Skip to main content

PIM3 Antibody - BSA Free

Novus Biologicals, part of Bio-Techne | Catalog # NBP3-42026

Novus Biologicals, part of Bio-Techne
Catalog #
Availability
Size / Price
Qty
Loading...
NBP3-42026

Key Product Details

Species Reactivity

Human, Mouse, Rat, Porcine

Applications

Immunohistochemistry, Immunohistochemistry-Paraffin, Western Blot

Label

Unconjugated

Antibody Source

Polyclonal Rabbit

Format

BSA Free

Concentration

0.5 mg/ml

Product Specifications

Immunogen

Immunized with recombinant Human PIM3 (Uniprot#: Q86V86; Met1-Leu326 (Uniprot#: Q86V86)

Clonality

Polyclonal

Host

Rabbit

Description

Novus Biologicals Rabbit PIM3 Antibody - BSA Free (NBP3-42026) is a polyclonal antibody validated for use in IHC and WB. All Novus Biologicals antibodies are covered by our 100% guarantee.

Scientific Data Images for PIM3 Antibody - BSA Free

PIM3 Antibody

Western Blot: PIM3 Antibody [NBP3-42026] -

Western Blot: PIM3 Antibody [NBP3-42026] - Sample: Recombinant protein.
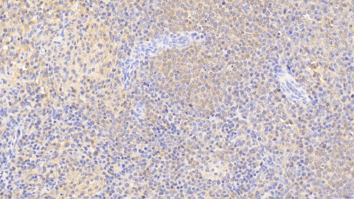
PIM3 Antibody

Immunohistochemistry-Paraffin: PIM3 Antibody [NBP3-42026] -

Immunohistochemistry-Paraffin: PIM3 Antibody [NBP3-42026] - DAB staining on IHC-P; Samples: Human Spleen Tissue; Primary Ab: 20ug/ml NBP3-42026; Second Ab: 2ug/mL HRP-Linked Caprine Anti-Rabbit IgG Polyclonal Antibody

Applications for PIM3 Antibody - BSA Free

Application
Recommended Usage

Immunohistochemistry

5-20ug/mL

Immunohistochemistry-Paraffin

5-20ug/mL

Western Blot

0.2-2ug/mL

Formulation, Preparation, and Storage

Purification

Antigen and protein A Affinity-purified

Formulation

PBS, pH7.4, 50% glycerol

Format

BSA Free

Preservative

0.02% Sodium Azide

Concentration

0.5 mg/ml

Shipping

The product is shipped with polar packs. Upon receipt, store it immediately at the temperature recommended below.

Stability & Storage

Store at 4C short term. Aliquot and store at -20C long term. Avoid freeze-thaw cycles.

Background: PIM3

PIM3 belongs to a family of protooncogenes that encode serine/threonine protein kinases (Mikkers et al., 2004 [PubMed 15199164]).[supplied by OMIM]

Long Name

Serine/threonine-protein kinase pim-3

Alternate Names

EC 2.7.11.1, pim-3, pim-3 oncogene, serine/threonine kinase Pim-3, serine/threonine-protein kinase pim-3

Gene Symbol

PIM3

Additional PIM3 Products

Product Documents for PIM3 Antibody - BSA Free

Certificate of Analysis

To download a Certificate of Analysis, please enter a lot number in the search box below.

Product Specific Notices for PIM3 Antibody - BSA Free

This product is for research use only and is not approved for use in humans or in clinical diagnosis. Primary Antibodies are guaranteed for 1 year from date of receipt.

Loading...
Loading...
Loading...
Loading...