Skip to main content

PIMT Antibody - BSA Free

Novus Biologicals, part of Bio-Techne | Catalog # NBP1-92271

Novus Biologicals, part of Bio-Techne
Catalog #
Availability
Size / Price
Qty
Loading...
NBP1-92271

Key Product Details

Species Reactivity

Validated:

Human

Predicted:

Mouse (95%), Rat (93%). Backed by our 100% Guarantee.

Applications

Immunohistochemistry, Immunohistochemistry-Paraffin, Western Blot, Immunocytochemistry/ Immunofluorescence

Label

Unconjugated

Antibody Source

Polyclonal Rabbit IgG

Format

BSA Free

Concentration

Concentrations vary lot to lot. See vial label for concentration. If unlisted please contact technical services.

Product Specifications

Immunogen

This antibody was developed against Recombinant Protein corresponding to amino acids: PELAKYWAQRYRLFSRFDDGIKLDREGWFSVTPEKIAEHIAGRVSQSFKCDVVVDAFCGVGGNTIQFALTGMRVIAIDIDPVKIALARNNAE

Clonality

Polyclonal

Host

Rabbit

Isotype

IgG

Scientific Data Images for PIMT Antibody - BSA Free

Western Blot: PIMT Antibody [NBP1-92271]

Western Blot: PIMT Antibody [NBP1-92271]

Western Blot: PIMT Antibody [NBP1-92271] - Lane 1: Marker [kDa] 250, 130, 100, 70, 55, 35, 25, 15, 10. Lane 2: NTERA-2 Medium
Immunocytochemistry/ Immunofluorescence: PIMT Antibody [NBP1-92271]

Immunocytochemistry/ Immunofluorescence: PIMT Antibody [NBP1-92271]

Immunocytochemistry/Immunofluorescence: PIMT Antibody [NBP1-92271] - Staining of human cell line A-431 shows localization to nucleus & cytosol. Antibody staining is shown in green.
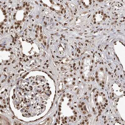
Immunohistochemistry-Paraffin: PIMT Antibody [NBP1-92271]

Immunohistochemistry-Paraffin: PIMT Antibody [NBP1-92271]

Immunohistochemistry-Paraffin: PIMT Antibody [NBP1-92271] - Staining of human kidney shows strong nuclear positivity in tubule and glomerular cells.

Applications for PIMT Antibody - BSA Free

Application
Recommended Usage

Immunocytochemistry/ Immunofluorescence

0.25-2 ug/ml

Immunohistochemistry

1:200 - 1:500

Immunohistochemistry-Paraffin

1:200 - 1:500

Western Blot

0.04-0.4 ug/ml
Application Notes
For IHC-Paraffin, HIER pH 6 retrieval is recommended. ICC/IF Fixation Permeabilization: Use PFA/Triton X-100.

Formulation, Preparation, and Storage

Purification

Affinity purified

Formulation

PBS (pH 7.2) and 40% Glycerol

Format

BSA Free

Preservative

0.02% Sodium Azide

Concentration

Concentrations vary lot to lot. See vial label for concentration. If unlisted please contact technical services.

Shipping

The product is shipped with polar packs. Upon receipt, store it immediately at the temperature recommended below.

Stability & Storage

Store at 4C short term. Aliquot and store at -20C long term. Avoid freeze-thaw cycles.

Background: PIMT

Nuclear receptor coactivators participate in the transcriptional activation of specific genes by nuclear receptors. A new nuclear receptor coactivator-interacting protein, designated PIMT, was identified from a human liver cDNA library by using the coactivator peroxisome proliferator-activated receptor-interacting protein (PRIP) as bait in a yeast 2-hybrid screen. The PIMT cDNA encodes an 852-amino acid protein containing a 9-amino acid methyltransferase motif I (VVDAFCGVG) and an invariant segment (GXXGXXI) found in K-homology motifs of many RNA-binding proteins. Northern blot analysis demonstrated ubiquitous expression of a 3.2-kb PIMT transcript, with highest expression in heart, skeletal muscle, kidney, liver, and placenta. Immunofluorescence studies showed that the PIMT and PRIP proteins are colocalized in the nucleus. PIMT binds 5-adenosyl-L-methionine, the methyl donor for the methyltransfer reaction, and it also binds RNA, suggesting that it is an RNA methyltransferase.

Alternate Names

Cap-specific guanine-N2 methyltransferase, CLL-associated antigen KW-2, DKFZp762A163, EC 2.1.1, EC 2.1.1.-, HCA137, Hepatocellular carcinoma-associated antigen 137, NCOA6IPSEREX-defined, nuclear receptor coactivator 6 interacting protein, Nuclear receptor coactivator 6-interacting protein, PIMTFLJ22995, PIPMT, PRIP-interacting protein PIPMT, PRIP-interacting protein with methyltransferase domain, PRIP-interacting protein with methyltransferase motif, trimethylguanosine synthase, trimethylguanosine synthase 1, trimethylguanosine synthase homolog, trimethylguanosine synthase homolog (S. cerevisiae)

Gene Symbol

TGS1

Additional PIMT Products

Product Documents for PIMT Antibody - BSA Free

Certificate of Analysis

To download a Certificate of Analysis, please enter a lot number in the search box below.

Product Specific Notices for PIMT Antibody - BSA Free

This product is for research use only and is not approved for use in humans or in clinical diagnosis. Primary Antibodies are guaranteed for 1 year from date of receipt.

Loading...
Loading...
Loading...
Loading...