Skip to main content

PIK4CA Antibody - BSA Free

Novus Biologicals, part of Bio-Techne | Catalog # NBP3-41326

Novus Biologicals, part of Bio-Techne
Catalog #
Availability
Size / Price
Qty
Loading...
NBP3-41326

Key Product Details

Species Reactivity

Human, Mouse, Rat, Porcine

Applications

Immunohistochemistry, Western Blot

Label

Unconjugated

Antibody Source

Polyclonal Rabbit

Format

BSA Free

Concentration

0.45 mg/ml

Product Specifications

Immunogen

Immunized with recombinant Human PIK4CA (Uniprot#: P42356; Met1-Trp300 (Uniprot#: P42356)

Clonality

Polyclonal

Host

Rabbit

Description

Novus Biologicals Rabbit PIK4CA Antibody - BSA Free (NBP3-41326) is a polyclonal antibody validated for use in IHC and WB. All Novus Biologicals antibodies are covered by our 100% guarantee.

Scientific Data Images for PIK4CA Antibody - BSA Free

PIK4CA Antibody

Western Blot: PIK4CA Antibody [NBP3-41326] -

Western Blot: PIK4CA Antibody [NBP3-41326] - Sample: Recombinant PIK4CA, Human.
PIK4CA Antibody

Western Blot: PIK4CA Antibody [NBP3-41326] -

Western Blot: PIK4CA Antibody [NBP3-41326] - Sample: Human Hela cell lysate; Primary Ab: 2ug/ml NBP3-41326; Second Ab: 0.2ug/mL HRP-Linked Caprine Anti-Rabbit IgG Polyclonal Antibody
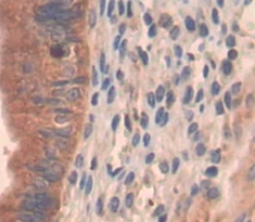
PIK4CA Antibody

Immunohistochemistry-Paraffin: PIK4CA Antibody [NBP3-41326] -

Immunohistochemistry-Paraffin: PIK4CA Antibody [NBP3-41326] - Used in DAB staining on fromalin fixed paraffin- embedded Kidney tissue

Applications for PIK4CA Antibody - BSA Free

Application
Recommended Usage

Immunohistochemistry

5-20ug/mL

Western Blot

0.5-2ug/mL

Formulation, Preparation, and Storage

Purification

Antigen and protein A Affinity-purified

Formulation

0.01M PBS, pH7.4, 50% glycerol

Format

BSA Free

Preservative

0.05% Proclin 300

Concentration

0.45 mg/ml

Shipping

The product is shipped with polar packs. Upon receipt, store it immediately at the temperature recommended below.

Stability & Storage

Store at 4C short term. Aliquot and store at -20C long term. Avoid freeze-thaw cycles.

Background: PIK4CA

Phosphatidylinositol 4 kinase III alpha encodes a phosphatidylinositol (PI) 4-kinase which catalyzes the first committed step in the biosynthesis of phosphatidylinositol 4,5-bisphosphate. The mammalian PI 4-kinases have been classified into two types, II and III, based on their molecular mass, and modulation by detergent and adenosine. The protein encoded by this gene is a type III enzyme that is not inhibited by adenosine. Two transcript variants encoding different isoforms have been described for this gene. [provided by RefSeq]

Long Name

Phosphatidylinositol 4-kinase alpha

Alternate Names

PI4-kinase alpha, PI4K-alpha, PI4KA, PIK4

Gene Symbol

PI4KA

Additional PIK4CA Products

Product Documents for PIK4CA Antibody - BSA Free

Certificate of Analysis

To download a Certificate of Analysis, please enter a lot number in the search box below.

Product Specific Notices for PIK4CA Antibody - BSA Free

This product is for research use only and is not approved for use in humans or in clinical diagnosis. Primary Antibodies are guaranteed for 1 year from date of receipt.

Loading...
Loading...
Loading...
Loading...