochemistry, Western Blot, ELISA, Immunoprecipitation

Label

Unconjugated

Antibody Source

Polyclonal Rabbit IgG

Format

BSA Free

Concentration

Please see the vial label for concentration. If unlisted please contact technical services.

Product Specifications

Immunogen

This affinity purified Pin1 Antibody was prepared from whole rabbit serum produced by repeated immunizations with a synthetic peptide corresponding to an internal sequence of human Pin1. (Uniprot: Q13526)

Reactivity Notes

A BLAST analysis was used to suggest cross-reactivity with Pin1 from human, dog, bovine and monkey based on a 100% homology with the immunizing sequence. Expect partial reactivity with Pin1 from mouse and rat sources based on 92% sequence homologies. Reactivity against homologues from other sources is not known.

Clonality

Polyclonal

Host

Rabbit

Isotype

IgG

Description

This affinity purified antibody is directed against human Pin1. The product was affinity purified from monospecific antiserum by immunoaffinity chromatography

Store vial at -20C prior to opening. Aliquot contents and freeze at -20C or below for extended storage. Avoid cycles of freezing and thawing. Centrifuge product if not completely clear after standing at room temperature. This product is stable for several weeks at 4C as an undiluted liquid. Dilute only prior to immediate use.

Scientific Data Images for Pin1 Antibody - BSA Free

Western Blot: Pin1 Antibody [NBP1-77757]

Western Blot: Pin1 Antibody [NBP1-77757]

Western Blot: Pin1 Antibody [NBP1-77757] - Lane 1: T9ug cells treated with scrambled (scr). Lane 2: T9ug cells treated with PIN1 kd1 shRNA. Lane 3: T9ug cells treated with PIN1-overexpressing plasmid HAP1. Lane 4: T9ug cells treated with PIN1-overexpressing plasmid HAP1S67E. Lane 5: T9ug cells treated with PIN1 kd2 shRNA. Load: 25 ug per lane. Primary antibody: PIN 1 antibody at 1:400 for overnight at 4C. Secondary antibody: IRDye800 (TM) rabbit secondary antibody at 1:10,000 for 45 min at RT. Block: 5% BLOTTO overnight at 4C. Predicted size: 18 kDa for PIN-1. Other band(s): normalized with a-tubulin (a-tub) antibody.
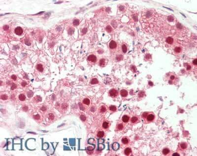
Immunohistochemistry: Pin1 Antibody [NBP1-77757]

Immunohistochemistry: Pin1 Antibody [NBP1-77757]

Immunohistochemistry: Pin1 Antibody [NBP1-77757] - Tissue: testis. Fixation: formalin fixed paraffin embedded. Primary antibody: Anti-PIN1 at 5 ug/mL for 1 h at RT. Secondary antibody: Peroxidase rabbit secondary antibody at 1:10,000 for 45 min at RT. Staining: PIN-1 as precipitated red signal with hematoxylin purple nuclear counterstain.
Western Blot: Pin1 Antibody [NBP1-77757]

Western Blot: Pin1 Antibody [NBP1-77757]

Western Blot: Pin1 Antibody [NBP1-77757] - Detection of endogenous Pin1 in HeLa whole cell lysates. The sample was run in duplicate. A band representing Pin1 is indicated by the arrowhead. Cell lysates were electrophoresed using a straight 15% polyacrylamide gel, followed by transfer to nitrocellulose. The membrane was probed with the primary antibody at a 1:700 dilution. A 1:5,000 dilution of HRP Gt-a-Rabbit IgG was used with a 15 sec exposure time.

Applications for Pin1 Antibody - BSA Free

Application
Recommended Usage

ELISA

1:2500-1:10000

Immunohistochemistry

5ug/ml

Immunoprecipitation

1:100

Western Blot

1:500-1:3000
Application Notes
This affinity purified antibody has been tested for use in ELISA, Immunohistochemistry, and western blotting. Specific conditions for reactivity should be optimized by the end user. Expect a band approximately 18 kDa in size corresponding to Pin1 by western blotting in the appropriate cell lysate or extract. Lysates from 3T3, Jurkat, 293 or HeLa cells, as well as HeLa nuclear extract, are recommended for use as positive controls.

Formulation, Preparation, and Storage

Purification

Immunogen affinity purified

Formulation

0.02 M Potassium Phosphate, 0.15 M Sodium Chloride, pH 7.2

Format

BSA Free

Preservative

0.01% Sodium Azide

Concentration

Please see the vial label for concentration. If unlisted please contact technical services.

Shipping

The product is shipped with polar packs. Upon receipt, store it immediately at the temperature recommended below.

Stability & Storage

Store at -20C short term. Aliquot and store at -80C long term. Avoid freeze-thaw cycles.

Background: Pin1

Pin1 (peptidylprolyl cis/trans isomerase NIMA-interacting 1 protein) is an essential peptidylprolyl isomerase that regulates mitosis, presumably by interacting with NIMA and attenuating its mitosis-promoting activity. Pin1 displays a preference for an acidic residue N-terminal to the isomerized proline bond and also catalyzes pSer/Thr-Pro cis/trans isomerizations. Pin1 shows a nuclear localization.

Long Name

Protein [Peptidyl-prolyl cis/trans Isomerase] NIMA-interacting 1

Alternate Names

dod

Gene Symbol

PIN1

UniProt

Additional Pin1 Products

Product Documents for Pin1 Antibody - BSA Free

Certificate of Analysis

To download a Certificate of Analysis, please enter a lot number in the search box below.

Product Specific Notices for Pin1 Antibody - BSA Free

This product is for research use only and is not approved for use in humans or in clinical diagnosis. Primary Antibodies are guaranteed for 1 year from date of receipt.

Loading...
Loading...
Loading...
Loading...